卵巢低级别浆液性癌
Ovarian Low grade Serous Carcinoma
概述:
浸润性癌,具有明确的低度恶性细胞异型性
发病部位: 卵巢
诊断要点:
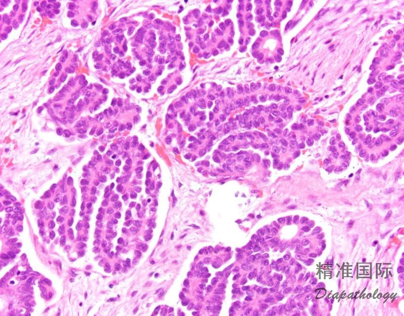
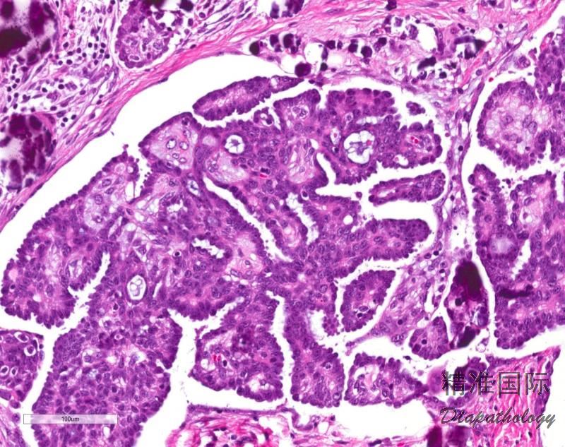
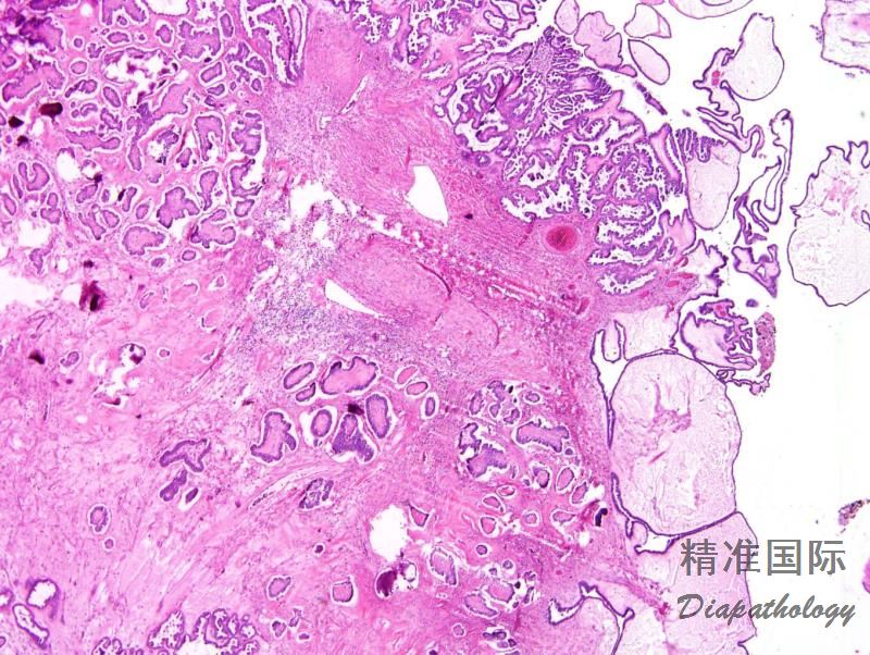
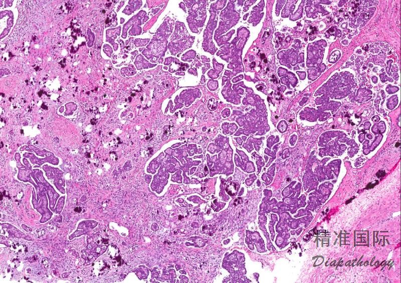
常累及双侧卵巢,呈细乳头生长方式;
特征性改变是各种类型的间质浸润,如单个细胞、不规则小细胞巢杂乱浸润间质;微乳头或大乳头周围围以无上皮衬覆的空隙;不同浸润方式可同时存在;
相当一部分低级别浸润性癌伴有浆液性交界性肿瘤/非典型增生性浆液性肿瘤;
细胞小,形态一致,核多形性不明显,仅轻度-中度异型,具有 1 个明显的核仁;
分裂象少,常小于 3 个/10HPF;
无坏死;
砂粒体常见。

免疫组织化学染色:
P53 阴性或灶状弱阳性,WT-1. EMA、CA125. CK7 通常阳性,约一半病例 ER、PR 阳性。
鉴别诊断:
交界性浆液性肿瘤 :缺乏间质浸润。