膀胱平滑肌肉瘤
Bladder Leiomyosarcoma
概述:
一种少见的起源于膀胱平滑肌的恶性间叶肿瘤。
发病部位: 主要见于膀胱,输尿管和肾盂少见。
诊断要点:
是成人膀胱最常见的肉瘤,占膀胱恶性肿瘤的 1%以下,多发生于 60 ~ 80 岁成人(平均年龄约 65 岁),可发生于膀胱的任何部位,输尿管和肾盂少见;
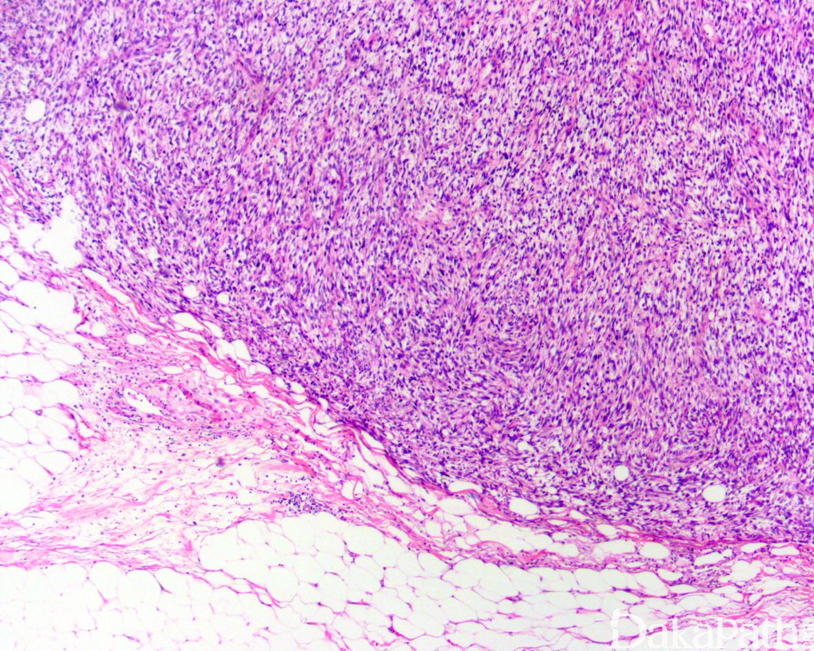
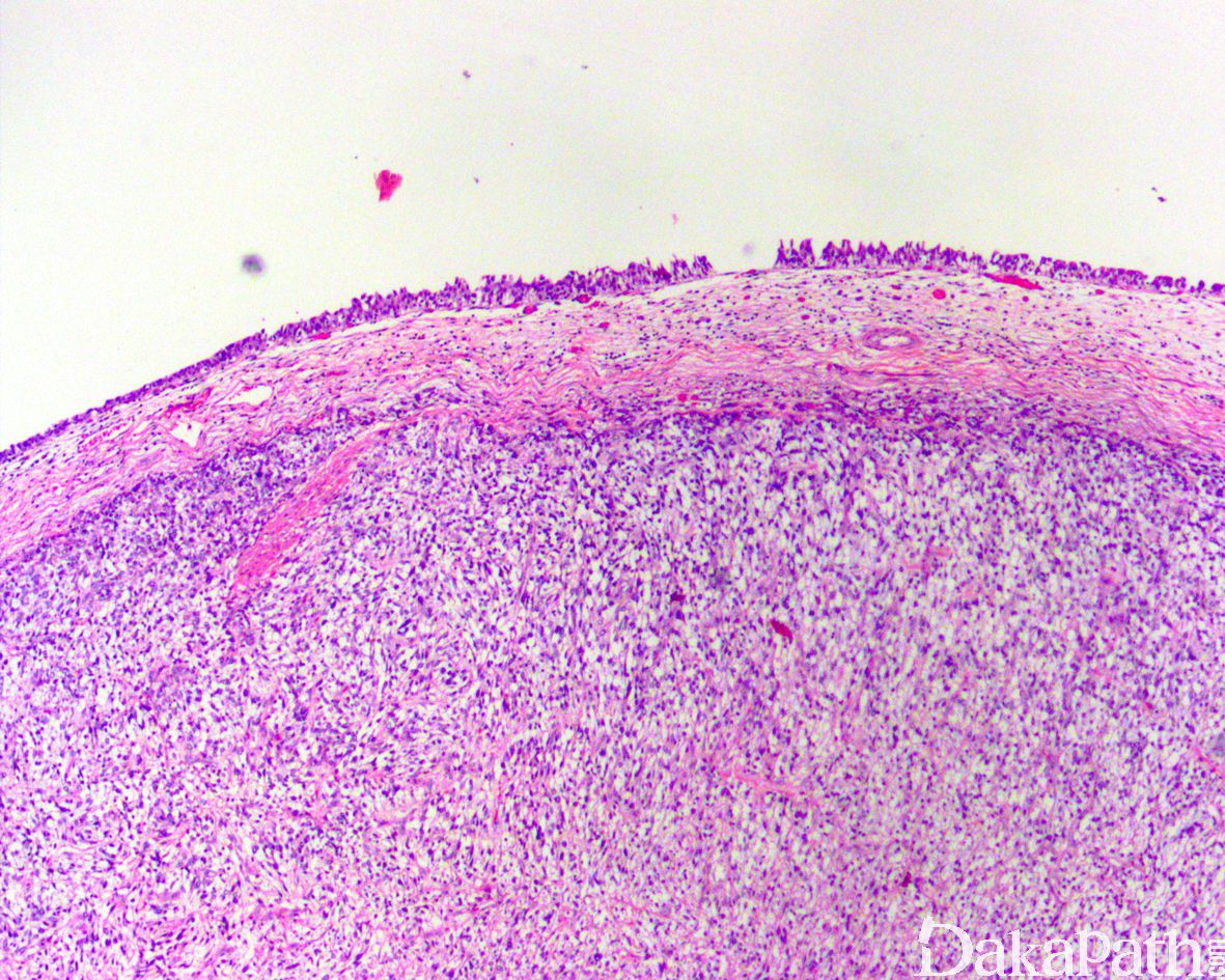
大体检查为体积大的浸润性包块,2-15cm,平均直径 7cm,表面黏膜常见溃疡形成。
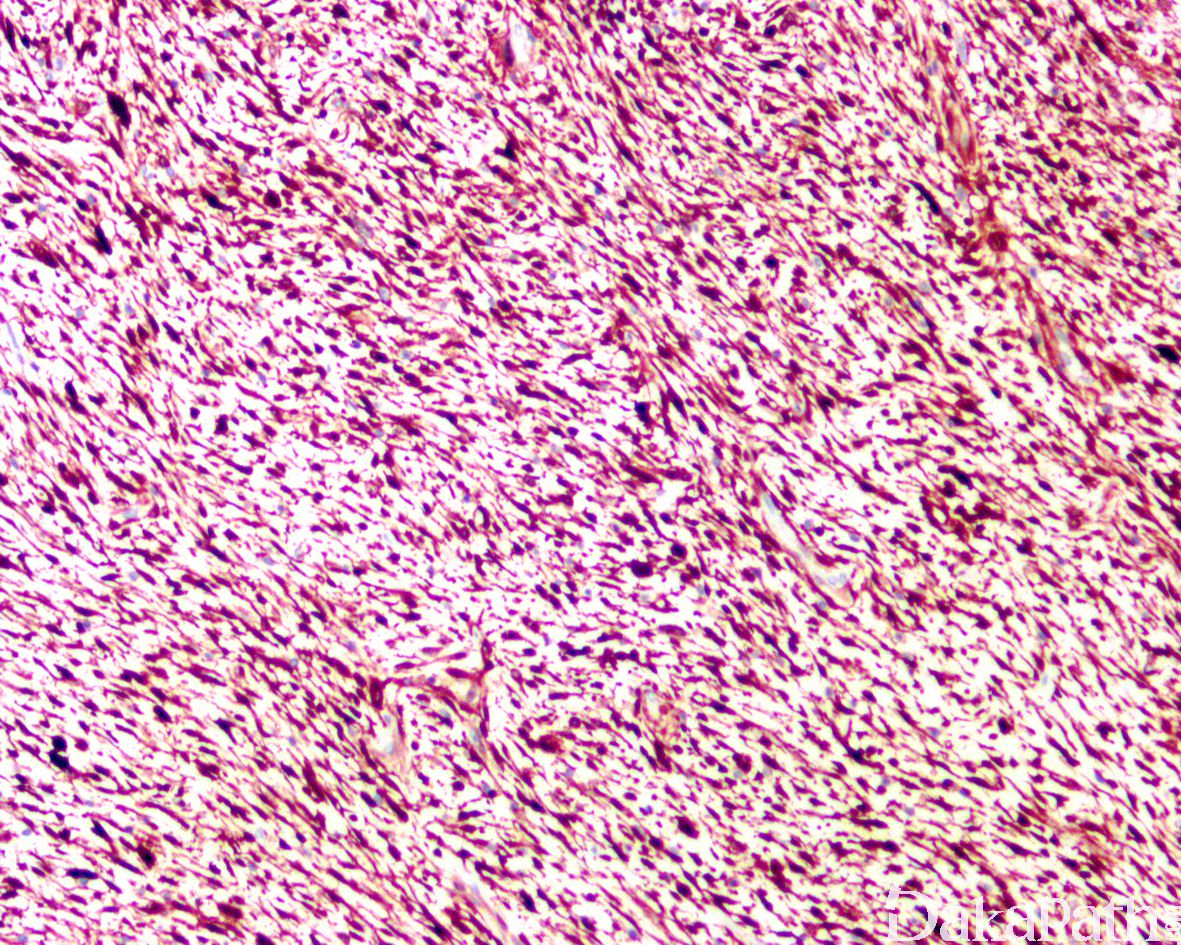
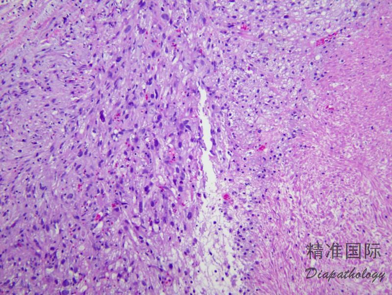
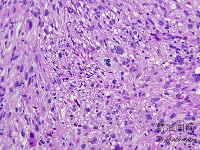
肿瘤由浸润性、交错排列的梭形细胞束组成,细胞核呈雪茄样,胞浆嗜酸性,可见核周空泡;
细胞可显示不同程度的异型性,细胞密度中-高,可见核分裂像及不典型核分裂像;
可见上皮样瘤细胞,偶尔可完全表现为上皮样特征;
可见黏液变性;
间变性平滑肌肉瘤显示较少或完全无平滑肌分化的特征,需免疫组织化学染色确定诊断;
依据细胞异型性、核分裂计数以及坏死等特征,平滑肌肉瘤可分为低级别及高级别两级:
低级别者表现为细胞轻~中度异型,核分裂像<5 个/10HPF;
高级别平滑肌肉瘤有明显细胞异型性,多数病例核分裂像>5 个/10HPF;
大多数膀胱平滑肌肉瘤为中-高级别。

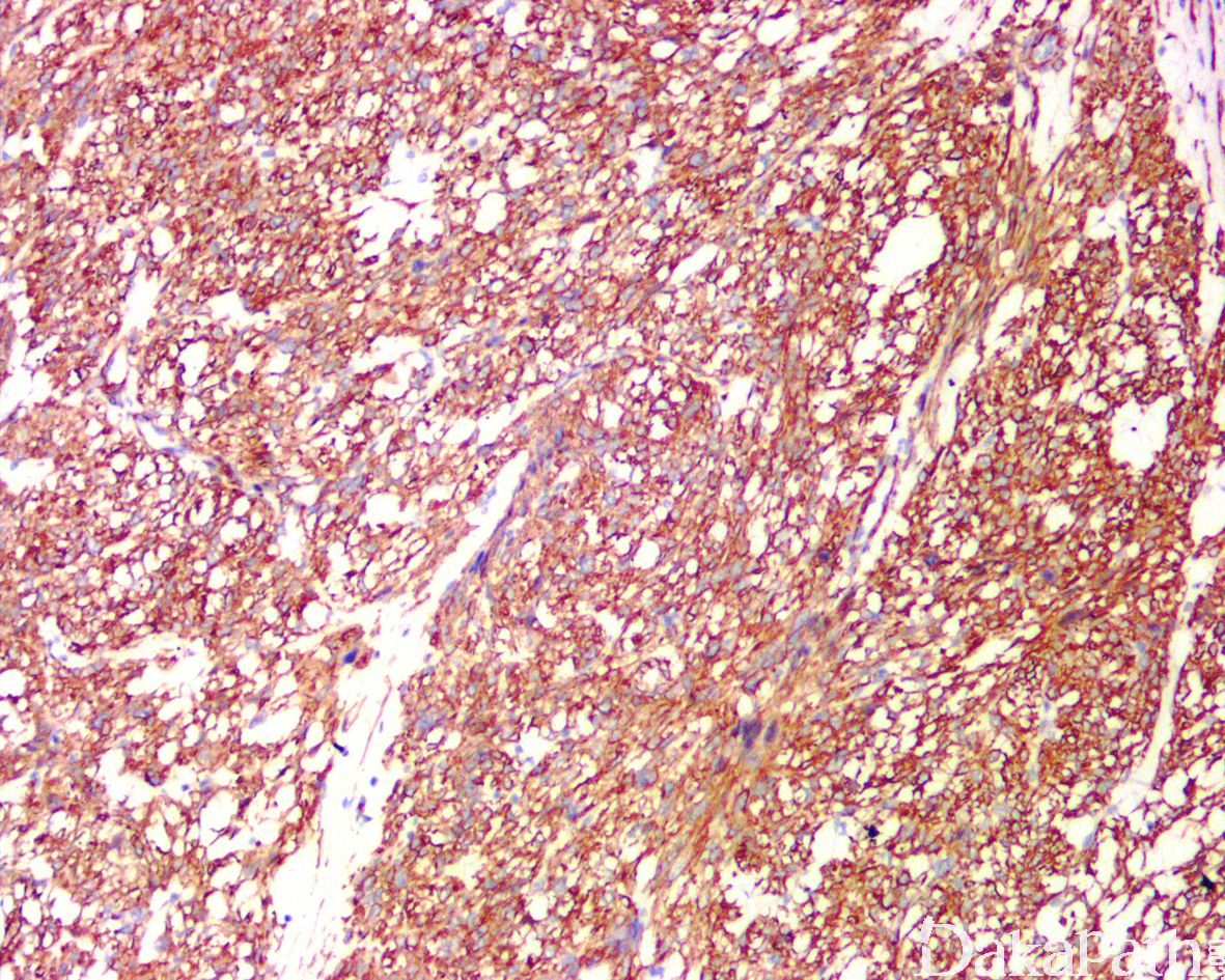
免疫组织化学染色:
SMA、caldesmon、desmin、calponin、P16 常阳性,ER、PR、S100. myogenin、myoD1. EMA 及广谱 CK 常阴性(具有上皮样分化特征的平滑肌肉瘤可局灶表达 CK)。
分子标记:
无特异性的重现性遗传学异常
鉴别诊断:
平滑肌瘤:平滑肌瘤体积小,细胞密度低,界限清楚、缺乏细胞异型性及坏死。
炎性肌纤维母细胞肿瘤:肿瘤内可见不同程度的炎症浸润以及血管化间质,瘤细胞异型性不明显,细胞密度较低,一般无坏死,无非典型核分裂像,免疫组化染色约半数以上表达 ALK-1,一般不表达 H-caldesmon。
术后梭形细胞结节:平滑肌肉瘤有明显的细胞异型性、病理性核分裂像和密集排列的细胞束,而术后梭形细胞结节临床上具有创伤或手术史,病变具有炎症浸润以及疏松血管和黏液样背景。
肉瘤样癌 :也可以类似于平滑肌肉瘤,但该肿瘤常含有恶性上皮成分,CK 和 EMA 梭形细胞癌通常为弥漫阳性表达。
预后:
预后差,5 年和 10 年疾病特定存活率分别为 47%和 35%。患者年龄较大、肿瘤级别较高以及临床分期较高者预后更差。
治疗:
局限性肿瘤行根治性膀胱切除并保证阴性切缘;存在远处转移者术后可行放疗;对于较大的不可切除的肿瘤可在术前联合应用化疗和放疗以提高手术的可能性。
病例报道: