卵巢透明细胞癌
Clear Cell Carcinoma of the Ovary
概述:
由透明、嗜酸及鞋钉样细胞构成的恶性肿瘤,表现为腺囊性、乳头或实性混合结构。
发病部位: 卵巢
诊断要点:
平均发病年龄 55 岁,常单侧发生;
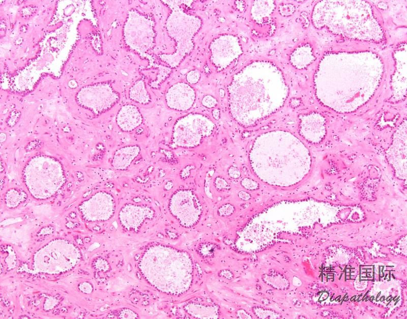
大小不一,平均直径 15cm,肿瘤外观与透明细胞腺纤维瘤相似,切面实性、囊实性或以囊性为主;
由管囊状、乳头状及实性细胞增生构成,少数病例中可见显著的腺纤维瘤成分;
偶尔见显著扩张的囊性结构被覆扁平细胞,给人以良性的错觉;
乳头常小而形态规则,也可见大的乳头,间质玻璃样变性,乳头轴心的透明变性是透明细胞癌的典型特征;
实性区含有丰富透明胞质的多边形细胞呈片状分布,并被纤细的纤维血管间质或致密的纤维间质所分隔;
囊管结构为大小不等的管状和囊性结构,细胞核从乳头、腺管或囊腔突起呈靴钉样外观;
细胞胞质透明或含有颗粒状嗜酸性胞质,细胞核多样,从小圆形、多角形到伴有显著核仁的大而多形性核,核分级可以从轻度到显著异型,即使肿瘤中大多数细胞仅表现为轻度核异型,但总能见到显著核异型的细胞;
核分裂活性较低,仅在 1/4 病例中核分裂像超过 10 个/10HPF。
可混有浆液性和黏液性肿瘤成分;
肿瘤中可见多少不等的坏死、出血和间质淋巴细胞浸润;
偶见黄素化的间质细胞和砂粒体样钙化;
可伴有子宫内膜异位。

免疫组织化学染色:
Keratin、Leu-M1. Napsin A 、CK7. CAM5.2. EMA、CD15. PAX-8. MUC1/HNF1β 常阳性; AFP、WT1. ER、GPC3. CK20. p53. CD10(20%+)、ER、PR 常阴性。
鉴别诊断:
卵黄囊瘤(SYT):
卵黄囊瘤常发生于年轻患者,YST 患者血清 AFP 水平升高,而透明细胞癌发病于中老年,无 AFP 水平升高;
透明细胞癌的乳头状结构更复杂且含有透明变性的轴心,可与具有乳头样结构的 YST 相鉴别;
YST 具有许多透明细胞癌没有的特点,包括特征性 Schiller-Duvall 小体和网状结构等;
免疫组化染色:透明细胞癌 LeuM1 阳性和 AFP 阴性与 YST 相反;CK7 和 EMA 同时阳性则可排除 YST。
无性细胞瘤 :
无性细胞瘤缺乏透明细胞癌常见的腺囊型和乳头状结构,细胞核更原始;
透明细胞癌缺乏无性细胞瘤常见的间质慢性炎症和肉芽肿;
EMA 阳性和细胞角蛋白弥漫强阳性有助于排除无性细胞瘤。
浆液性肿瘤:
低-中度细胞核级别的乳头型透明细胞癌可类似浆液性肿瘤: WT1 和 ER 联合应用有助于鉴别诊断,浆液性肿瘤中这两个标记物均为阳性,而透明细胞癌常为阴性;
腺囊型和乳头型结构对透明细胞癌更具特征性,即使肿瘤细胞的胞质不透明,具备上述经典结构也可以诊断为透明细胞癌。与浆液性癌相比,透明细胞癌的乳头结构更纤细、间质透明变性更常见,而浆液性癌中出现局灶肿瘤细胞胞质透明者也并不少见,如果缺乏透明细胞癌中经典的乳头状结构和腺囊状结构时,则不应诊断为透明细胞癌;
高级别浆液性癌 WT1. ER 通常阳性,HNF-1β 阴性,而透明细胞癌中 WT1. ER 通常阴性,HNF-1β 阳性。