乳腺 Paget 病
Paget Disease of the Breast
同义词(或曾用名): 导管原位癌累及乳头皮肤
概述:
由于导管原位癌累及乳头皮肤造成的一种不常见的乳头皮肤脱屑、结痂表现,约 50%的病例伴有乳腺深部组织的浸润性癌。
发病部位: 乳头皮肤
诊断要点:
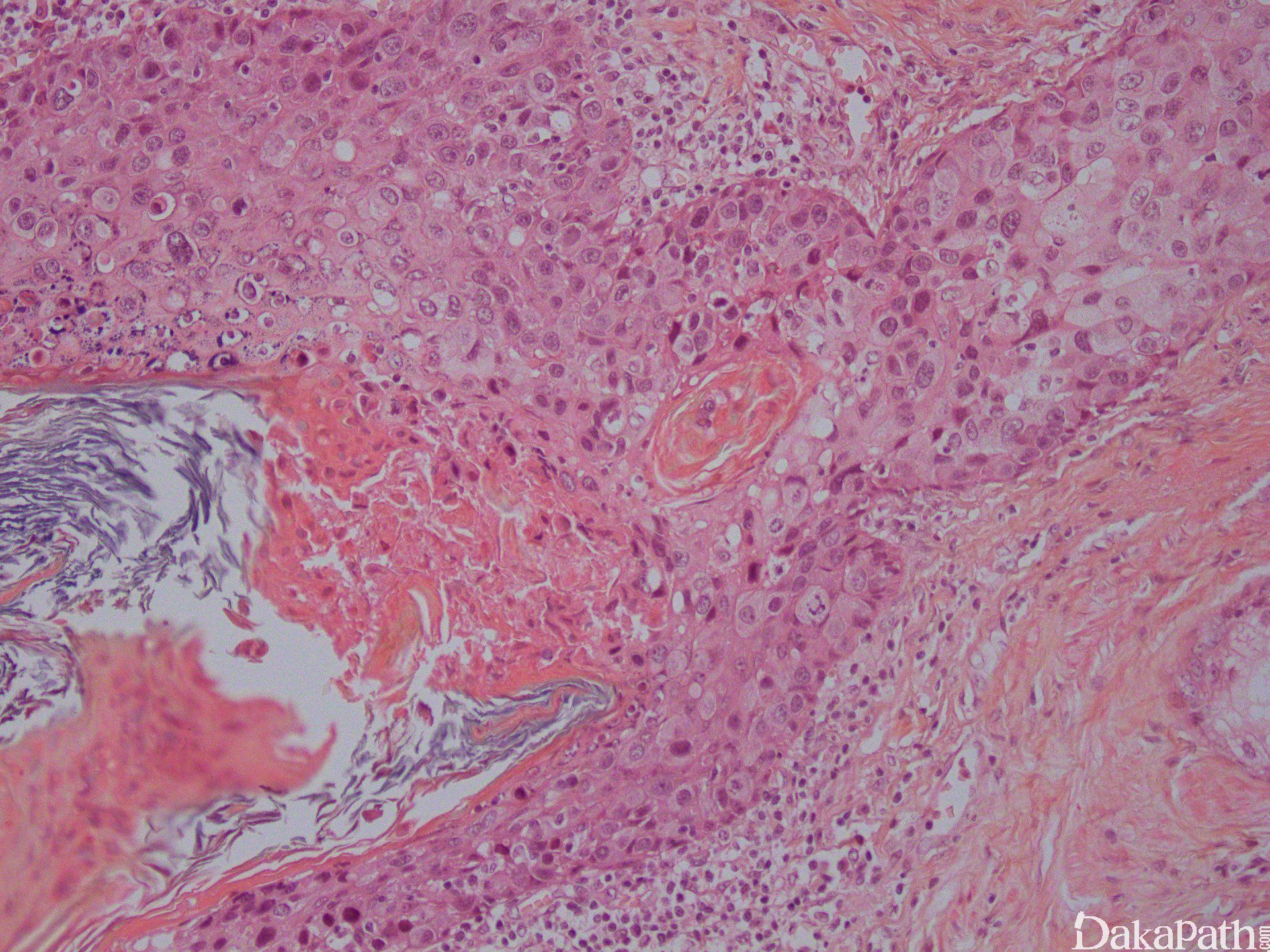
乳头皮肤表皮内可见大的异型细胞;
大细胞可单个散在或小灶分布于表皮内;
胞浆丰富,淡染、透明或嗜双色性,核大,核仁明显,与周围细胞明显不同;
表皮增生、角化亢进、角化不全常见;
真皮可见淋巴浆细胞浸润;
CK7 免疫组织化学染色阳性,S100 蛋白阴性;
几乎所有的病例均伴有导管原位癌或浸润性导管癌。

免疫组织化学染色:
- 低分子量细胞角蛋白(CK7. CAM5.2 等)在大于 90%的病例阳性表达:有助于和鳞状细胞癌及黑色素瘤的鉴别; 2. 高分子量细胞角蛋白(CK5/6 等)阴性:有助于和鳞状细胞鉴别(鳞状细胞阳性); 3. 在大约 80%的病例 HER-2 阳性:有助于和 Toker 细胞鉴别; 4. 在大约 50%的病例 CEA 阳性:有助于和鳞状细胞癌及黑色素细胞鉴别; 5. 在大约 90%的病例 EMA 阳性:有助于和黑色素瘤鉴别; 6. 黑色素细胞标记(Melan-A, HMB45 等)阴性:有助于和黑色素瘤鉴别; 7. ER、PR 大部分病例阴性:典型的 Toker 细胞是阳性的。
鉴别诊断:
**佩吉特样鳞状细胞原位癌/鲍温氏病:
**
佩吉特样鳞状细胞原位癌异型细胞可有角化,Paget 病肿瘤细胞无角化现象;
佩吉特样鳞状细胞原位癌异型细胞与周围角化细胞混杂一起,不像 Paget 病肿瘤细胞与周围细胞明显差异;
Paget 病肿瘤细胞可含黏液或形成小腺腔,佩吉特样鳞状细胞原位癌异型细胞不具此特点;
佩吉特样鳞状细胞原位癌异型细胞 CK7 阴性,P63 阳性,Paget 病相反。
**Toker 细胞和 Toker 细胞增生:
**
Toker 细胞是存在于乳头表皮内的正常细胞,最常见于导管开口附近;
不会造成 Paget 病的乳头脱屑、结痂等表现;
细胞呈良性表现:细胞有温和的小核,核仁不明显,可以单个细胞、小灶状或小管状存在;
低分子量细胞角蛋白、ER、EMA 可以阳性,不表达 HER-2,很少表达 CEA 或粘液;
Toker 细胞增生是细胞数量增多,可以有细胞的不典型性,通常是偶然发现,有人认为是罕见 Paget 病的前驱病变。
**黑色素瘤:
**
黑色素瘤累及乳头非常罕见,色素型 Paget 病可以类似褐色素细胞病变;
褐色素瘤细胞常常在表皮真皮交界处呈巢表现,在整个表皮内呈“放烟花表现”;
免疫组化有助鉴别。
**癌组织直接累及乳头皮肤:
**
临床可以表现为可触及的乳腺肿物伴有乳头糜烂及湿疹样改变;
乳晕下的癌可以直接累及表皮,常常有溃疡形成;
显微镜下表现明显不同。
预后:
取决于深部乳腺癌的存在及累及的范围,如果只是导管原位癌,则生存率类似于导管原位癌,20 年生存率超过 95%;如果深部为浸润性癌,则生存率取决于浸润性癌的特征即淋巴结转移情况。
治疗:
外科处理取决于深部乳腺癌的存在及累及的范围。