肾内神经鞘瘤
Intrarenal Schwannoma
概述:
起源于外周神经鞘膜的良性肿瘤,罕见发生于肾脏。
发病部位: 肾脏
诊断要点:
- 罕见,绝大多数发生于成人,可见于肾实质,肾门,肾盂或肾被膜;肿瘤边界清楚,分叶状或圆形,4-16cm(平均 9.7cm);
- 组织形态与发生于其它部位者相同,由梭形细胞构成,部分呈栅栏状排列(Antoni A),部分细胞少而结构疏松(Antoni B);
- 有些肿瘤呈富于细胞型神经鞘瘤改变,即富于细胞区完全或主要由 Antoni A 区构成,无 Verocay 小体。

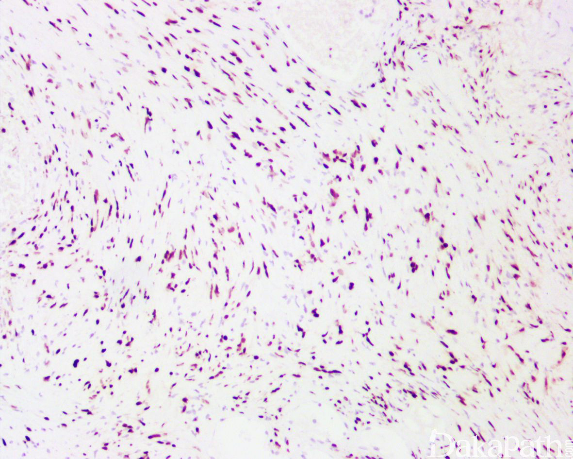
免疫组织化学染色:
SOX10 和 S100 阳性,EMA、CK 阴性。
分子标记:
同软组织神经鞘瘤
鉴别诊断:
以平滑肌细胞为主的血管平滑肌脂肪瘤:表达黑色素和肌样标志物;
以平滑肌样细胞为主的混合性上皮间质肿瘤:绝大多数发生于围绝经期女性,间质细胞弥漫表达 ER 和 PR;
肾脏神经束膜瘤:非常罕见,瘤细胞表达 EMA 不表达 S100 和 SOX10;
梭形细胞肉瘤样癌:可见于肾细胞癌或尿路上皮癌,免疫组化染色至少局灶表达上皮标志物,S100 一般阴性;
预后:
良性肿瘤
治疗:
切除
病例报道:
Schwannomaof the kidney with magnetic resonance images of non-homogenous renal mass--acasepresentation.
参考文献:
Alvarado-Cabrero I, Folpe AL, Srigley JR, et al. Intrarenal schwannoma: a report of four cases including three cellular variants. Mod Pathol 2000;13: 851–856. Stefano Gobbo, John N Eble, Jiaoti Huang, David J Grignon, Mingsheng Wang, Guido Martignoni, Matteo Brunelli and Liang Cheng. Schwannoma of the Kidney. Modern Pathology 2008; 21:779–783
← 肾脏孤立性纤维性肿瘤 肾脏淋巴管瘤 →