肾血管母细胞瘤
Renal Haemangioblastoma
概述:
形态学类似于中枢神经毛细血管血管母细胞瘤,由间质细胞和大量毛细血管构成。
发病部位: 肾脏
诊断要点:
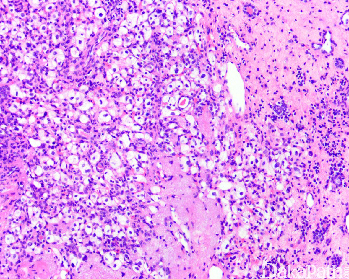
肾血管母细胞瘤罕见,发病年龄 16-71 岁,直径 1.2-6.8cm,界限清楚,部分可带包膜,切面灰白或黄褐色,偶见中央囊腔;
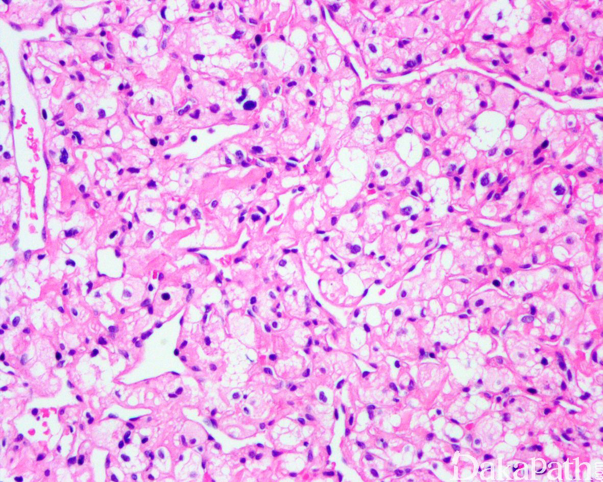
肿瘤与周围肾组织分界清楚,边缘可见内陷的肾小管,肿瘤间质血管丰富,分支血管网间可见卵圆形瘤细胞呈片状、或分叶结节状增生,局部可见瘤细胞围绕血管呈放射状排列;
细胞胞浆淡染或嗜酸性,胞浆内多泡状淡染脂质空泡,有些病例可见横纹肌样细胞形态,也可见大的嗜酸性小球和局灶的钙化;
大多数病例细胞仅轻微多形性,偶尔可见怪异细胞。
偶尔可见血管母细胞瘤成分与透明细胞肾细胞癌成分混合,提示两者可能是不同分化阶段的谱系肿瘤。

免疫组织化学染色:
Inhibin、NSE、S100. GLUT1. CAIX、vimentin 阳性,PAX8 细胞核阳性,CD10. EMA 偶尔灶状阳性,actin、HMB45. Melan A、CK 通常阴性。
分子标记:
大多数为散发性与 VHL 基因突变无关
鉴别诊断:
上皮样血管平滑肌脂肪瘤:瘤细胞胞浆皱缩呈蜘蛛样,免疫组化染色表达肌源性和黑色素标志物
透明细胞肾细胞癌伴血管瘤样间质:瘤细胞胞浆水样透明,免疫组化染色 CK 和 EMA 以及 PAX8 可勾勒出少量的肿瘤细胞,不表达 S100 蛋白和 NSE
交织状血管瘤:瘤细胞呈交织网状排列,类似于脾窦间隙,局灶可见鞋钉样细胞,间质为少细胞的纤维性间质,无免疫组化染色瘤细胞,无多泡状淡染脂质空泡的间质细胞。免疫组化染色表达内皮细胞标志物,不表达 S100 蛋白和 NSE、Inhibin 等。
预后:
绝大多数为良性肿瘤,偶尔可混有肾细胞癌成分,生物学行为尚不十分清楚。
治疗:
根治性或部分肾切除
病例报道:
Sporadicrenal haemangioblastoma:Casereport and review of the literature.
参考文献:
Zhao M, Williamson SR, Yu J, et al. PAX8 expression in sporadic hemangioblastoma of the kidney supports a primary renal cell lineage: implications for differential diagnosis. Hum an Pathol ogy . 2013;44 (10):2247-55.