子宫内膜巨细胞癌

Endometrial Giant Cell Carcinoma

同义词(或曾用名): 高级别子宫内膜癌伴有巨细胞成分。

发病部位: 子宫

诊断要点:

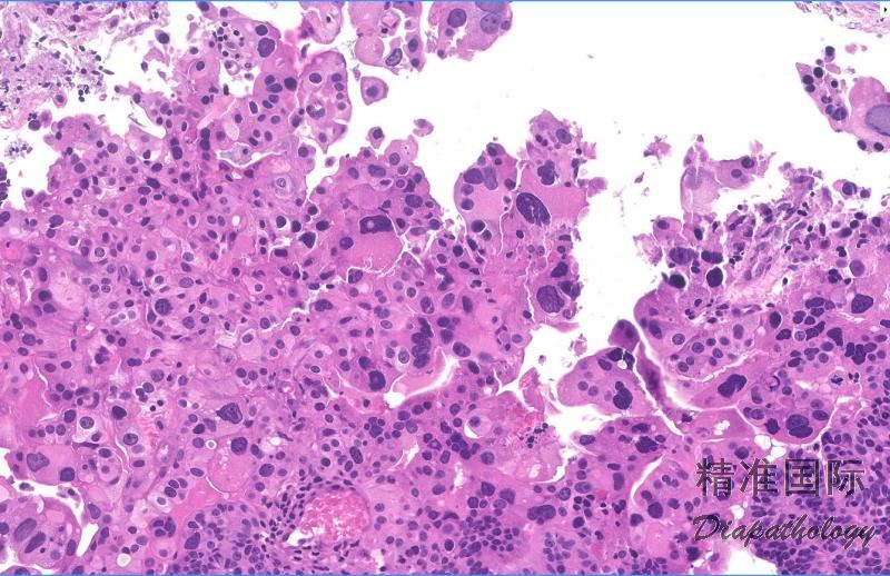
  1. 由大的怪异的多形性细胞呈片状或巢状增生,细胞间黏附差;

  2. 细胞可多核,也可单核,与破骨样细胞不同,大细胞呈束状排列而非均匀分布;

  3. 常与子宫内样癌同时存在,也可合并其他高级别癌;

  4. 间质及肿瘤内常见淋巴细胞、浆细胞、嗜酸细胞及中性粒细胞浸润;

  5. 巨细胞成分表达 CK 和 EMA;vimentin、desmin 和 SMA 阴性。