前列腺腺泡性腺癌,萎缩型
Prostate Acinar Adenocarcinoma,Atrophic Variant
概述:
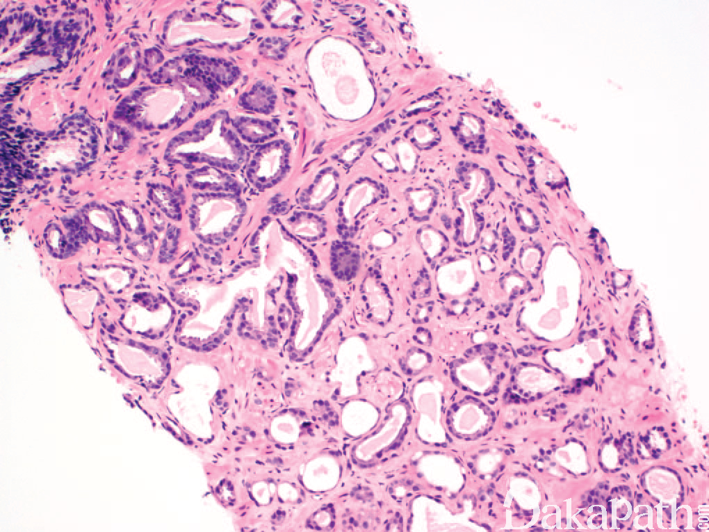
恶性腺体上皮细胞胞浆部分丢失,类似于前列腺萎缩;病变可散发,也可见于放疗或激素治疗后反应。
发病部位: 前列腺
诊断要点:
- 散发病例可见于 2%的穿刺组织,16%前列腺全切标本;
- 常于普通腺泡性前列腺癌混合存在;
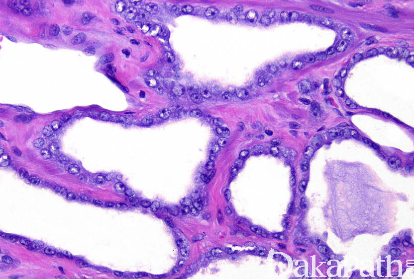
- 其特征是细胞缺乏部分胞浆,类似于前列腺萎缩,组织结构常呈 Gleason 3 级图像,由相互分离的单个腺体构成;
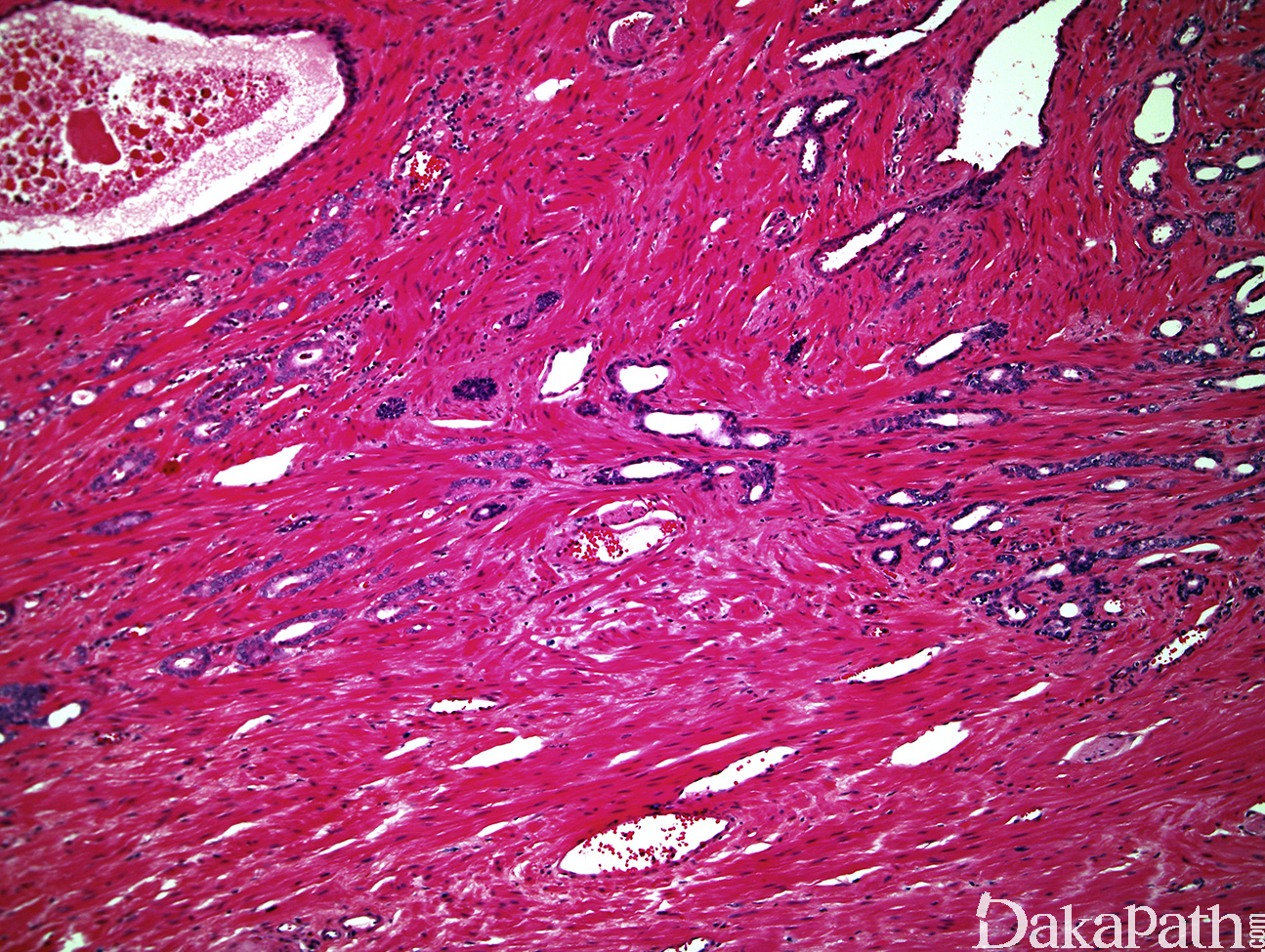
- 呈浸润性生长,可在大的良性腺体之间见到数个小的萎缩性腺体;
- 有时细胞核扁平,缺乏显著的核仁,与萎缩鉴别困难。

免疫组织化学染色:
P63. P40、34βE12 染色无基底细胞,70%的病例 AMACR 阳性,GATA3 阴性。
分子标记:
同普通的前列腺腺泡性腺癌
鉴别诊断:
良性萎缩
- 呈小叶状构型,界限清楚。一些良性萎缩病例的特征性表现为中心是扩张的萎缩性腺体,周围可见丛状、较小的腺体围绕,这种病变称为“萎缩后增生(PAH)。虽然在穿刺活检标本中,良性萎缩的腺体可呈类似浸润性表现,但在较大的良性腺体间不会见到个别浸润性生长的良性萎缩性腺体,因此其并非真正的浸润;
- 某些良性萎缩可伴有腺体之间的纤维组织增生,而萎缩型前列腺癌没有这种组织学改变;
- 核缺乏明显的非典型性,良性萎缩时细胞核可增大,可有小而明显的核仁,一般核仁的明显程度不如萎缩性前列腺腺癌;
- 当邻近组织同时出现无萎缩性表现的典型的前列腺癌时,有助于确定萎缩型前列腺癌的性质;
- 免疫组织化学染色:基底细胞标记阳性,AMACR 阴性等可与萎缩型癌鉴别。
膀胱腺癌:PSA、Prostein、PAP(单克隆)阴性,villin、thrombomodulin、CDX2. CEA(单克隆)等常阳性。
预后:
无明显的预后意义,与普通的 Gleason 分级 3 级的腺泡性腺癌相同
治疗:
经尿道切除或根治性前列腺切除
病例报道:
An unusualvariantof prostatic adenocarcinoma with metastasis to testis. Acasereport.
参考文献:
Egan AJ, Lopez-Beltran A, Bostwick DG. Prostatic adenocarcinoma with atrophic features: malignancy mimicking a benign process. Am J Surg Pathol 1997;21:931–5. Cina SJ, Epstein JI. Adenocarcinoma of the prostate with atrophic features. Am J Surg Pathol 1997;21:289–95.