子宫内膜透明细胞癌
Endometrial Clear Cell Carcinoma
同义词(或曾用名): 透明细胞腺癌
概述:
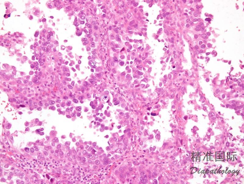
由胞浆透亮或嗜酸性,最少局部具有高级别核的多角形或鞋钉样细胞呈实性、乳头状或管状排列的肿瘤,属于 II 型子宫内膜癌。
发病部位: 子宫
诊断要点:
多见于绝经后老年妇女;
肿瘤呈实性、乳头状、管状和囊状结构,各种结构比例变化很大,可以以一种结构为主;
实性结构常由大量透明细胞混杂嗜酸性细胞组成,而乳头状、管状和囊状结构主要由鞋钉样细胞组成(核大,突出于腺腔),其间散在透明和嗜酸性细胞;囊状结构常衬覆扁平细胞;
细胞异型性、多形性不一致,但最少有部分细胞为高级别核,表现为细胞核大,明显多形性,多数病例核分裂像多见,并可见病理性核分裂像;
近 2/3 病例可见 PAS 阳性且耐淀粉酶消化的细胞内和细胞间透明小体,类似于卵黄囊瘤中的透明小体;
肿瘤内乳头状区域可有砂粒体。

免疫组织化学染色:
- 表达广谱 CK、CK7, EMA、 2. CA-125. BerEP4. B72.3 和 vimentin,CK20 和 WT1 常为阴性, CEA 阴性或弱阳性, ER、PR 常阴性。 3. napsinA 和 HNF-1beta 是最新的比较好的标志物,可以用来鉴别透明细胞癌跟子宫内膜样癌和浆液性癌。
鉴别诊断: