肾脏平滑肌瘤

Leiomyoma of the kidney

概述:

平滑肌瘤是一良性平滑肌性肿瘤。

发病部位: 肾脏

诊断要点:

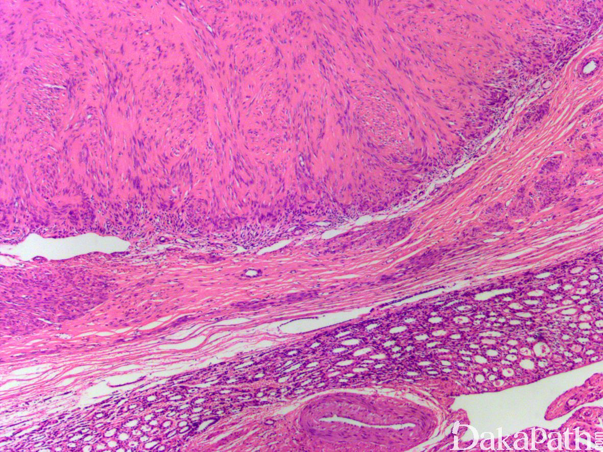
  1. 平滑肌瘤最常发生于肾被膜,其次是肾盂的平滑肌组织,或来源于皮质血管平滑肌,肾脏平滑肌瘤几乎总是发生于女性,发病年龄 28 ~ 75 岁(平均年龄 58 ~ 63 岁);偶尔可发生于免疫缺陷患者,与 EB 病毒相关;
  2. 大体上,平滑肌瘤是界限清楚的实性肿瘤,切面呈小梁状,可有钙化和囊性变,但无坏死;
  3. 组织形态与发生于后腹膜和子宫部位的平滑肌瘤相同,由梭形细胞交错束状排列构成,也可呈编织状甚至栅栏样排列,间质常见玻璃样和水肿变性;
  4. 细胞无异型性和核分裂。

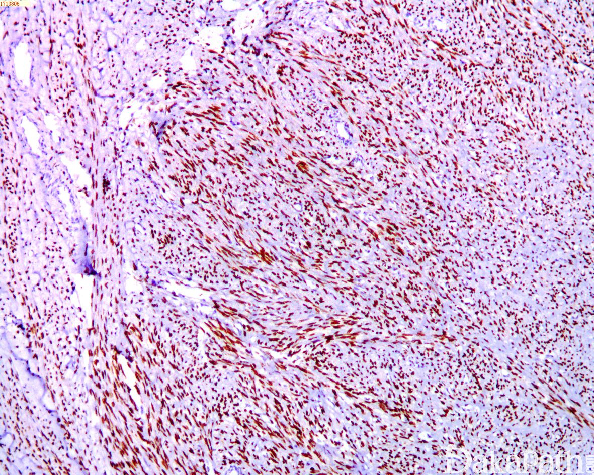
免疫组织化学染色:

Actin、Desmin、caldesmon 阳性,约 2/3 的肿瘤 ER、PR 以及 WT1 阳性,HMB45,Melan-A,CD34. S100. CK 阴性。

分子标记:

鉴别诊断:

  1. 以平滑肌为主的血管平滑肌脂肪瘤(AML) :与平滑肌瘤相比,平滑肌为主的 AML 瘤细胞胞浆更浅染而呈弱嗜酸性,胞浆内常见颗粒状絮状物(所谓的“蜘蛛细胞”),瘤细胞常见围绕畸形厚壁血管呈放射状排列,仔细观察常可见局灶的脂肪组织;免疫组化染色除了表达平滑肌分化标志物外,常不同程度表达黑色素分化标志物和 Cathepsin K。

  2. 混合性上皮间质肿瘤(MEST): 与平滑肌瘤相比,MEST 内常见多少不等的卵巢样间质和上皮性成分,后者常见排列成分支小管状以及鞋钉样细胞特征。

  3. 良性血管周肌样细胞肿瘤/肌周细胞瘤 :起源于血管周具有肌样细胞分化的肿瘤,与平滑肌瘤不同,肌周细胞瘤常见瘤细胞围绕血管呈同心圆状或洋葱皮样排列,瘤细胞弥漫表达 SMA 和 MSA,局灶表达结蛋白。

预后:

良性肿瘤,预后好

治疗:

根治或部分肾切除

病例报道:

Leiomyomaofthe kidney--report of two cases.

参考文献:

Patil PA, McKenney JK, Trpkov K, et al. Renal leiomyoma: a contemporary multi-institution study of an infrequent and frequently misclassified neoplasm [J]. Am J Surg Pathol. 2015;39:349–56.