葡萄状横纹肌肉瘤
Botryoid Rhabdomyosarcoma
概述:
胚胎性横纹肌肉瘤的一种特殊亚型,多见被覆黏膜的空腔器官,约占横纹肌肉瘤的 6%。
发病部位: 主要发生于被覆黏膜的空腔器官,特别是泌尿生殖道和呼吸道,如鼻腔、鼻咽、膀胱、宫颈和阴道,也可见于外耳道、胆道和眼结膜等处
诊断要点:
- 好发于 5 岁以下的婴幼儿,平均年龄为 1.8 岁,偶可发生于年轻妇女,甚至是绝经后的患者,少数病例可发生于妊娠;
- 主要发生于被覆黏膜的空腔器官,特别是泌尿生殖道和呼吸道;
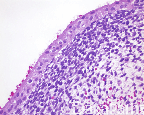
- 肿瘤位于黏膜下,表面黏膜上皮完整,也可增生或有溃疡形成;
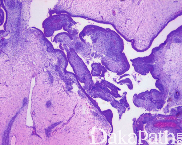
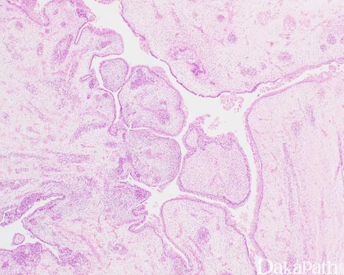
- 低倍镜下呈宽乳头状或分叶状;
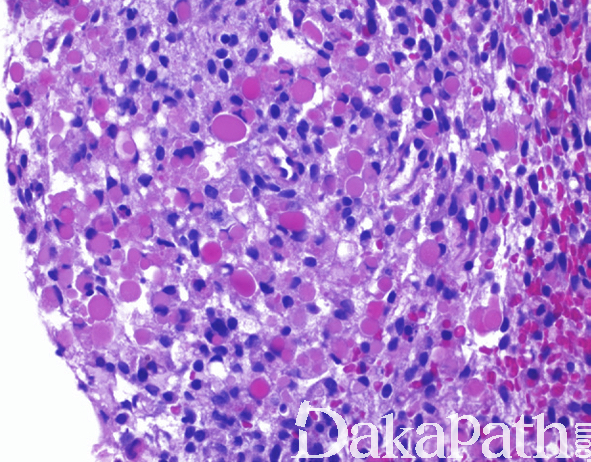
- 在紧靠黏膜上皮的下方由深染密集的瘤细胞形成一宽带状区域,数层至十数层,称为“形成层”;
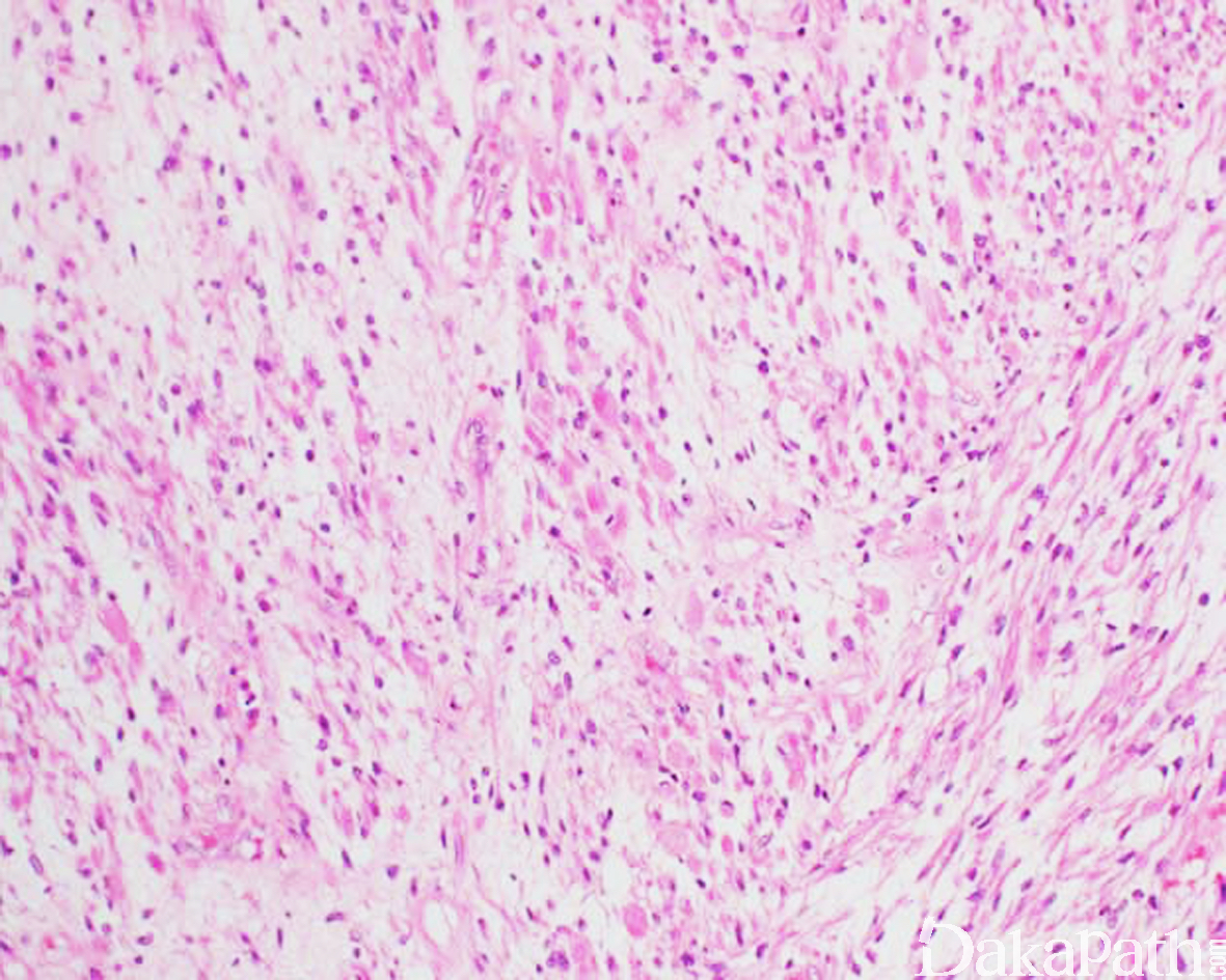
- 形成层以下为黏液样区域,间质疏松、黏液水肿样,内有散在的分化程度不一的梭形、卵圆形或圆形横纹肌母细胞,可见核分裂像;
- 当伴有感染时,间质内可见大量的急慢性炎症细胞浸润,有时可掩盖瘤细胞,导致漏诊。

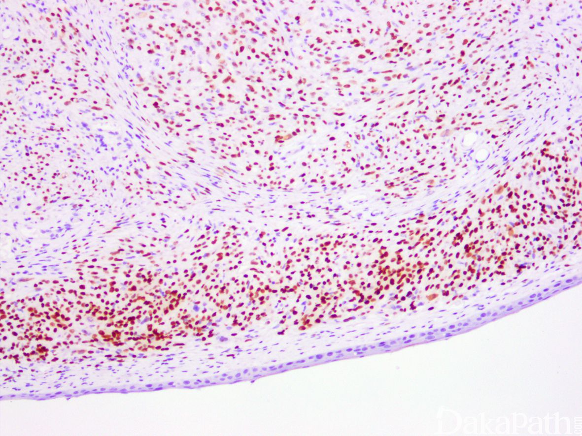
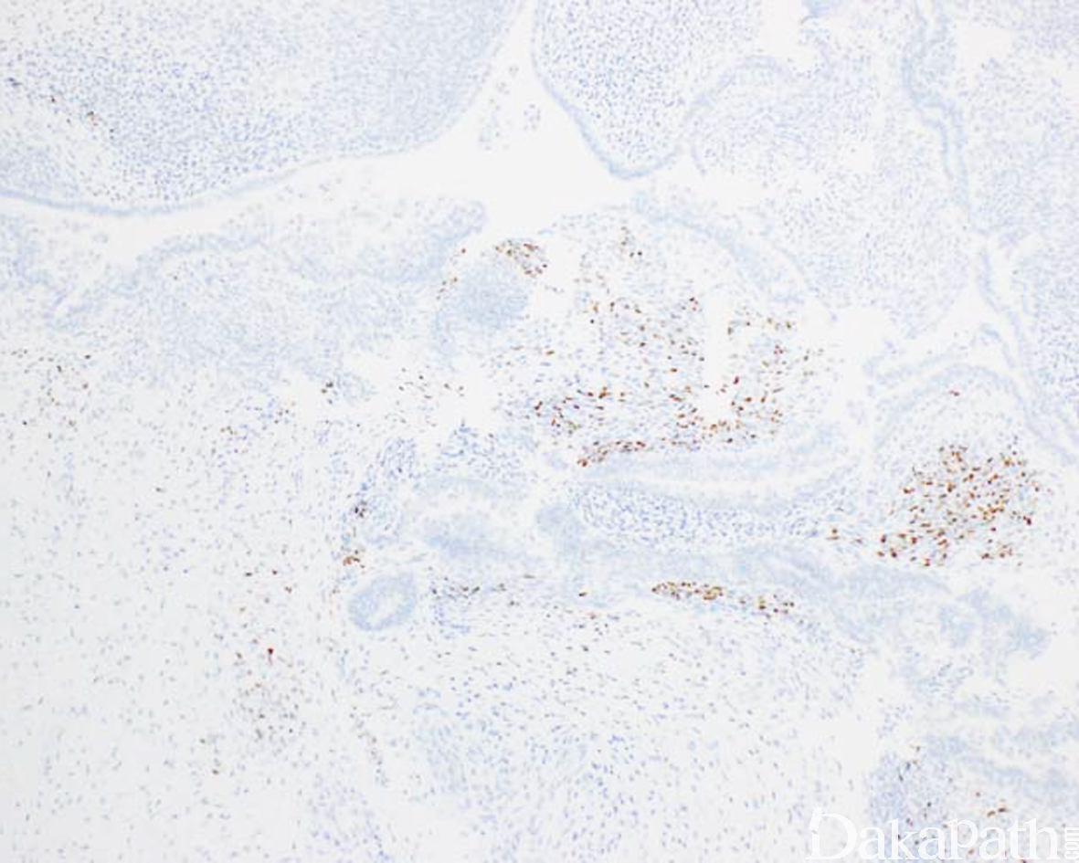
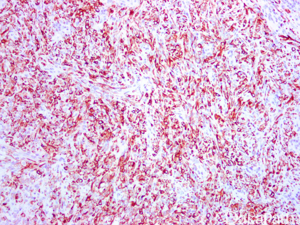
免疫组织化学染色:
desmin、MyoD 1 和 myogenin 常阳性。
分子标记:
无
鉴别诊断:
- 非典型性纤维性息肉 :无特征性的“形成层"结构,免疫组化标记多数表达 KP-1,而 desmin、myogenin、myo-D1 等肌源性标记多为阴性。
- 生殖道横纹肌瘤 :多发生在中青年妇女;镜下横纹肌母细胞多为梭形或带状,易找见横纹,瘤细胞无异型性,也无核分裂像,也无“形成层”。
- 黏液瘤 :几乎不发生于婴幼儿,也不位于空腔内脏器官,免疫组织化学染色 desmin、myogenin、myo-D1 等肌源性标记为阴性。
- 器官相关性假肉瘤样肌纤维母细胞增生 :好发于膀胱,患者多为青年人;镜下主要由纤细的梭形纤维母细胞或肌纤维母细胞组成;病变内不见生发层结构,免疫组化标记示梭形细胞常表达 AE 1/AE3,部分表达 actins,偶可表达 ALK1,而 desmin 多为阴性,不表达 myogenin。
治疗:
主要是通过手术切除,化疗(VCR+ADM±XRT)也有一定的疗效。
病例报道:
Botryoid-type of embryonal rhabdomyosarcoma of renal pelvis in a young woman.
Kaabneh A, Lang Ch, Eichel R, Arafat W, Alloussi S.
Urol Ann. 2014 Jan;6(1):81-4. doi: 10.4103/0974-7796.127023. 参考文献:
Li R F , Gupta M , Mccluggage W G , et al. Embryonal Rhabdomyosarcoma (Botryoid Type) of the Uterine Corpus and Cervix in Adult Women[J]. The American Journal of Surgical Pathology, 2013, 37(3):344-355.
← 鼻腔软骨间叶性错构瘤 梭形细胞横纹肌肉瘤 →