前列腺腺泡性腺癌
Prosetate Acinar Adenocarcinoma
概述:
由前列腺分泌性细胞构成的一种侵袭性上皮性肿瘤。
发病部位: 前列腺
诊断要点:
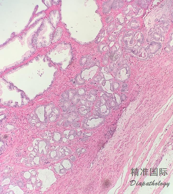
前列腺癌发病率随年龄增长显著升高,约四分之三的前列腺癌发生在 65 岁以上,85-90%病例为多灶性,多数位于前列腺外周区背侧及背外侧,肉眼可识别的癌切面实性、坚硬,可为灰白到橙黄的各种颜色;
组织结构特征:
a) 拥挤的小腺体-可疑的形态学特征,但不能确诊;
b) 线性排列的不典型腺体贯穿穿刺活检组织横断面或小的非典型腺体位于良性腺体的两侧更具特异性;
c) 腺体长轴相互垂直,或腺体间由束状平滑肌细胞分隔提示浸润性生长;
d) 分离的腺体(非成群的腺体)在良性腺体间插入并包围良性腺体;假癌性病变可表现为一群腺体而不是分离的腺体在良性腺体间浸润;
e) 单一依靠组织结构异常而缺乏细胞恶性表型来诊断前列腺腺癌要非常慎重;
- 细胞核特征:
a) 具有突出的核仁,但并不具有 100%的特异性及敏感性,一些非恶性病变可以具有显著的核仁。同时并不是所有的腺癌都具有大的核仁,泡沫样腺体型及移行区低级别腺癌可缺乏显著的核仁;多个核仁及边缘核仁对前列腺腺癌的诊断没有价值;
b) 常见核增大、深染,核分裂像、细胞凋亡等现象,良性前列腺则少见这些核的特征;
- 细胞质:
a) 胞质嗜双色性较良性细胞更常见,后者常淡染或透明;
b) 大的腺体上皮细胞胞浆丰富,腔面平直也是腺癌的一个特征,未萎缩的腺体常见乳头状折叠,腔缘呈波浪状;
- 腺腔内容物:
a) 结晶:腺癌比良性腺体更常见结晶,表现为腺腔内致密嗜酸性结晶,结晶可有多种形态,如矩形、六边形、三角形、棒状等;腺病也可伴结晶,但其特征是淡染腺体呈小叶状增生,而非表现为小的腺体在良性腺体间浸润;
b) 腺腔内蓝染黏液和致密粉染无结构物单独或同时出现对腺癌诊断均有帮助;
c) 淀粉样小体:圆形或卵圆形,界限清楚,呈同心圆层状结构,主要见于良性腺体,很少见于腺癌;
- 间质反应:
a) 多数前列腺癌缺乏间质促结缔组织增生及炎细胞浸润,如果存在间质反应多为高级别癌;
b) 腺体周围收缩裂隙多见于腺癌,但不具特异性;
- 恶性特异性结构:下列结构仅见于腺癌,未见于良性腺体
a) 黏液纤维素小体(胶原小球):由疏松的纤维性组织和深入其中的纤维母细胞组成,常伴有腔内蓝色黏液性分泌物。
b) 肾小球样结构:腺腔内筛孔状上皮巢黏附于腺体一侧,似肾小球。
c) 神经周围浸润:肿瘤不同程度地沿神经或围绕神经生长,偶尔沿神经生长的癌性腺体类似良性增生,称为假增生性神经周围浸润。个别病例良性腺体可在神经周围形成压迹,或部分包绕或紧邻神经,罕见情况可位于神经内。因此,如果缺乏其它诊断标准,只有当腺体完全包绕神经生长才可确定诊断。
- 基底细胞的确定:有时腺癌腺体周围的纤维母细胞或腺癌细胞核固缩、核复层化可误认为是基底细胞,免疫组织化学染色对基底细胞的识别很重要。
组织学亚型
萎缩型
假增生型
微囊型
泡沫状腺体型
黏液(胶样)型
印戒样细胞型
多形巨细胞型
肉瘤样型
Gleason 积分系统
G1eason 1 级:由密集排列的、彼此分离的腺体构成界限非常清楚肿瘤结节,不侵犯周围的良性前列腺组织。腺体中等大小,腺体的大小及形态基本相似。Gleason 1 级的前列腺癌极为罕见。
Gleason 2 级:由圆形或卵圆形腺体构成,边缘整齐。腺体排列较疏松,腺体之间在大小及形态上的差异明显。可见到肿瘤性腺体在周围非肿瘤性前列腺组织中有微小浸润。肿瘤性腺体中等大小,比 Gleason 3 级前列腺癌的腺体大。腺体之间大小的差异及腺体的分散程度均小于 Gleason 3 级前列腺癌。
Gleason 3 级:最常见。肿瘤性腺体的浸润性更明显,且腺体之间距离不等,恶性腺体常在邻近的非肿瘤性腺体之间浸润。腺体大小不等,形态各异,腺体常为多角形。Gleason 3 级前列腺癌的典型特点是腺体小,但也可见到大的、不规则的腺体。每个腺体均可见到腺腔,周围有间质。
Gleason 4 级:表现为腺体融合、呈筛状、肾小球样或无腺腔性结构。融合的腺体边缘呈扇形,由间质不完全分隔,其中偶尔可见纤细的结缔组织。
Cleason 5 级:腺腔结构几乎完全消失,仅偶尔可见腺腔,上皮细胞形成实性片状、条索,或呈单个细胞在间质中浸润。粉刺样坏死/核碎应定为 5 级,即使出现在筛状结构中。
评分原则:
主要成分之分值+次要成分的分值,如果分级一致,主要与次要成分分值一样;
如果次要成分分化更好(较低分值),且占比<5%时,次要成分忽略,以主要成分分值的 2 倍计分;如果次要成分分值更高,则不论其成分占比多少均应纳入积分系统;
总分 2-5 分的计分不适用于穿刺活检标本,即穿刺活检标本最低计分为 3+3=6. 预后分组
1 组:Gleason 积分 ≤6
完全由单一的相互分离的分化好的腺体构成。
2 组:Gleason 积分 3+4=7
以分化好的腺体成分为主,次要成分为分化差的腺体、融合腺体或筛状腺体。
3 组:Gleason4+3=7
以分化差的腺体、融合腺体或筛状腺体为主,次要成分为分化好的腺体。
4 组:Gleason 4+4=8,或 3+5=8,或 5+3=8
全部由分化差的腺体、融合腺体或筛状腺体构成;或
以分化好的腺体成分为主,次要成分缺乏腺体;或
主要成分缺乏腺体,次要成分为分化好的腺体。
5 组:Gleason 积分 9 分或 10 分
缺乏腺体结构(或伴坏死),伴或不伴分化差的腺体、融合腺体或筛状腺体。

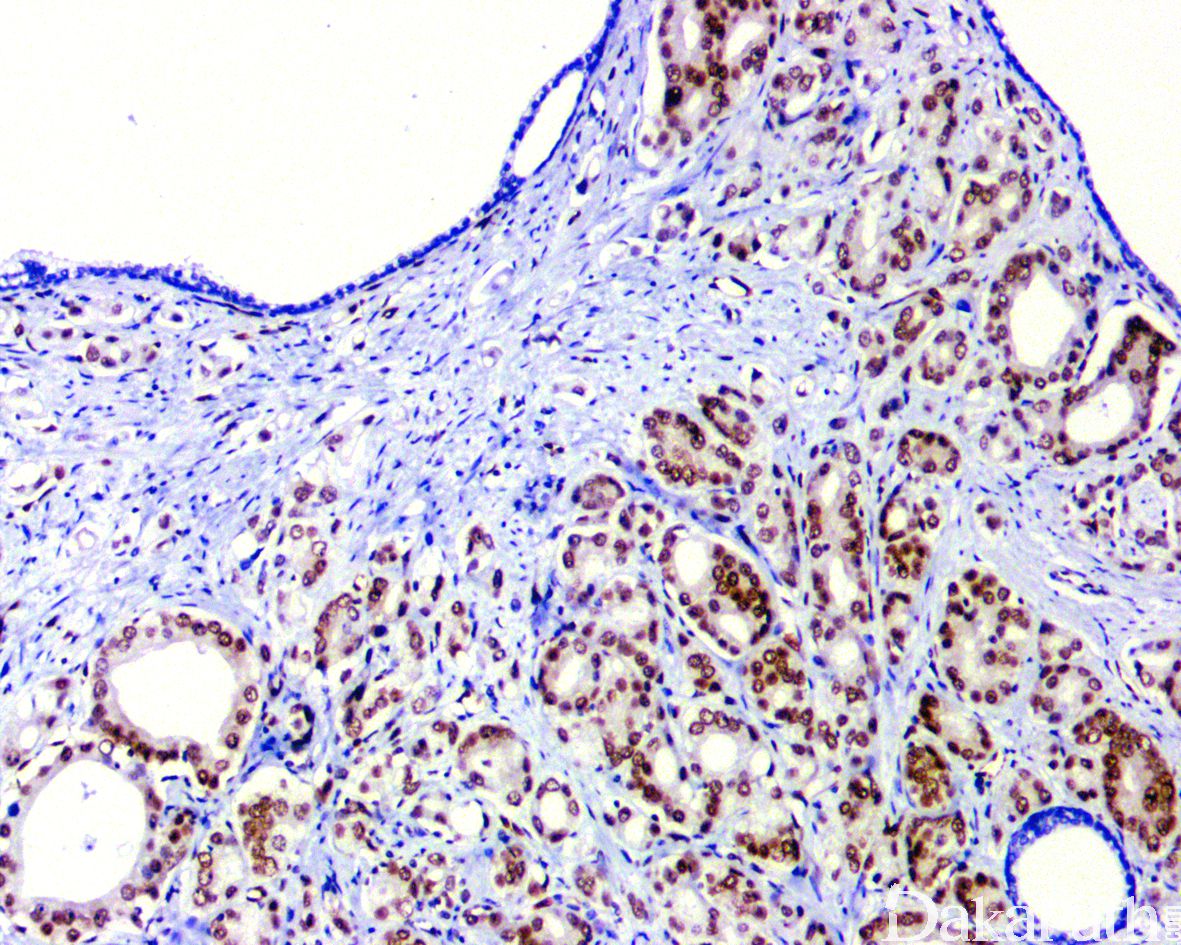
免疫组织化学染色:
P63. P40、34βE12 可用于标记基底细胞,80-100%的腺泡性腺癌细胞 AMACR 阳性,但一些良性腺体也可局灶表达,通常表现为腔面细胞的线性着色,而非整个腺体阳性;P501S 和 NXK3.1(鉴别前列腺癌转移时最特异),50%病例表达 ERG(特异性好);95%-100%病例 PSA 阳性,GATA3 阴性(有时基底细胞可阳性)。
分子标记:
25-70%的前列腺癌存在 PI3K 路径的异常激活;50%存在 PTEN 失活;MYC 基因扩增、突变、重排;TP53 基因突变、缺失;激素抵抗依赖型前列腺癌半数左右可见 RB1 基因突变;27%-79%存在 ETS 家族基因重排,最常见融合基因为 TMPRSS2-ERG。
鉴别诊断:
尿路上皮癌 :PSA、P501S、NKX3.1 阴性,GATA3. CK5/6. P63 阳性,AMACR 和 AR 在尿路上皮癌和前列腺癌均可阳性,对于鉴别诊断帮助不大。
膀胱腺癌 :PSA、P501s、PAP(单克隆)阴性,villin、thrombomodulin、CDX2. CEA(单克隆)等常阳性。
前列腺黄色瘤样肉芽肿 :AE1/AE3. CAM5.2 阴性,CD68 阳性。
结直肠癌 :SATB2. villin、CDX2. CEA 常阳性,NKX3.1. PSA、P501S 阴性。
预后:
预后取决于肿瘤的分期,Gleason 分级,分级分组,手术切缘, PSA 血清水平等
治疗:
取决于肿瘤的危险因素,可采用监控随访;经尿道切除;根治性前列腺切除;内分泌治疗;放化疗等治疗手段。
病例报道:
Rapid progression of mixed neuroendocrine carcinoma-acinar adenocarcinomaof the prostate: A case report.
参考文献:
Moch H, Humphrey P A, Ulbright T M, et al. WHO Classification of Tumours of the Urinary System and Male Genital Organ [M]. Lyon: IARC, 2016.