肾脏平滑肌肉瘤
Leiomyosarcoma of the kidney
同义词(或曾用名): 静脉平滑肌肉瘤
概述:
平滑肌肉瘤是具有平滑肌分化的恶性肿瘤。
发病部位: 肾脏
诊断要点:
是一罕见的肾原发性肿瘤,占肾脏恶性肿瘤 1%以下,多数见于成人,大体检查肿瘤可发生于肾被膜、肾实质、肾盂肌肉组织和肾静脉(静脉平滑肌肉瘤);
通常体积大,实性灰白色,质软或偏硬韧,有灶状坏死,发生于肾被膜者,可包裹肾脏;
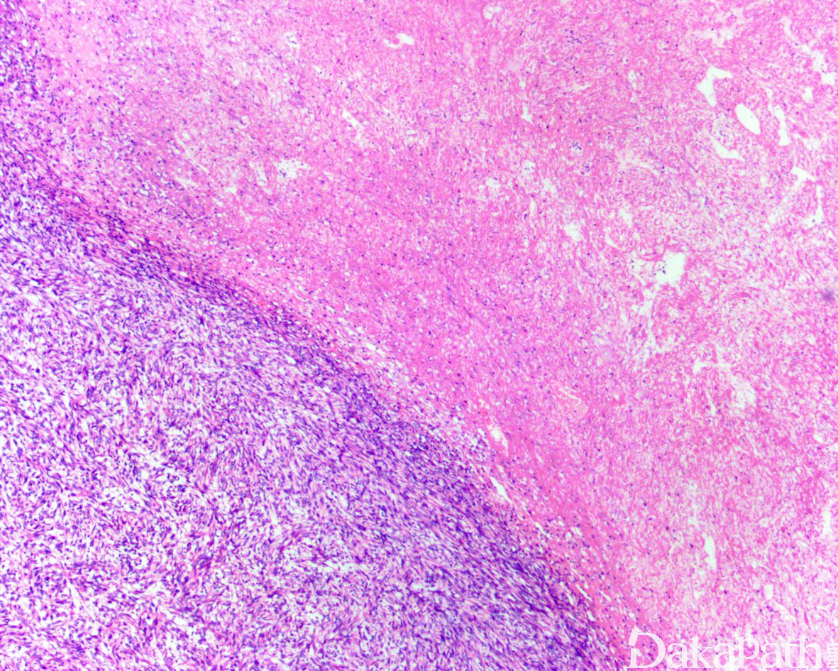
肿瘤细胞梭形,呈栅栏状、丛状或杂乱排列;
分化好的平滑肌肉瘤形态学上似平滑肌瘤,而分化差的平滑肌肉瘤形态学上具有多形性,核级别高,常见坏死和明显的核分裂活性。
判断其平滑肌分化的证据为背景中查见分化较好的平滑肌样细胞(包括原纤维状的嗜酸性胞质、两端顿圆的核以及胞质内的嗜酸性玻璃样小球等)。

免疫组织化学染色:
SMA、Desmin、Caldesmon 阳性,部分 P16 阳性,CK、EMA、CD34. S100 阴性或局灶弱阳性,HMB45. Melan A、myogenin、MyoD1. ER、PR 以及 WT1 阴性。
分子标记:
与躯体平滑肌肉瘤相似,具有复杂的核型
鉴别诊断:
- 肉瘤样肾细胞癌或尿路上皮癌:广泛的取材通常可查见局灶分化较好的肾细胞癌或尿路上皮癌成分,免疫组化染色肉瘤样癌至少局灶表达上皮性标志物,肾细胞癌可表达 PAX8,尿路上皮癌可表达 GATA3 和 P63。需要注意的是,肉瘤样癌可局灶表达 SMA,但一般不表达结蛋白;约 25%的平滑肌肉瘤可局灶表达角蛋白, 特别是 AE1/3。
- 恶性 AML:AML 除了表达肌源性标志物外还表达黑色素分化标志物,此外,与平滑肌肉瘤总体上尚保留平滑肌分化的特征不同,恶性 AML 常见弥漫片状的多形性或间变性上皮样瘤细胞。
其它躯体型软组织肉瘤:罕见原发于肾脏,包括去分化脂肪肉瘤、恶性外周神经鞘膜瘤、恶性孤立性纤维性肿瘤、横纹肌肉瘤等,仔细的形态学观察寻找分化较好的平滑肌分化证据联合免疫组化染色表达多个肌源性标志物可将肾脏平滑肌肉瘤与上述肿瘤区分开来。
肾脏平滑肌瘤:几乎所有的肾脏平滑肌肿瘤根据组织学标准可明确的区分为平滑肌瘤和平滑肌肉瘤,目前尚无恶性潜能未定的肾脏平滑肌肿瘤的报道。平滑肌瘤瘤体较小,核形态温和,核分裂象一般不超过 1 个/10 个高倍镜视野,无坏死,免疫组化染色绝大多数表达 ER、PR 和 WT1,不表达 P16, Ki67 < 1%。平滑肌肉瘤瘤体明显较大,常见核多形性,核分裂象活跃(通常> 5 个/10 高倍镜视野),绝大多数可见肿瘤性坏死,免疫组化染色较少或不表达 ER、PR 和 WT1,多数表达 P16,Ki67 通常> 5%
预后:
预后差。中位存活时间约 25 个月,5 年总体存活率约 25%,5 年疾病特定存活率约 60%。
治疗:
根治性肾切除术,术后放化疗作用有限,无论是否采用辅助治疗,大多数患者最终形成多处转移并死于肿瘤
病例报道:
Mixed subtype ofcongenital mesoblastic nephromawith poor evolution: acasereport and literature review.
参考文献:
Miller J S, Zhou M, Brimo F, et al. Primary leiomyosarcoma of the kidney: a clinicopathologic study of 27 cases [J]. Am J Surg Pathol, 2010, 34(2): 238-42. Gupta S, Jimenez R E, Folpe A L, et al. Renal Leiomyoma and Leiomyosarcoma: A Study of 57 Cases [J].
Deyrup A T, Montgomery E, Fisher C. Leiomyosarcoma of the kidney: a clinicopathologic study [J]. Am J Surg Pathol, 2004, 28(2): 178-82.