乳腺伴大汗腺分化的癌
Breast Carcinoma With Apocrine Differentiation
同义词(或曾用名): 乳腺大汗腺癌、乳腺汗腺癌、浸润性大汗腺癌
概述:
乳腺癌中 90%以上细胞具有大汗腺细胞学及免疫组织化学染色特征。
发病部位: 乳腺
诊断要点:
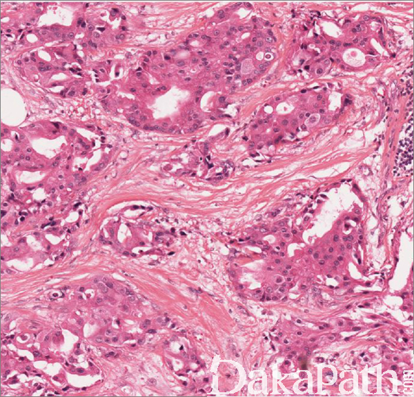
组织学上可表现为浸润性导管癌的各种形态,如巢状、片状、管状、微乳头状;
90%以上细胞具有大汗腺细胞的特征:细胞界限清楚,体积大,具有丰富的颗粒状嗜酸性胞浆,可有顶浆分泌型胞突;核位于细胞中央或偏位,核大,圆形、泡状,核仁突出;
可见多少不等的坏死;
常伴有不同程度的炎细胞浸润及泡沫状组织细胞反应;
少数病例可伴有大汗腺型小叶性肿瘤或导管原位癌。

免疫组织化学染色:
GCDFP-15. AE1/AE3. AR、CK5/6 阳性,ER、PR 通常阴性。
鉴别诊断:
无浸润性生长,细胞无明显异型。
颗粒细胞瘤细胞形态单一,无明显异型性;而大汗腺癌细胞多形性,异型明显;
颗粒细胞瘤 CK、EMA 和 GCDFP-15 阴性,S-100 强阳性与大汗腺癌相反。
嗜酸细胞癌细胞形态比较一致,无明显异型性,胞质呈弥漫一致嗜酸性颗粒状,缺乏胞质空化细胞及胞突;
免疫组织化学染色:GCDFP-15 阴性,ER、PR 通常阳性,线粒体标记物弥漫阳性。
富脂质癌 富于脂质癌与大汗腺癌形态上有交叉。主要鉴别点有:
富脂质细胞癌 90%以上细胞胞质淡染-泡沫状,而大汗腺癌胞浆嗜酸性颗粒状;
富脂质细胞癌常伴组织细胞增生及明显的炎症反应;
免疫组织化学染色富脂质细胞癌 GCDFP-1 5 阴性,脂质染色阳性,而大汗腺癌 GCDFP-1 5 弥漫阳性,脂质染色通常阴性。
富于糖原的透明细胞癌 :胞浆透明而非泡沫状。
← 乳腺柱状细胞黏液癌 乳腺大细胞神经内分泌癌 →