Kimura 病
Kimura's Disease
同义词(或曾用名): 木村病,嗜酸性粒细胞增生性淋巴肉芽肿,软组织嗜酸性肉芽肿,嗜酸性淋巴滤泡病,皮肤嗜酸性淋巴滤泡增多症
概述:
Kimura 病,一种病因未明的慢性炎症,亚州中青年男性好发。常表现为头颈部皮下组织、软组织、涎腺肿物,伴有 1 个或多个淋巴结肿大,组织病理学特征为皮下组织内大量淋巴细胞浸润,血管增生和纤维化。外周血嗜酸粒细胞增多和 IgE 水平升高。为自限性疾病,多年后可复发。
发病部位: 头颈部
诊断要点:
- 多见于亚州中青年男性,以头颈部多见。常伴头颈部无痛性肿块伴皮肤瘙痒,可累及皮下组织、软组织、涎腺,伴有 1 个或多个淋巴结肿大,外周血嗜酸粒细胞增多和 IgE 水平升高。
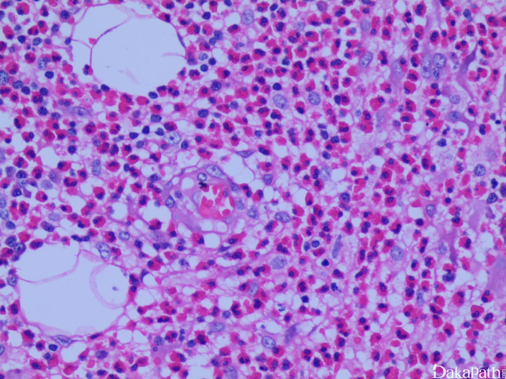
- 镜下以淋巴组织增生为主,旺炽型滤泡增生的背景中有纤细、嗜伊红色的蛋白质沉积物(IgE 以 FDC 网络的形式沉积)和生发中心内血管增生,少数病例内还可见到 Warthin-Finkeldey 型多核细胞及核碎片、间质纤维化;
- 滤泡间区显著的高内皮小静脉增生,伴淋巴细胞、浆细胞、嗜酸粒细胞和肥大细胞浸润;
- 常出现滤泡溶解,生发中心内和副皮质区可出现嗜酸粒细胞脓肿。

鉴别诊断:
1. 血管淋巴组织增生伴嗜酸粒细胞增多: 也常累及颈部淋巴结,很长一段是间被认为是 Kimura 的同义词。与 Kimura 不同,血管淋巴组织增生伴嗜酸粒细胞增多是一种血管源性肿瘤,增生的血管具有丰富嗜酸性胞质的鞋钉样上皮样内皮细胞(组织细胞样内皮细胞)。
2. 淋巴结过敏、超敏反应和寄生虫感染: 这些疾病不具有 Kimura 病的滤泡增生、血管增生、副皮质区与滤泡内的嗜酸性脓肿等特征。
治疗:
对放疗和激素敏感,局限型者也可行手术切除,预后良好。