前列腺腺癌,前列腺上皮内瘤变样(PIN 样)型
Prostate carcinoma, PIN-like subtype
同义词(或曾用名): PIN 样导管腺癌
概述:
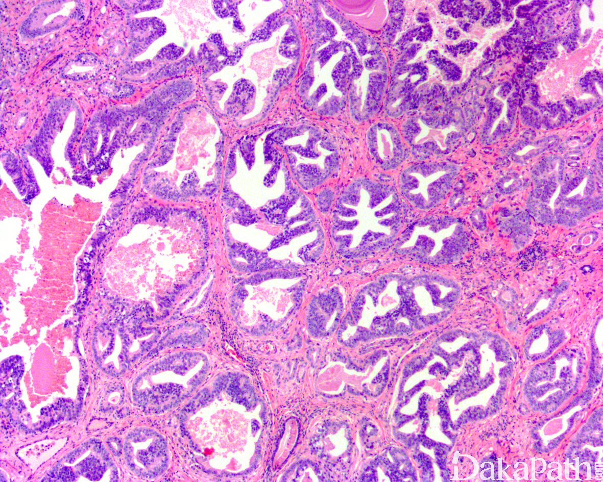
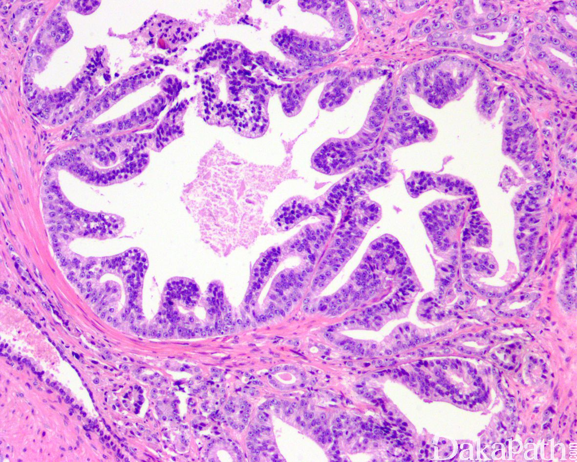
组织学上类似于高级别 PIN 但显示基底细胞缺失的前列腺腺癌
发病部位: 前列腺
诊断要点:
平均发病年龄约 70 岁;
组织学上类似于高级别 PIN 但免疫组化染色显示基底细胞完全缺失;
肿瘤性腺体通常排列密集,呈囊性扩张,被覆上皮呈假复层排列,柱状或圆形,腺腔内瘤细胞呈平坦型、微乳头状、簇状或纤细而薄的长乳头状生长(可见纤细的纤维血管轴心)凸入腔内;
PIN 样腺癌的病灶面积通常较小,多数与普通型腺泡性腺癌伴随,伴随的腺泡性腺癌的 Gleason 评分通常为 7 分或 7 分以下;
类似于经典型 HGPIN 的 PIN 样腺癌 Gleason 分级为 3 级,腺腔内显示纤细而薄的乳头状生长的 PIN 样腺癌 Gleason 分级为 4 级。

免疫组织化学染色:
肿瘤细胞 AMACR 阳性,ERG 罕见阳性,PTEN 罕见丢失;基底细胞标志物 P63 和 CK34βE12 显示腺腔周围基底细胞完全丢失。
鉴别诊断:
高级别 PIN:腺体无 PIN 样腺癌密集,腺体也较 PIN 样腺癌小无纤细而薄的长乳头状结构,免疫组化染色显示存在基底细胞围绕;
前列腺导管内癌:结构较 PIN 样腺癌复杂,呈致密的筛状或实性生长伴或者不伴有坏死,疏松的筛状和簇状结构时可见明显的细胞多形性,免疫组化染色显示大的肿瘤性腺体周围基底细胞围绕;
普通型前列腺导管腺癌:呈分支乳头状、筛状和实性生长,可伴有肿瘤性坏死。
预后:
预后不差;类似于经典型 HGPIN 的 PIN 样腺癌 Gleason 分级为 3 级,腺腔内显示纤细而薄的乳头状生长的 PIN 样腺癌 Gleason 分级为 4 级;根治切除标本中通常为非进展期癌,伴随的腺泡性腺癌通常为非高级别癌。
治疗:
治疗取决于伴随的普通型腺泡性腺癌
参考文献:
Hameed O, Humphrey PA. Stratified epithelium in prostatic adenocarcinoma: a mimic of high-grade prostatic intraepithelial
neoplasia. Mod Pathol. 2006;19:899–906. Tavora F, Epstein JI. High-grade prostatic intraepithelial neoplasialike ductal adenocarcinoma of the prostate: a clinicopathologic study of 28 cases. Am J Surg Pathol. 2008;32:1060–1067. Paulk A, Giannico G, Epstein J I. PIN-like (Ductal) Adenocarcinoma of the Prostate[J]. The American Journal of Surgical Pathology, 2018.