乳腺多形性癌
Breast Pleomorphic Carcinoma
同义词(或曾用名): 浸润性导管癌,非特殊类型
概述:
乳腺多形性癌(pleomorphic carcinoma)是高级别非特殊类型的浸润性导管癌的一种亚型,高度恶性。在 2012 年 WHO 乳腺肿瘤分类中将其列为非特殊类型浸润性癌的形态学变异型。
发病部位: 乳腺
诊断要点:
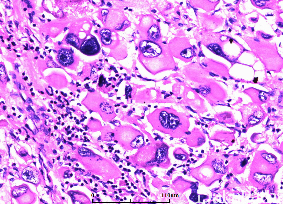
在非特殊型浸润性癌背景上出现 50%以上的显著多形性、形态怪异的巨细胞成分;
细胞异型明显,核分裂像多见(>20/10HPF),绝大多数属于 3 级;
约半数病例存在腋窝淋巴结转移,多数累及 3 个以上淋巴结。

免疫组织化学染色:
瘤细胞表达上皮性标记如 CK、EMA, 1/3 病例可表达 S-100 蛋白。Bcl2. ER、PR 一般阴性。
鉴别诊断:
化生性癌
乳腺化生性癌中含有异源性间叶样成分,如骨肉瘤、软骨肉瘤、横纹肌肉瘤、脂肪肉瘤、分化差的梭形细胞肉瘤等。而多形性癌强调的是细胞的多形性,无异源性间叶成分。
多形性癌中的多形性细胞仍然是上皮源性,表达上皮标记。
多形性肉瘤
乳腺多形性癌中或多或少存在浸润性导管癌成分,而多形性肉瘤缺乏明确的浸润性导管癌成分;
免疫组织化学染色上皮标记阳性支持多形性癌的诊断。