球旁细胞瘤
Juxtaglomerular Cell Tumour
同义词(或曾用名): 肾素瘤
概述:
一种分泌肾素的少见类型肾肿瘤,起源于肾球旁感受器内肾小球入球小动脉壁的特化性平滑肌组织。
发病部位: 肾脏
诊断要点:
球旁细胞瘤通常发生于青少年和年轻成人,高峰发病年龄 20 ~ 40 岁,平均发病年龄约 27 岁,偶见于儿童和老年人,女性好发,男女比约 1:2。
绝大多数患者表现为因肾素分泌过多导致的相应症状,如血压升高、醛固酮增多症以及低血钾等,高血压通常为重度,应用药物控制不佳。多数患者在肿瘤切除之后上述症状消失,仍有约 10%表现为轻度的血压升高。极少数球旁细胞瘤为非功能性的。
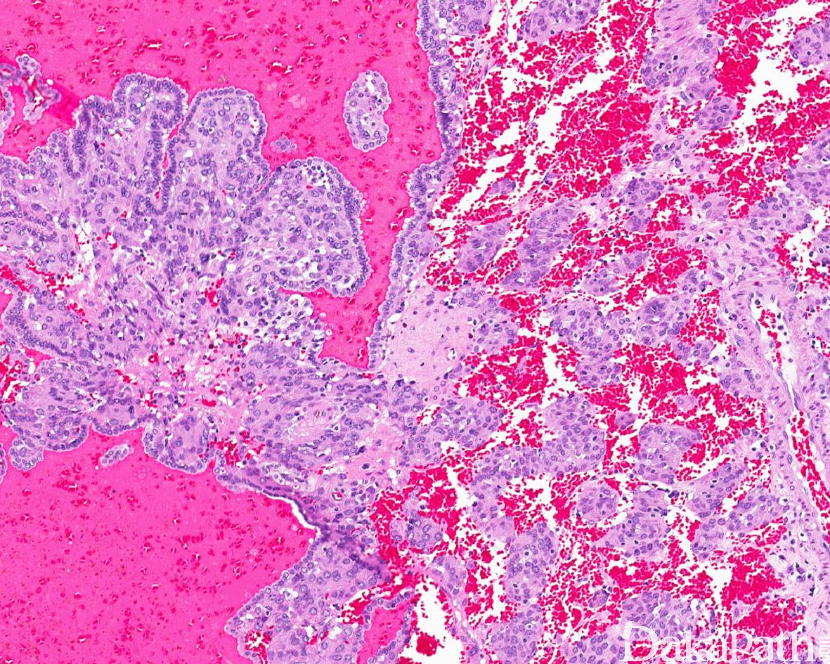
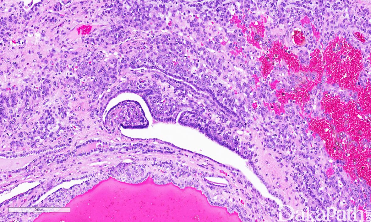
大体界限清楚,带部分或完整的纤维性包膜,瘤体直径 0.2 ~ 15cm,大多数直径在 3 ~ 5cm 之间,切面灰黄灰褐,偶见出血和坏死。
镜下界限清楚,部分带包膜,约半数肿瘤周边可见内陷的良性肾小管。
瘤细胞呈实性片状或围绕分支状血管呈血管外皮瘤样排列,常见间质水肿导致的微囊状结构,肿瘤周边可见瘤细胞围绕内陷的肾小管呈乳头状排列。
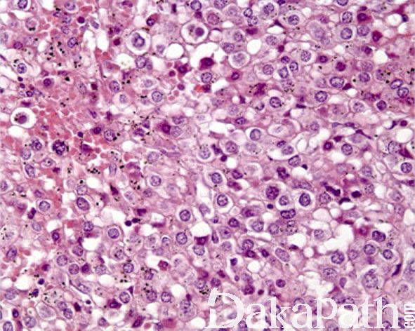
瘤细胞大小较一致,多角形或胖梭形,胞浆多少不等,弱嗜酸性,可见单个的中位核,核仁不明显,核分裂象罕见或缺如。偶见退行性变的核非典型性和局灶的坏死,与肿瘤的生物学行为无关。
肿瘤间质血管丰富,从大量的毛细血管到成簇的厚壁血管不等,后者常见管壁的玻璃样变性。

免疫组织化学染色:
特征性的表达肾素蛋白(renin),通常弥漫表达波形蛋白和 CD34,大多数表达 SMA、CD117. 核表达 b-catenin 等,一般不表达 PAX8. 角蛋白、STAT6. HMB45. Melan-A、结蛋白以及 S100 等。电子显微镜观察球旁细胞瘤胞浆内存在具有诊断特征的肾素颗粒,后者通常位于细胞的周围,表现为锐利而成角的棒状颗粒。
分子标记:
常见 9 号和 11 号染色体丢失以及异倍体
鉴别诊断:
- 肾脏孤立性纤维性肿瘤(SFT) :SFT 常见明显的血管外皮细胞瘤样结构以及免疫组化染色表达弥漫 CD34 可与球旁细胞瘤混淆。与后者不同,SFT 一般不引起明显的高血压症状,镜下肿瘤常见粗大的胶原纤维间质沉积,免疫组化染色特征性的表达 STAT6,较少表达 SMA,不表达肾素蛋白。
2. 胃肠道外胃肠道间质肿瘤(GIST): 原发于后腹膜的 GIST 在临床上有时可靠近肾脏而误认为肾脏原发,GIST 和球旁细胞瘤在形态学和免疫表型特征上存在明显的重叠,需要仔细的鉴别。此时免疫组化染色可帮助诊断,GIST 表达 DOG1 而不表达肾素蛋白,球旁细胞瘤则相反。
以平滑肌为主或上皮样细胞为主的血管平滑肌脂肪瘤 :与球旁细胞瘤不同,血管平滑肌脂肪瘤常见瘤细胞围绕畸形的血管呈放射状分布,免疫组化染色除了表达肌源性标志物(SMA 和结蛋白)之外,还表达黑色素细胞标志物(HMB45 和 Melan-A)等,一般不表达 CD34。
肾脏血管周肌样细胞肿瘤 :包括血管球瘤和肌周细胞瘤等(共同构成瘤谱)。组织学上和免疫表现上与球旁细胞瘤存在明显的相似性,因而特别容易混淆。两者均由肌样细胞组成,常见围绕血管周生长以及间质水肿和透明变性,免疫组化染色均可表达肌样分化标志物、CD34 以及肾素。但与血管球瘤不同,球旁细胞瘤好发于青少年(平均约 27 岁),临床上几乎均有高血压病,通常为重度且用降压药控制不佳,术后血压常可见明显的回落。与部分血管球瘤仅局灶表达肾素不同,球旁细胞瘤通常弥漫强表达肾素,此外,球旁细胞瘤常见表达 CD117 以及核异常表达 β-catenin,而血管球瘤均不表达。血管球瘤弥漫表达 IV 型胶原,而球旁细胞瘤不表达。最后两者超微结构也不同:球旁细胞瘤在电镜下一般很容易找到特征性的菱形肾素小体,而血管球瘤则为胞浆内肌丝和细胞间的基底膜样物质。
治疗:
切除
病例报道:
Juxtaglomerular cell tumouras a curable cause of hypertension:casepresentation.
参考文献:
**[1] Moch H, Humphrey P A, Ulbright T M, et al. WHO Classification of Tumours of the Urinary System and Male Genital Organ [M]. Lyon: IARC, 2016. **
[2] Kuroda N, Maris S, **Monzon FA, et al. Juxtaglomerular cell tumor: a morphological, immunohistochemical and genetic study of six cases[J]. Hum Pathol, 2013 , 44(1): 47-54. **
[3] 沈勤,梁伟,姜少军,等 . 肾球旁细胞瘤二例的临床病理特点 [J]. 中华病理学杂志 **, 2013, 46(1): 46-7. **
**[4]Zhao M, Williamson S R, Sun K, et al. Benign perivascular myoid cell tumor (myopericytoma) of the urinary tract: a report of 2 cases with an emphasis on differential diagnosis [J]. Hum Pathol, 2014; 45(5): 1115-21. **