子宫内膜去分化癌

Endometrial Dedifferentiated Carcinoma

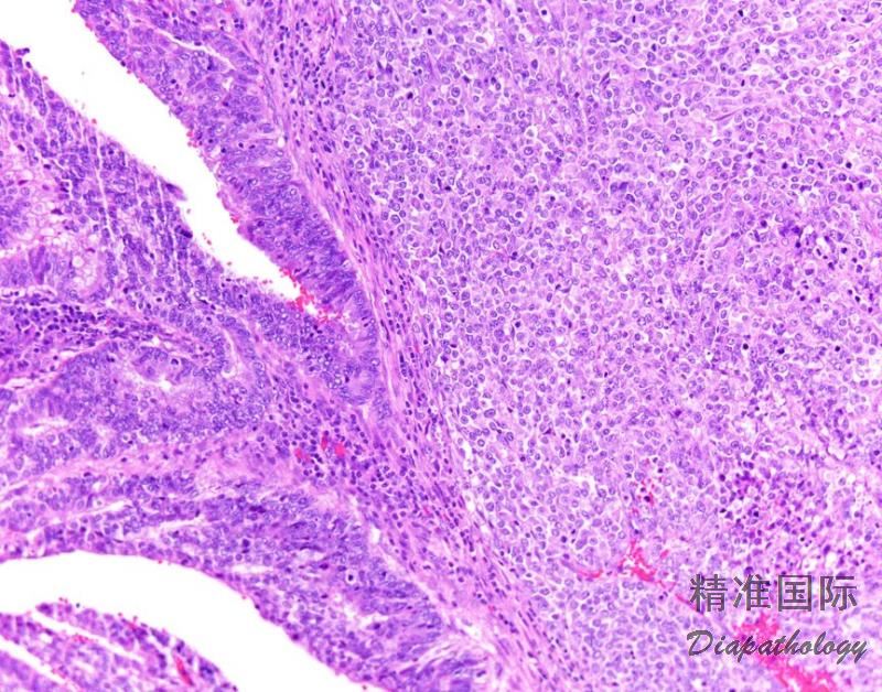
概述:

在未分化癌的背景上出现 FIGO 1 级或 2 级子宫内膜样癌成分。

发病部位: 子宫

诊断要点:

  1. 多数病例形成宫腔内大的息肉样肿块;

  2. 未分化癌成分等同于未分化癌:

  3. 肿瘤细胞成片排列,没有明显的巢状或小梁状结构或腺腔形成;;

  4. 肿瘤细胞黏附性差,小到中等大小,形态一致,类似高级别子宫内膜间质肉瘤、小细胞癌或浆细胞瘤,少数病例可见核多形性;

  5. 细胞核深染,分裂像易见,大多数病例核分裂像>25/10HPF;

  6. 在未分化癌背景上出现第二种成分,表现为 FIGO 1 级或 2 级子宫内膜样癌结构。

鉴别诊断:

未分化癌:缺乏 FIGO1 级或 2 级子宫内膜癌成分可与去分化癌鉴别。

预后:

该肿瘤具有高度侵袭性,几乎总是致死。