深部软组织平滑肌肉瘤
Leiomyosarcoma of Deep Soft tissue
概述:
软组织肉瘤主要或完全显示平滑肌分化。通常来说,软组织的平滑肌肿瘤(除外激素相关的平滑肌肿瘤)伴有核异型性和任何比例的核分裂象均考虑为平滑肌肉瘤,某些肿瘤可能含有分化的平滑肌成分以及未分化成分,称之为去分化平滑肌肉瘤。
发病部位: 盆腔、腹膜后、腹腔,四肢、躯干,睾丸旁、肺、胃肠道、膀胱、前列腺、卵巢、头颈部和骨等处
诊断要点:
多发生于中老年患者,绝大多数病例发生于盆腔腹膜后或腹腔,少数病例位于四肢和躯干;
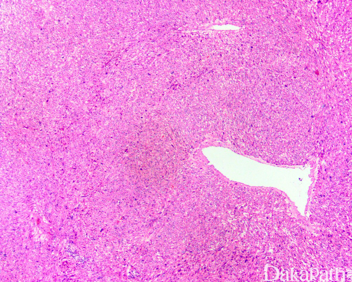
高分化及中分化平滑肌肉瘤:
主要由平行束状或编织排列的嗜伊红色梭形细胞组成;
瘤细胞的胞质丰富,深嗜伊红色,核居中,核两端平钝或呈雪茄样,局部区域可见散在核深染,形状不规则的瘤巨细胞;
部分瘤细胞核的一端可见空泡,常形成凹陷性压迹;
少数病例部分区域细胞核呈栅栏状排列,类似神经鞘瘤;
核分裂像多少不等,常 ≥5/10HPF,;
部分病例间质血管丰富,并常见瘤细胞围绕血管生长,呈血管外皮瘤样排列;
常见凝固性坏死;
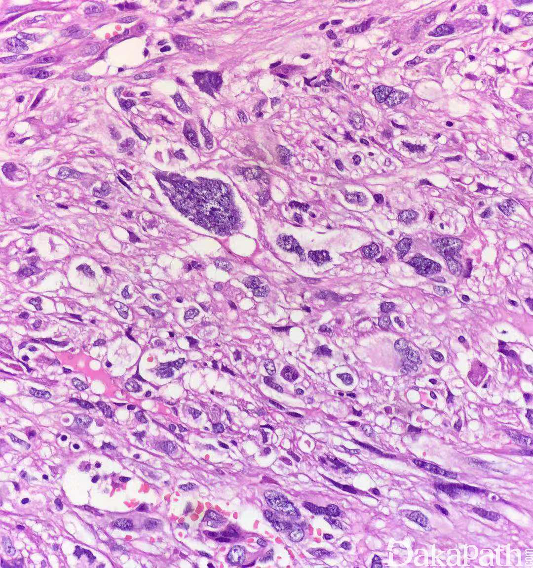
低分化平滑肌肉瘤:
瘤细胞显示明显的多形性和异型性,核大、深染,常见多核瘤巨细胞,核分裂像易见,可见病理性核分裂像;
瘤细胞的胞质呈程度不等的嗜伊红色,但比高-中分化者弱;
部分病例可见多少不等的上皮样区域(上皮样平滑肌肉瘤);
少数病例肿瘤内可见较多散在破骨样多核巨细胞,可称为富于破骨样多核巨细胞的平滑肌肉瘤;
部分病例在典型的平滑肌肉瘤背景中出现部分区域细胞具明显的多形性,可称多形性平滑肌肉瘤;
个别病例可呈横纹肌样形态,细胞核大、偏位,染色质呈空泡状,可见明显的核仁,可称为具有横纹肌样形态的平滑肌肉瘤;
少数平滑肌肉瘤可见明显的淋巴细胞浸润,称之为炎症性平滑肌肉瘤,主要发生于后腹膜,需要与炎性肌纤维母细胞肿瘤鉴别。
少数可伴有异源性分化,最常见为骨肉瘤分化。

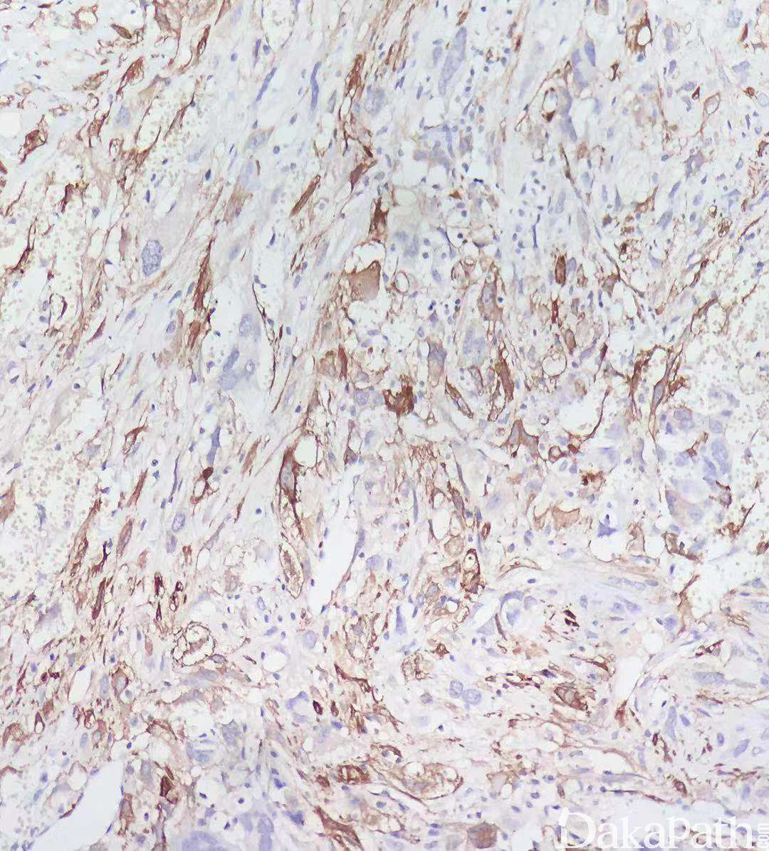
免疫组织化学染色:
α-SMA、MSA(HHF3 5)、h-caldesmon 和 calponin、P16 弥漫强阳性,多数病例 desmin 阳性,半数左右可表达 CD34(通常比较局灶),少数病例可表达 S100 和 EMA,CDK4 和 MDM2. HMB45. CD117 等阴性。
分子标记:
复杂核型,无 MDM2 基因扩增
鉴别诊断:
胃肠道间质瘤
预后:
取决于肿瘤的分化程度核部位,位于真皮者很少转移,发生于皮下和后腹膜者 20-33%出现远处转移。
治疗:
扩大切除并随访。目前尚无特异性的靶向药物。
参考文献:
Miettinen M, et al. Tumors of the soft tissues. AFIP atlas of tumor pathology series 4. American Register of Pathology, Silver Spring, Maryland,2014.