卵巢子宫内膜样癌
Endometrioid Carcinoma of the Ovary
同义词(或曾用名): 子宫内膜样腺癌
概述:
形态学类似于子宫内膜癌的上皮性恶性肿瘤。
发病部位: 卵巢
诊断要点:
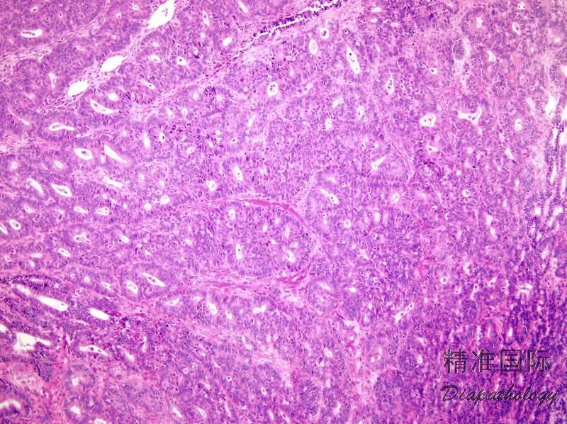
肿瘤大小不一,平均直径 15cm,表面光滑,切面为质脆的实性肿块或呈囊实性,乳头状结构部分填充囊腔;
大多数病例可见子宫内膜异位症、子宫内膜样腺纤维瘤成分,常占据肿瘤体积的绝大部分;
常见的癌结构是腺体增生分支、出芽、高度复杂的乳头状、腺体背靠背、腺体融合或筛状结构,范围超过 5mm;
少数病例间质中见不规则腺体、分布不均匀且边缘不规则的癌巢,周围常常伴有水肿或炎症性间质反应;边缘呈锯齿状的实性区和单个细胞的浸润;
细胞常呈复层排列,腔缘包膜清楚,有不同程度的异型性;
1/3 病例可伴局灶分泌改变;
可伴有少量黏液细胞;
可有鳞状化生;
12%的病例中可见黄素化间质细胞。

免疫组织化学染色:
Keratin、vimentin、N-Cadherin、PR、P16 阳性,部分病例表达 CEA、HPL 。
分子标记:
21%的病例 PTEN 突变