子宫内膜浆液性癌
Endometrial Serous Carcinoma
同义词(或曾用名): 浆液性腺癌、乳头状浆液性癌、子宫内膜 II 型肿瘤
概述:
具有复杂乳头结构和/或腺样结构,细胞弥漫显著核异型的上皮性肿瘤
发病部位: 子宫
诊断要点:
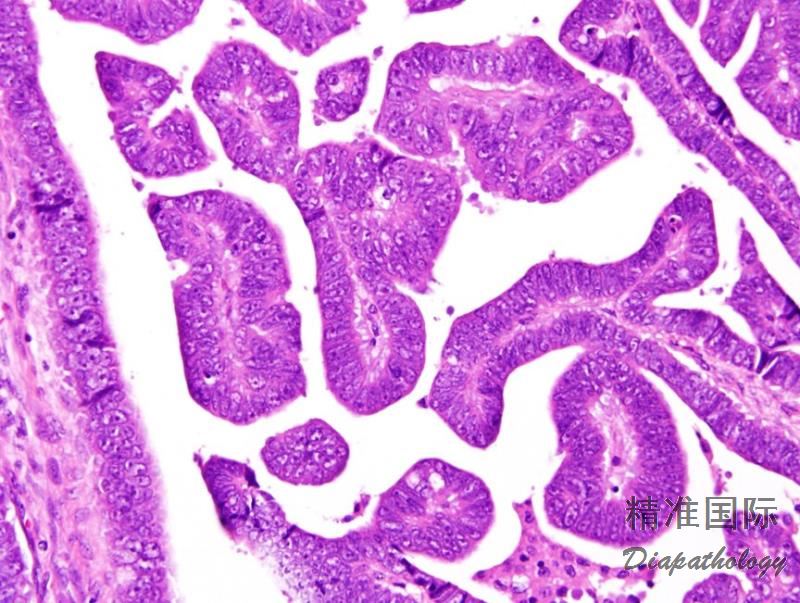
约占 占子宫内膜癌 10%,常发生于绝经后;肿瘤常外生性生长,呈息肉样;
结构变化多样,以乳头状结构为主,但也可见腺样结构和实性结构;
浆液性癌具有组织学结构和核异型性不一致的特征:结构上呈高分化(乳头状或腺样结构),而核形态为高级别(3 级核);
乳头状结构常粗而短,但一半以上病例存在细长乳头,腺管状结构可呈虾钳样不规则,细胞可呈出芽状或袢状增生,易与乳头或腺管壁脱离呈游离细胞簇;
细胞学形态非常不一致,胞质丰富,常见嗜酸性颗粒状胞质和透明胞质的多角形细胞,但靴钉样细胞更常见。
多数细胞总是高度核异型(为浆液性癌诊断必要条件),核仁突出,而另一些细胞则较小,形态相对温和;半数病例具有多核、巨核和奇异形核,也常见到伴有污浊染色质的分叶状核;
核分裂活性高,易见异常核分裂像;
1/3 病例可见砂粒体;
部分病例可合并浆液性原位癌;
周围子宫内膜一般呈萎缩改变。

免疫组织化学染色:
常表达 CK、EMA、CA-125. BerEP4. B72.3. CK7 和 Vimentin;多数病例 p53 过表达(>75%肿瘤细胞核强阳性);Ki-67 标记指数常>75%;p16 弥漫强阳性是浆液性癌的特征;少数病例表达 WT1。通常不表达 CK20,CEA 阴性或局灶阳性。
鉴别诊断:
1. 绒毛腺管状癌: 以细长乳头状结构为特征,无复杂分支,细胞呈柱状,似子宫内膜样癌,无增生的细胞簇。
2. 子宫内膜样癌 :子宫内膜样癌腺的腔缘光滑,细胞呈柱状,高表达 ER、PR,P53 阴性(3 级子宫内膜样癌除外)等可与浆液性癌鉴别。