乳腺微浸润癌
Breast Microinvasive Carcinoma
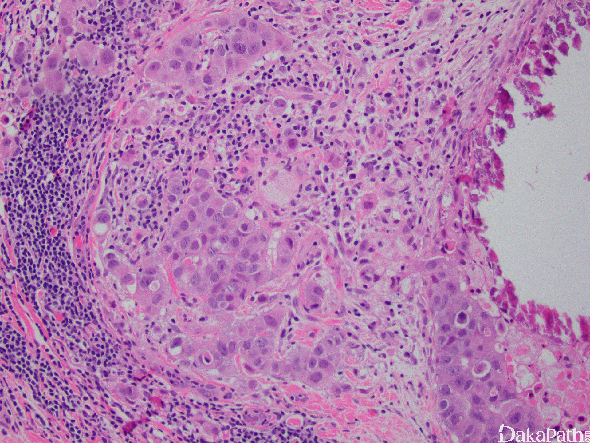
概述:
以原位癌为主伴有 1 个或多个微小浸润灶,每个浸润灶最大径不超过 1mm。
发病部位: 乳腺
诊断要点:
肿瘤主体常为管内癌,少数为小叶原位癌;
导管周围或小叶间质肿瘤细胞浸润灶最大径不超过 1mm;
浸润灶周围常伴纤维母细胞增生、胶原化或炎细胞浸润;
浸润灶周围缺乏肌上皮及基底膜。

← 乳腺低级别梭形细胞化生性癌 炎性乳腺癌 →
知识库 Breast Microinvasive Carcinoma
概述:
以原位癌为主伴有 1 个或多个微小浸润灶,每个浸润灶最大径不超过 1mm。
发病部位: 乳腺
诊断要点:
肿瘤主体常为管内癌,少数为小叶原位癌;
导管周围或小叶间质肿瘤细胞浸润灶最大径不超过 1mm;
浸润灶周围常伴纤维母细胞增生、胶原化或炎细胞浸润;
浸润灶周围缺乏肌上皮及基底膜。

← 乳腺低级别梭形细胞化生性癌 炎性乳腺癌 →