儿童囊性肾瘤
Paediatric Cystic Adenoma
概述:
发生于幼儿,完全由含多房囊性囊肿构成的肿瘤,间质只有纤维组织及分化成熟的小管。
发病部位: 肾脏
诊断要点:
绝大多数发生于 4 岁以下婴幼儿,大多数 24 个月以内,大多数发生于男婴,肿瘤通常较大,平均直径 9cm;
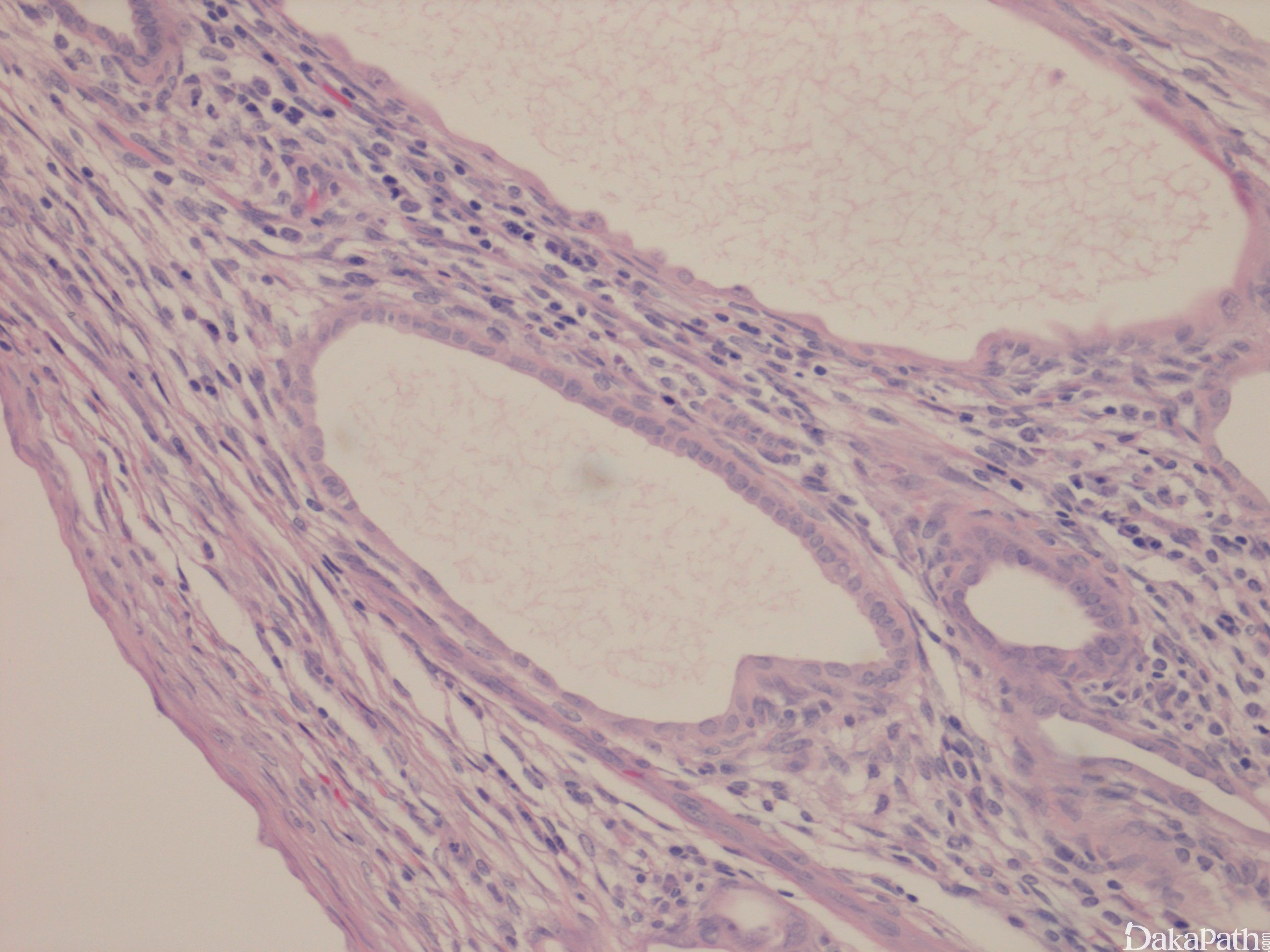
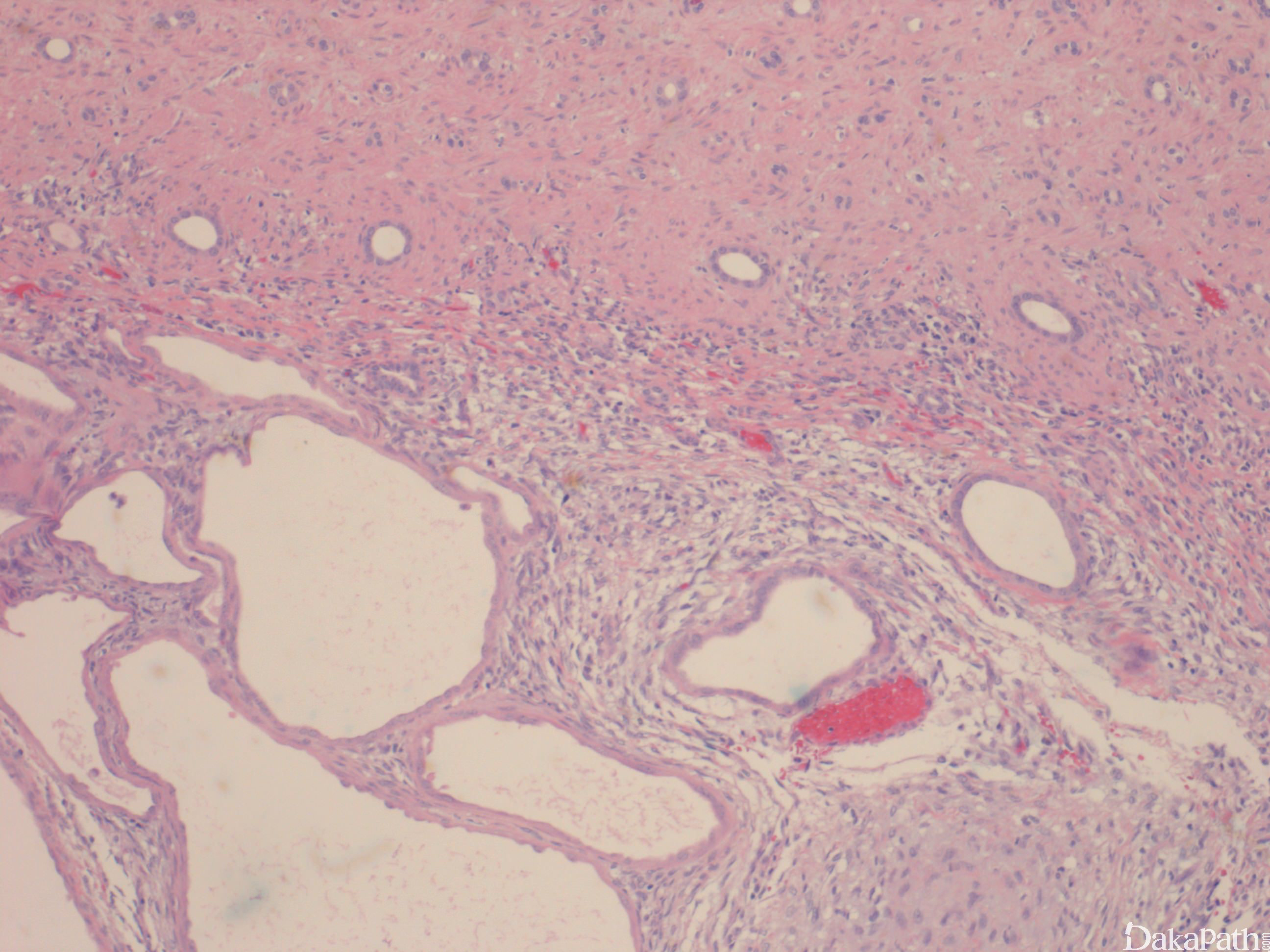
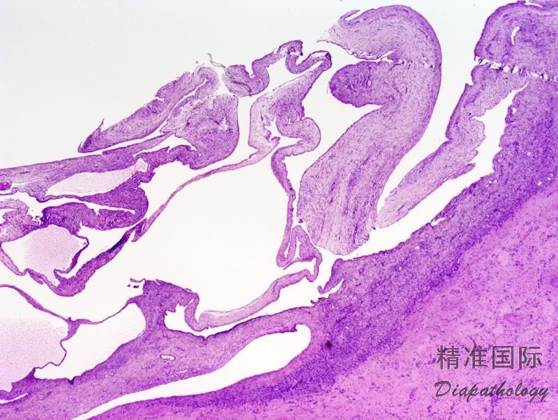
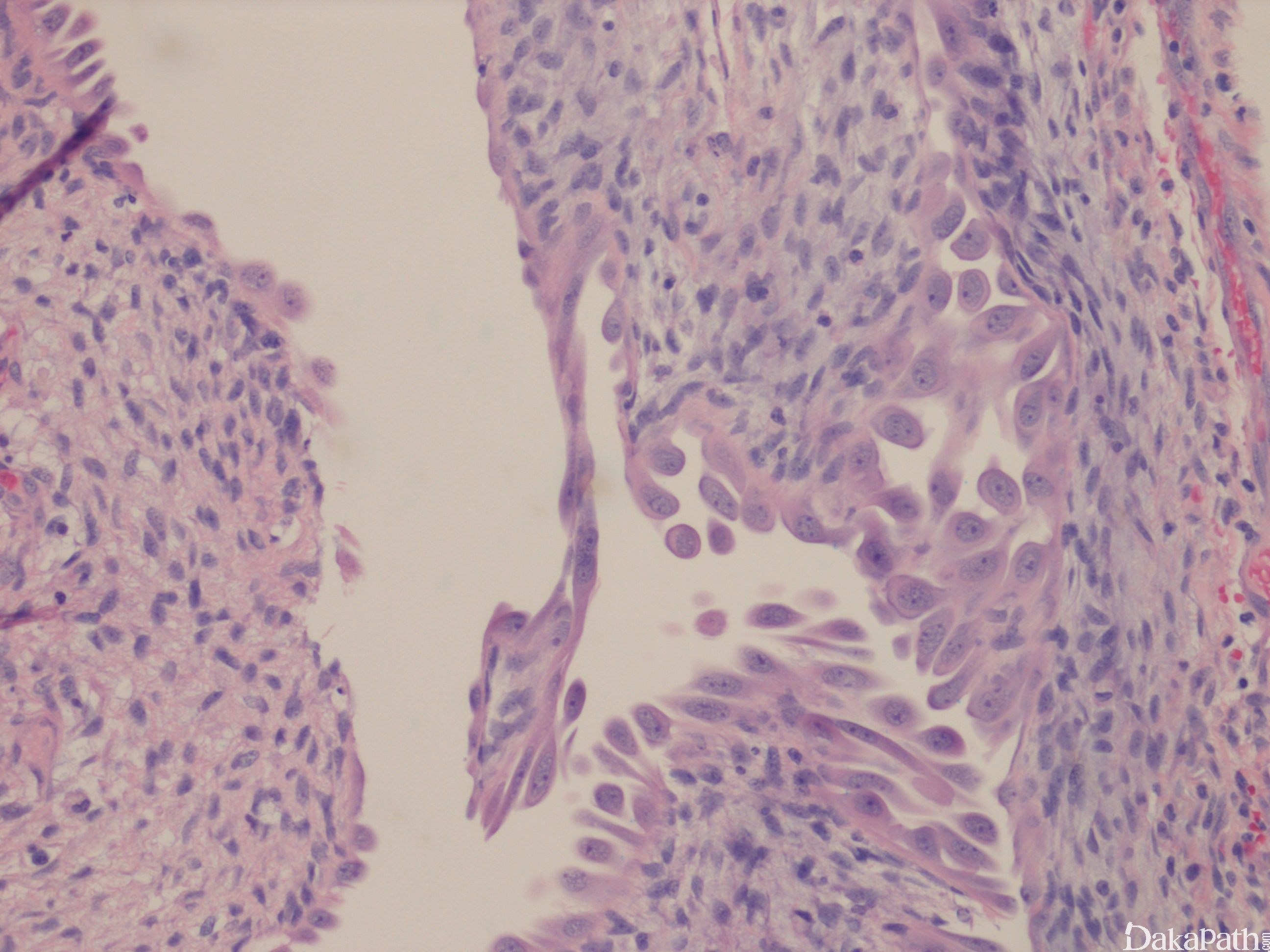
肿瘤界限清楚,完全由大小不等的囊肿组成,囊肿间隔薄,无膨胀的实性结节形成,大体上常临近或凸入肾盂肾盏内;
囊肿内衬扁平、立方或鞋钉样上皮细胞,或上皮脱落;
间质由纤维组织构成,可见波浪形、绳索样胶原,常见较多炎症细胞浸润,可伴局灶细胞致密区及分化成熟的小管;
无未分化间叶性成分,如有,则诊断为囊性部分分化性肾母细胞瘤;

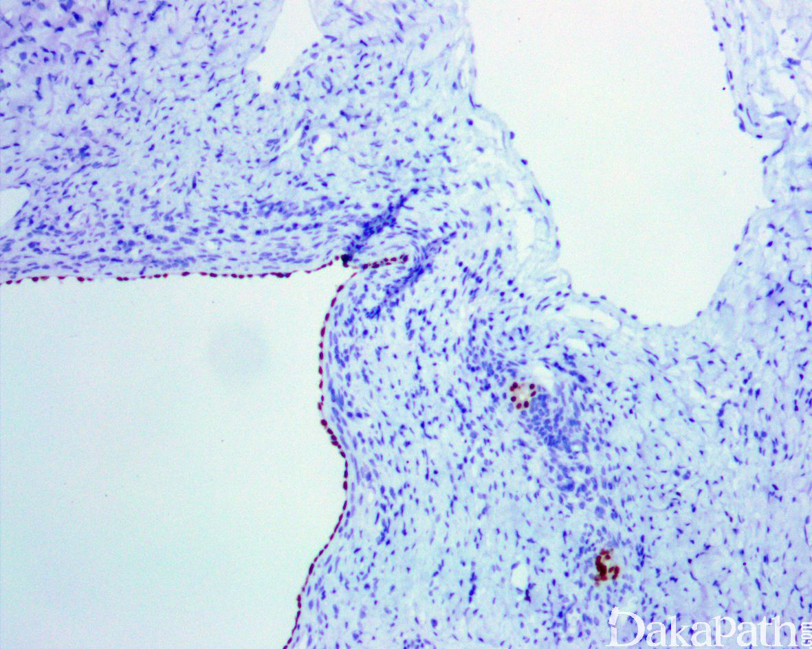
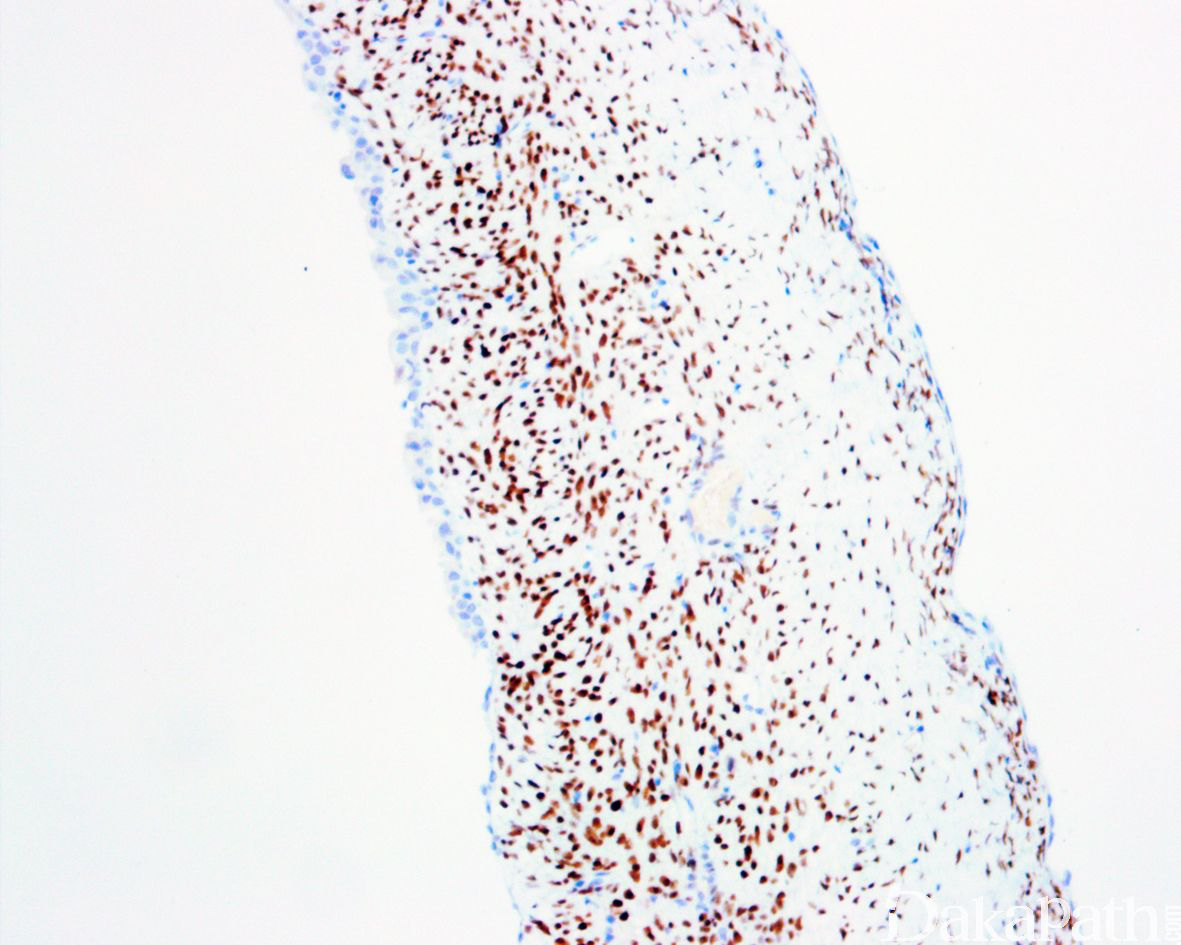
免疫组织化学染色:
上皮 PAX8 阳性,间质细胞 ER 阳性,Inhibin 阴性。
分子标记:
大多数儿童囊性肾瘤存在 DICER1 基因突变。家族性儿童囊性肾瘤常伴有胸膜肺母细胞瘤,与 DICER1 基因胚系突变相关,属于 DICER1 综合征谱系
鉴别诊断:
囊性部分分化性肾母细胞瘤 和囊性肾母细胞瘤:可见未分化间叶成分和/或实性膨胀性结节,无 DICER1 基因突变。
成人囊性肾瘤:属于混合性上皮间质肿瘤家族,几乎总是发生于围绝经期周围女性,间质细胞除了表达 ER 和 PR 之外常见表达 Inhibin,无 DICER1 基因突变。
囊性肾发育不良:通常双侧多发
治疗:
完整切除。
病例报道:
参考文献:
Li Y,Pawel BR,Hill DA,Epstein JI,Argani P. Pediatric Cystic Nephroma Is Morphologically, Immunohistochemically, and Genetically Distinct From Adult Cystic Nephroma.American Journal of Surgical Pathology;Volume 41, April 2017, Issue 4:472-481.