乳腺囊性高分泌型导管原位癌
Cystic Hypersecretory Ductal Carcinoma In Situ of the Breast
概述:
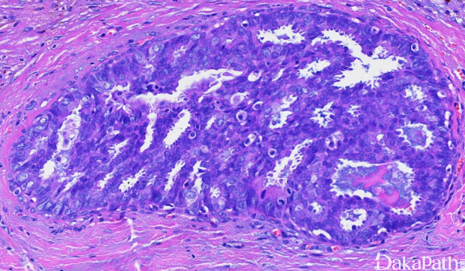
导管原位癌导管囊性扩张,腔内充满嗜酸性分泌物,为原位癌的一种少见亚型,可发展为浸润癌。
发病部位: 乳腺
诊断要点:
导管原位癌背景,常为微乳头型;
导管扩张,囊性,腔内充满嗜酸性分泌物,似甲状腺胶体,周边可有收缩缝隙
细胞顶端可见鞋钉样分泌物,低级别核;
分泌物可外渗浸润间质,但不能认为是浸润;
囊周围基底细胞标记阴性或不连续存在。
ER、PR 表达不定。

鉴别诊断:
浸润性囊性高分泌癌 :囊周围可见浸润灶
参考文献:
Skalova A, Ryska A, Kajo K, et al. Cystic hypersecretory carcinoma: rare and poorly recognized variant of intraductal carcinoma of the breast. Report of five cases. Histopathology. 2005 Jan;46(1):43-9. Sahoo N, Mishra P, Patra S, Sasmal PK. Invasive Cystic Hypersecretory Carcinoma of Breast: A Rare and Under Diagnosed Variant of Ductal Carcinoma. J Clin Diagn Res. 2017 Jun;11(6):ED16-ED17. doi: 10.7860/JCDR/2017/27937.10098. Epub 2017 Jun 1.