卵巢子宫内膜样囊腺瘤/腺纤维瘤
Ovarian endometrioid cystadenoma/adenofibroma
同义词(或曾用名): 卵巢子宫内膜样囊腺瘤、卵巢子宫内膜样腺纤维瘤
概述:
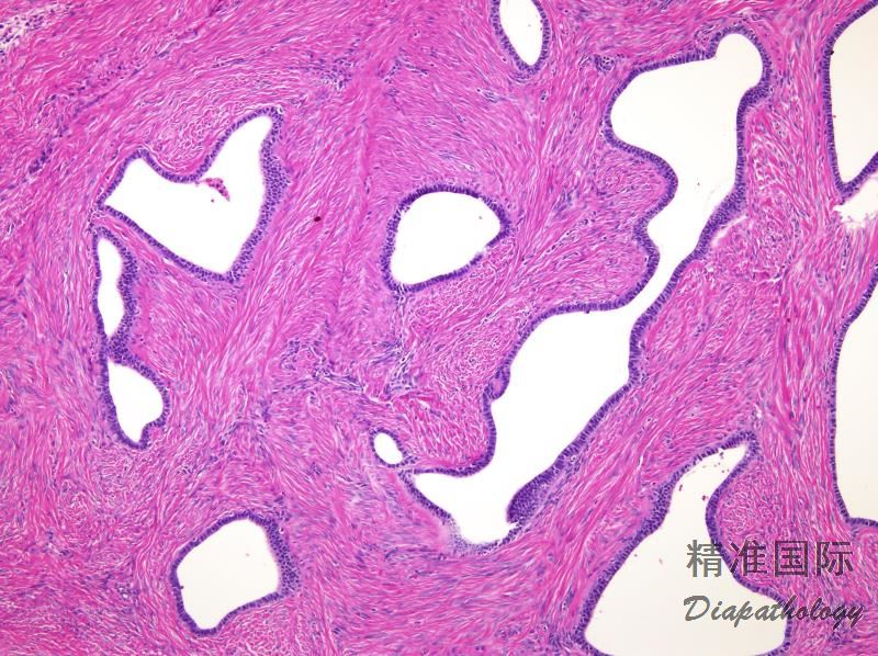
囊性肿物,被覆良性子宫内膜样腺上皮,无子宫内膜样间质。当出现致密纤维瘤样成分时称为子宫内膜样腺纤维瘤。
发病部位: 卵巢
诊断要点:
上皮成分呈分支管状腺体和囊肿,常类似于增生期子宫内膜或轻度增生的子宫内膜腺上皮,细胞呈高柱状,细胞核卵圆形,染色质粗,有小核仁;细胞质嗜碱性至嗜双色性;
上皮常有纤毛,类似输卵管上皮;
有时细胞核一致、细长、深染,胞质稀疏,与萎缩或非活动性子宫内膜相似;
核分裂像多少不一,但通常罕见;
可见分泌改变和灶状鳞化;
可见透明细胞,但缺乏透明细胞癌的结构特征;
间质常为致密的纤维,局灶区域类似卵巢皮质,腺纤维瘤时间质呈纤维瘤样增生;
子宫内膜样腺纤维瘤常与子宫内膜异位症有关。

免疫组织化学染色:
Keratin、vimentin、N-Cadherin 阳性,一些病例表达 CEA 、 HPL。
鉴别诊断:
浆液性腺纤维瘤:两者鉴别存在一定的主观性。一般来说,存在管状腺体结构并缺乏多发囊肿和纤细乳头结构,支持子宫内膜样分化。
预后:
子宫内膜样腺纤维瘤为良性,罕见病例可复发。