肾脏上皮样血管肌脂肪瘤
Renal Epithelioid Angiomyolipoma
概述:
上皮样血管平滑肌脂肪瘤(AML)是一具有恶性潜能的间叶性肿瘤,肿瘤内以增生的上皮样细胞为主,同时可能具有经典的 AML 的三种成分。上皮样细胞构成至少需要 80%。
发病部位: 肾脏
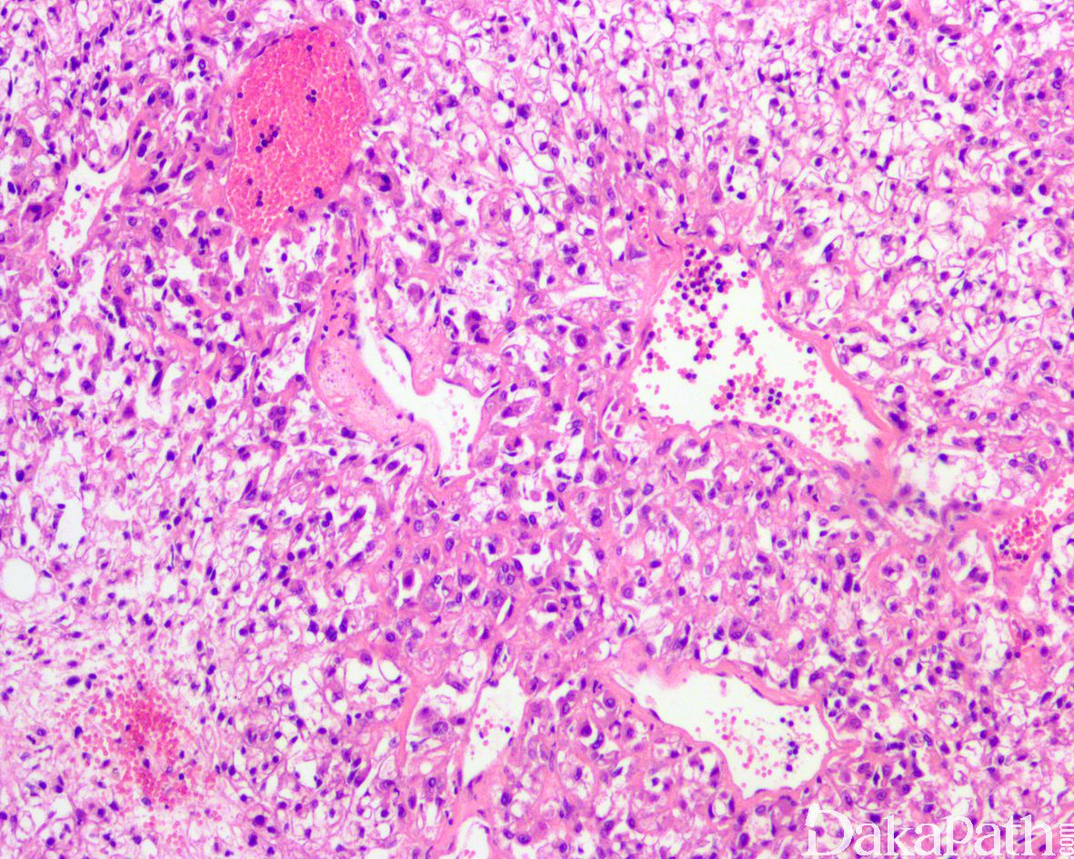
诊断要点:
上皮样血管平滑肌脂肪瘤体积较大,呈浸润性生长,肉眼呈灰褐色、白色、棕色,或伴出血,可有坏死,有时肿瘤侵及肾外组织或肾静脉甚至腔静脉;
部分病例呈癌样形态学特征:
1)由大的圆形或多角形上皮样细胞呈紧密巢状和片状排列,细胞巢、片状结构有富含血管的间质分割,核异型,核仁突出,常见核内包涵体;
2)肿细胞胞浆丰富,强嗜酸性,细胞核较大,囊泡状,核仁清楚,可见多核巨细胞和大的神经节样细胞;
3)一般无核分裂像或仅 1 个/50HPF,少数病例核分裂像 ≥2 个/50HPF;
4)常有多少不等的坏死及出血; 偶尔可见黑色素沉积。另一些病例由上皮样成分和胖梭形细胞弥漫致密片状排列构成,形态学具更大的异质性:
肿瘤细胞可为相对一致的上皮样细胞,胞浆透亮或颗粒状、羽毛状嗜酸性胞浆,细胞较小,核较一致,缺乏核异型,核内包涵体少见;
可见单个或成群的多核巨细胞;
多数肿瘤中可见肿瘤细胞围绕血管周围聚集;部分可见间质内泡沫样组织细胞沉积;
广泛取材仔细有时可寻找到可见少量脂肪细胞。

免疫组织化学染色:
黑色素细胞标记物,如:HMB45. MelanA、cathepsin K 和小眼转录因子阳性,对平滑肌标记物如 SMA、MSA、calponin、h-caldesmon 等表达不一,少数病例可表达 TFE3,一般较少表达 desmin。
分子标记:
可见 TSC2 的杂合性缺失,少数可见 TFE3 重排(色素性 Xp11.2 易位性肾肿瘤)
鉴别诊断:
具有颗粒细胞胞浆的肾细胞癌:广泛取材通常可见分化较好的透明细胞灶,免疫组化染色表达 PAX8 和 CD10. CAIX 等肾细胞标志物
易位性肾细胞癌:免疫组化染色表达 CK、PAX8 等
血管母细胞瘤:免疫组化染色表达 S100 蛋白,NSE 以及 Inhibin 等
肾上腺皮质癌:免疫组化染色表达 Mlean-A, SF1, Inhibin 等。
预后:
提示预后不佳的临床病理因素包括:(1)与结节性硬化症有关或共存普通的血管平滑肌脂肪瘤;(2)肿瘤> 7cm;(3)癌样的生长方式;(4)累及肾周脂肪和/或肾静脉;(5)存在坏死。低危进展型:0-1 个因素,15%疾病进展率;中危进展型:2-3 个因素,64%疾病进展率;高危进展型:≥4 个因素,100%疾病进展率。
治疗:
切除
病例报道:
Malignantrenal epithelioid angiomyolipoma: Acasereport and review of the literature.
参考文献:
Brimo F, Robinson B, Guo C, et al. Renal epithelioid angiomyolipoma with atypia: a series of 40 cases with emphasis on clinicopathologic prognostic indicators of malignancy. Am J Surg Pathol 2010;34:715–722. Nese N, Martignoni G, Fletcher CD, et al. Pure epithelioid PEComas (so-called epithelioid angiomyolipoma) of the kidney: a clinicopathologic study of 41 cases: detailed assessment of morphology and risk stratification. Am J Surg Pathol 2011;35:
161–176.