肝脏海绵状血管瘤
Cavernous Haemangioma
发病部位: 肝
诊断要点:
可发生在任何年龄,以年轻女性多见,为肝内最常见的良性肿瘤;
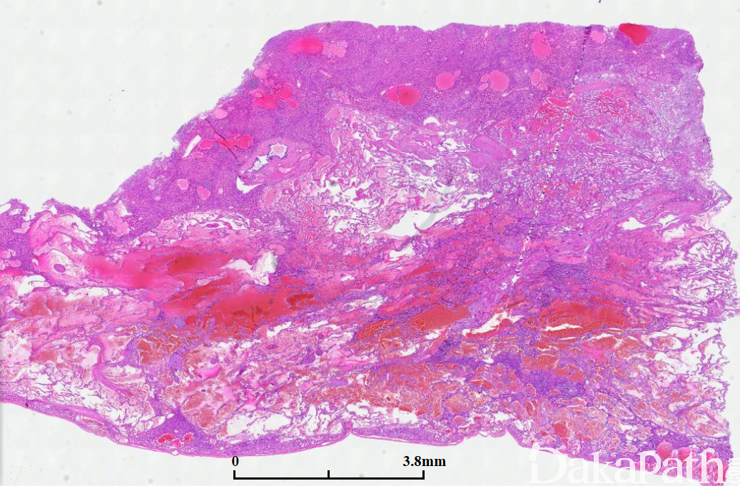
海绵状血管瘤大小悬殊,从几毫米到数十厘米不等,通常单发,边界清楚,切面呈海绵状,褐色,富含血液;
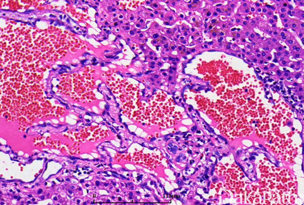
典型的海绵状血管瘤由大小不等的血管腔组成,管腔充满血液,内衬单层扁平内皮细胞;
血管间可见厚度不一的纤维分隔;纤维间质中可见树枝状小血管;
部分病例边缘区可见扩张的血管腔伸入周围肝实质中;
部分病例可发生梗死、血栓形成及机化,可伴钙盐沉积。

免疫组织化学染色:
内皮细胞 CD31. CD34 及 ERG 阳性,血管周细胞 SMA 阳性。