乳腺浸润性小叶癌
Breast Invasive Lobular Carcinoma
同义词(或曾用名): 经典型小叶癌、实性型小叶癌、腺泡型小叶癌、多形性小叶癌、混合性小叶癌
概述:
由纤维间质中单个散在或呈单行线性排列的黏附性细胞构成的一种浸润性癌,常伴有小叶原位癌(LCIS)。占所有乳腺浸润性癌的 5-15%,是最常见的乳腺特殊型癌。
发病部位: 乳腺
诊断要点:
乳腺浸润性小叶癌占乳腺浸润性癌的 5-15%,平均发病年龄 57-65 岁,形态学可分为经典型浸润性小叶癌和变异型浸润性小叶癌。
一、经典型浸润性小叶癌:
单行或双层排列的肿瘤细胞浸润间质,细胞间无黏附性;
可见肿瘤细胞常围绕导管形成同心圆或靶样图像;
细胞形态一致,小到中等大,呈轻度非典型性(细胞核 I 级),细胞核多偏于一侧,染色稍深,无明显核仁,核分裂象少见。多数细胞有胞质内黏液空泡,偶见印戒细胞样形态;
病变可呈跳跃性分布,可见肿瘤细胞巢被残存正常乳腺组织与肿瘤主体分隔开;
部分病例肿瘤细胞散在分布于乳腺间质和脂肪组织之间,无明显促纤维反应;
大多数病例伴有小叶原位癌成分。
二、变异型浸润性小叶癌: 浸润性小叶癌存在一些组织学变异,表现为只有细胞形态或者生长方式与经典型 ILC 相同,但是均缺乏细胞间黏附。具体包括:
实性型浸润性小叶癌
细胞索大于 2 层细胞宽度,由胶原纤维分割,细胞黏附差,似淋巴瘤;
细胞与经典型小叶癌一样,形态一致,小到中等大,呈轻度非典型性(I 级细胞核),细胞核多偏于一侧,染色稍深,无明显核仁,核分裂像少见,多数细胞有胞质内黏液空泡,偶见印戒细胞样形态,但是与经典型小叶癌相比,细胞更具多形性,核分裂更多;
常合并经典型浸润性小叶癌区域,多位于病变边缘;
肿瘤细胞弥漫浸润周围组织形成大片实性结构,间质稀少,类似淋巴瘤或转移性黑色素瘤;
小叶原位癌成分不如经典型小叶癌常见。
腺泡型浸润性小叶癌
肿瘤生长方式类似小叶原位癌,肿瘤细胞片状或簇状聚集形成细胞团,每团细胞数在 20 个以上,细胞团之间隔以薄层纤维性间质,无肌上皮细胞和基底膜;
细胞与经典型小叶癌一样,形态一致,小到中等大,呈轻度非典型性(I 级细胞核),细胞核多偏于一侧,染色稍深,无明显核仁,核分裂像少见。多数细胞有胞质内黏液空泡,偶见印戒细胞样形态;
细胞间黏附性差;
与经典型小叶癌相比,真正的小叶原位癌不常见。
多形性小叶癌
保持经典型小叶癌的特征性生长方式,多数病例呈线性生长方式,也可呈腺泡型、实性型或混合性结构;
细胞大,具有高级别核,呈现显著的多形性;
核膜不规则,核仁明显,核分裂多见;
常具有丰富的嗜酸性胞浆;
伴有的小叶原位癌中的细胞常常有类似多形性表现。
混合型小叶癌
由经典型与上述一个或多个亚型混合构成。

免疫组织化学染色:
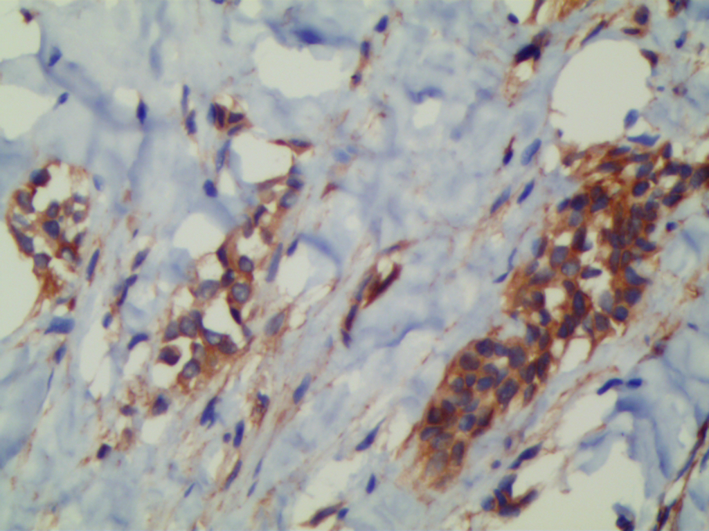
E-cadherin:约 85%的 ILC 呈阴性,约 15%可见部分膜阳性或浆阳性。E-cadherin 阳可见更高概率的淋巴-血管浸润和混合性组织学模式。Catenins:E-cadherin 阴性 ILC 亦缺乏表达 α-、β-及 γ-catenins,P120 显示弥漫性胞浆表达;多数 E-cadherin 阳性 ILC 缺乏 1 种或更多 catenins 的膜表达,但可显示胞浆表达,多数显示 P120 胞浆表达。 约 90%以上的 1 级及 2 级 ILC 及 80%的 3 级 ILC 呈 ER 阳性,若 ILC 呈 ER 阴性,可能是假阴性或其他诊断(如:转移性黑色素瘤或淋巴瘤)。 HER2:过表达极其罕见(少于 1%的病例),3 级 ILC 除外。约 25-50%的 3 级 ILC 可呈阳性。部分病例可见边缘增强,不应被过度理解,FISH 可有助于证实是否有 HER2 扩增。 GCDFP-15:常阳性,尤其伴多形性、大汗腺或印戒细胞形态的 ILC。
鉴别诊断:
- 伴有导管和小叶特征的癌
约 3-5%的乳腺浸润性癌有此表现,既有单个细胞浸润的模式,也有细胞之间粘附生长和腺管形成的模式,而且单个细胞浸润生长模式可以很明显,可以见到印戒样细胞;可以同时伴有小叶原位癌或/和导管原位癌;典型病例显示明显的 E-cadherin 膜阳性;重要的的是识别单个细胞浸润,其转移模式可以类似浸润性小叶癌,在转移部位细胞很难识别。
- 小管小叶癌
少见,占到所有乳腺癌的不到 2%;表现为经典的浸润性小叶癌和小管结构,也就是单个细胞生长或靶环样结构,小管小且圆(比小管癌中小管要小);细胞核小、低级别;大多数小管小叶癌 E-cadherin 阳性;可能认为是浸润性小叶癌或小管癌的变异型,但是最近认为其是一种独立的组织学类型;不同于伴有导管和小叶特征的癌。
- 淋巴瘤
浸润性小叶癌和淋巴瘤都可以表现为间质中单个细胞浸润或线状生长方式,但是浸润性小叶癌细胞具有更丰富的胞浆,低倍镜下浆细胞很像浸润性小叶癌细胞;伴有小叶原位癌支持为浸润性小叶癌的诊断;免疫组化有助鉴别,Keratin 在浸润性小叶癌阳性,在淋巴瘤阴性,LCA 则相反,淋巴瘤一般激素受体阴性而浸润性小叶癌阳性。
- 胃印戒细胞癌
浸润性小叶癌和胃印戒细胞癌可以很相似,两种癌都可以出现 E-cadherin 的胚系突变,浸润性小叶癌可以转移到胃,而且有些病例可以不易找到原发灶,胃转移到乳腺非常少见,鉴别二者免疫组化是必须的:浸润性小叶癌通常 ER、GCDFP-15. MUC1 阳性,而 CDX-2. Hep-Par1 阴性;胃的印戒细胞癌通常 CDX-2. Hep-Par1 阳性,而 ER、GCDFP-15 和 MUC1 阴性。
- 肌纤维母细胞瘤,上皮样亚型
上皮样亚型的肌纤维母细胞瘤表现为边界清楚的肿块,而浸润性小叶癌边缘毛刺状、不规则;上皮样亚型的肌纤维母细胞瘤在除了上皮样细胞区域外可以有到梭形细胞区域,而浸润性小叶癌没有;肌纤维母细胞瘤虽然也可以 ER 和 PR 阳性,但是 Keratin 阴性,浸润性小叶癌 Keratin 阳性。
- 转移性黑色素瘤
黑色素瘤是成年女性乳腺最常见的转移性恶性肿瘤,黑色素瘤细胞缺乏粘附性且呈片状排列,类似于实性变异型浸润性小叶癌,如果癌组织不伴有小叶原位癌且激素受体阴性时应该怀疑是转移性的黑色素瘤,细胞角蛋白和黑色素标记的免疫组化有助鉴别。
- 造血细胞
浸润性小叶癌常转移到骨髓,肿瘤细胞类似造血细胞,Keratin 研究是有帮助的,由于组织处理过程中非福尔马林固定或脱钙可以造成激素受体阴性。