肾脏横纹肌肉瘤
Renal Rhabdomyosarcoma
概述:
发生于肾脏的显示不同分化程度的横纹肌源性肉瘤。
发病部位: 肾脏
诊断要点:
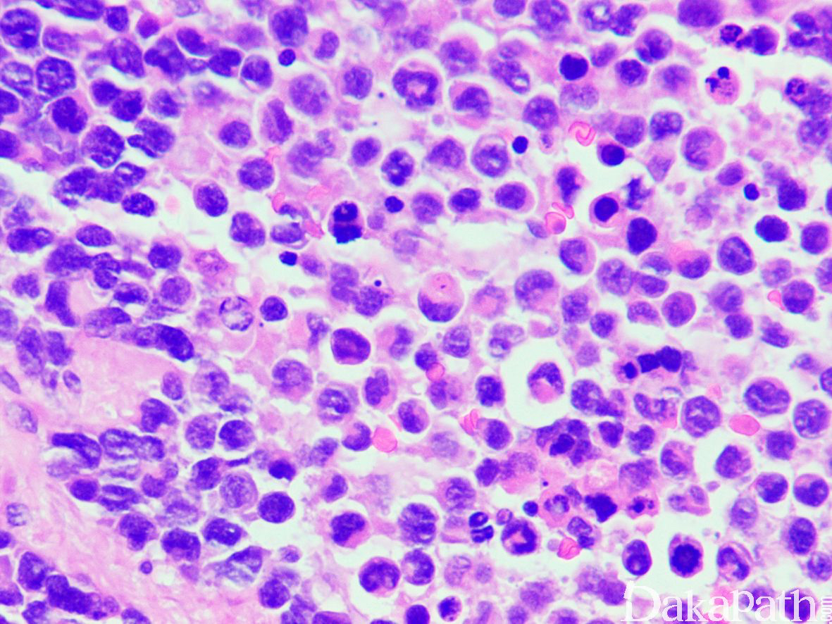
- 非常罕见,目前< 20 例报道,主要见于儿童;
- 形态学等同于其它部位横纹肌肉瘤,分为胚胎性横纹肌肉瘤、腺泡性横纹肌肉瘤、多形性横纹肌肉瘤、梭形细胞/硬化性横纹肌肉瘤等,以胚胎性横纹肌肉瘤最常见,常伴有间变。

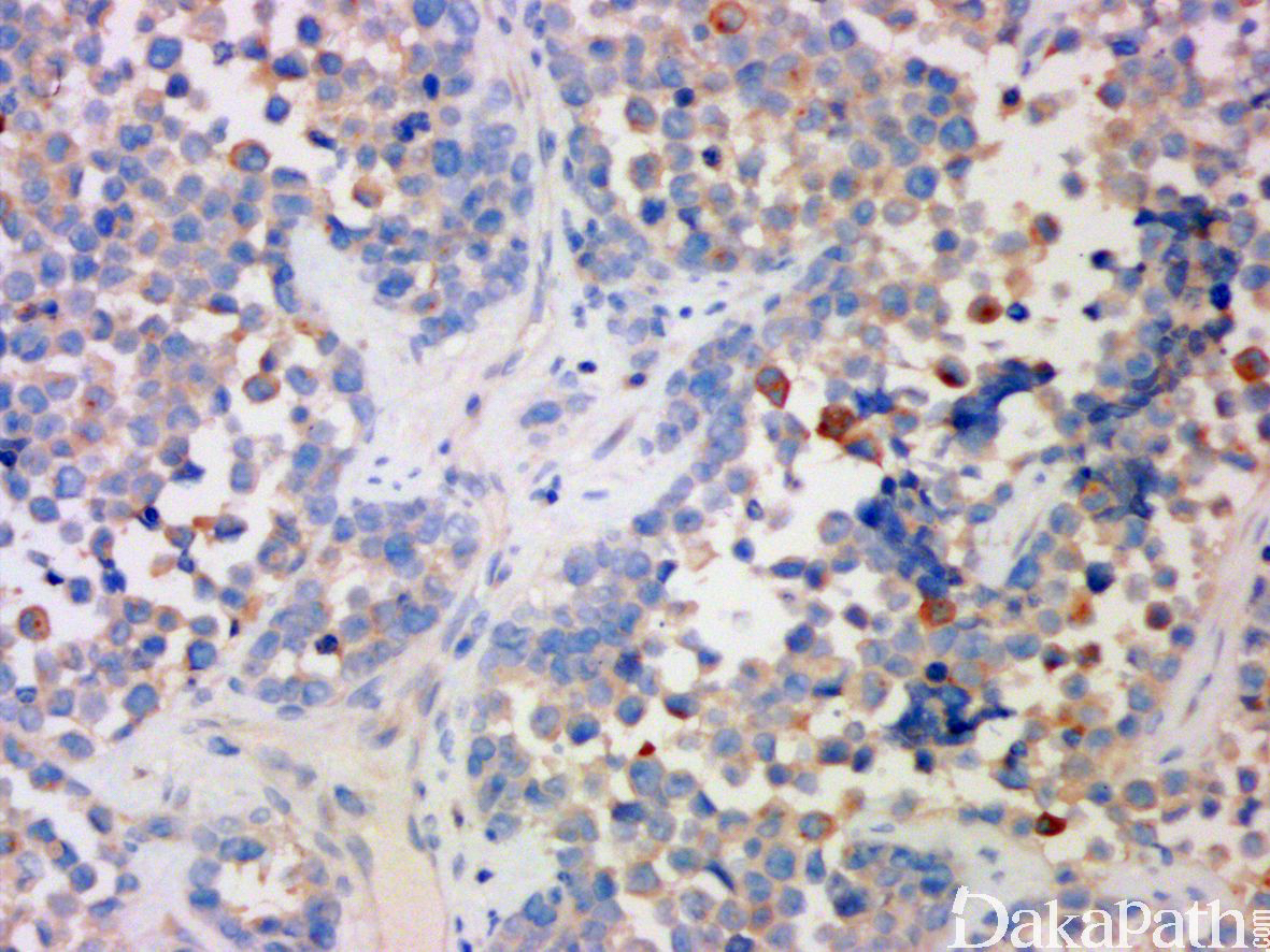
免疫组织化学染色:
显示瘤细胞核 myogenin、MyoD1. Desmin、HHF35 阳性,部分病例(腺泡状横纹肌肉瘤)可局灶表达 CK 和神经内分泌标记。
分子标记:
与软组织横纹肌肉瘤相似
鉴别诊断:
肾母细胞瘤伴异源性横纹肌肉瘤:诊断肾脏的儿童横纹肌肉瘤之前需要广泛取材并仔细查找是否存在肾母细胞瘤成分,包括原始小管、胚芽等,免疫组化染色核表达 WT1。
肉瘤样尿路上皮癌或肾细胞癌伴异源性横纹肌肉瘤分化:诊断成人肾脏横纹肌肉瘤之前需要广泛取材查找是否存在尿路上皮癌或肾细胞癌成分,免疫组化染色 GATA3 和 P63 以及 PAX8 可帮助识别。
预后:
预后差,临床进程凶险
治疗:
根治性肾脏切除并辅助放化疗
病例报道: