乳腺筛状癌
Breast Cribriform Carcinoma
同义词(或曾用名): 浸润性导管癌
概述:
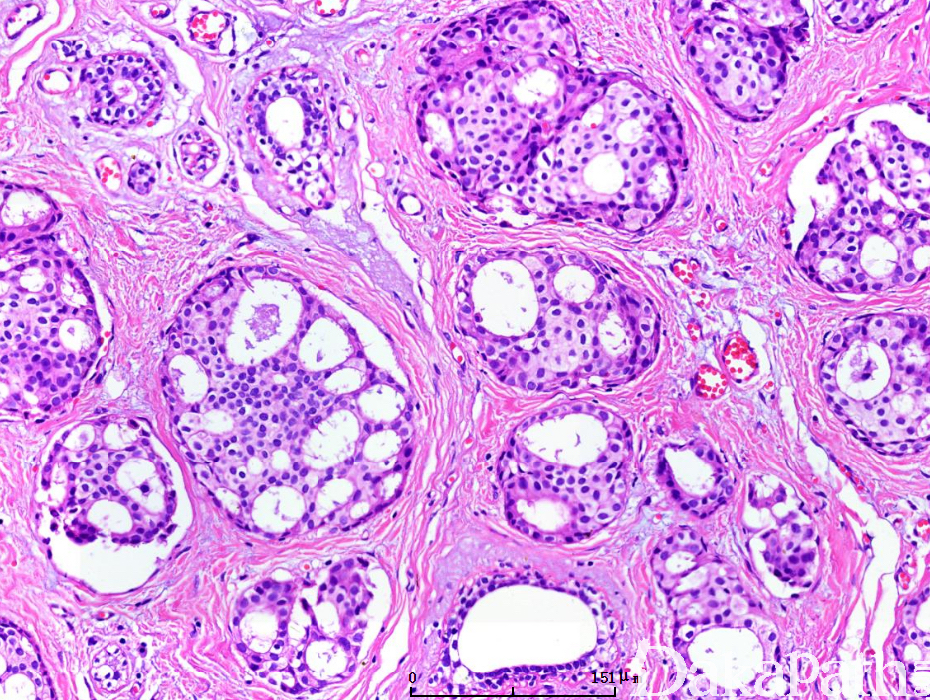
属于乳腺特殊型癌,以筛状结构为主要特点,可混有<50%的小管癌成分,生物学行为与小管癌类似,预后极佳。
发病部位: 乳腺
诊断要点:
结缔组织增生背景上见岛状或成角的细胞巢浸润性生长,具不规则筛孔状结构;顶浆突起常见,常见纤维母细胞性间质;
细胞小到中等大,细胞核大小一致,染色质均匀,核仁不明显,类型小管癌中的肿瘤细胞;
细胞无明显多形性,无高级别核细胞,有时可见组织细胞起源的破骨细胞样巨细胞;
核分裂像少见;
缺乏肌上皮细胞,常伴有筛状型导管原位癌;
当 90%或以上区域为筛状结构时方诊断筛状癌,可以包括<50%的小管癌成分,如果肿瘤组织中含有 10-49%的其他类型乳腺癌(小管癌除外)成分时归类为混合性癌。

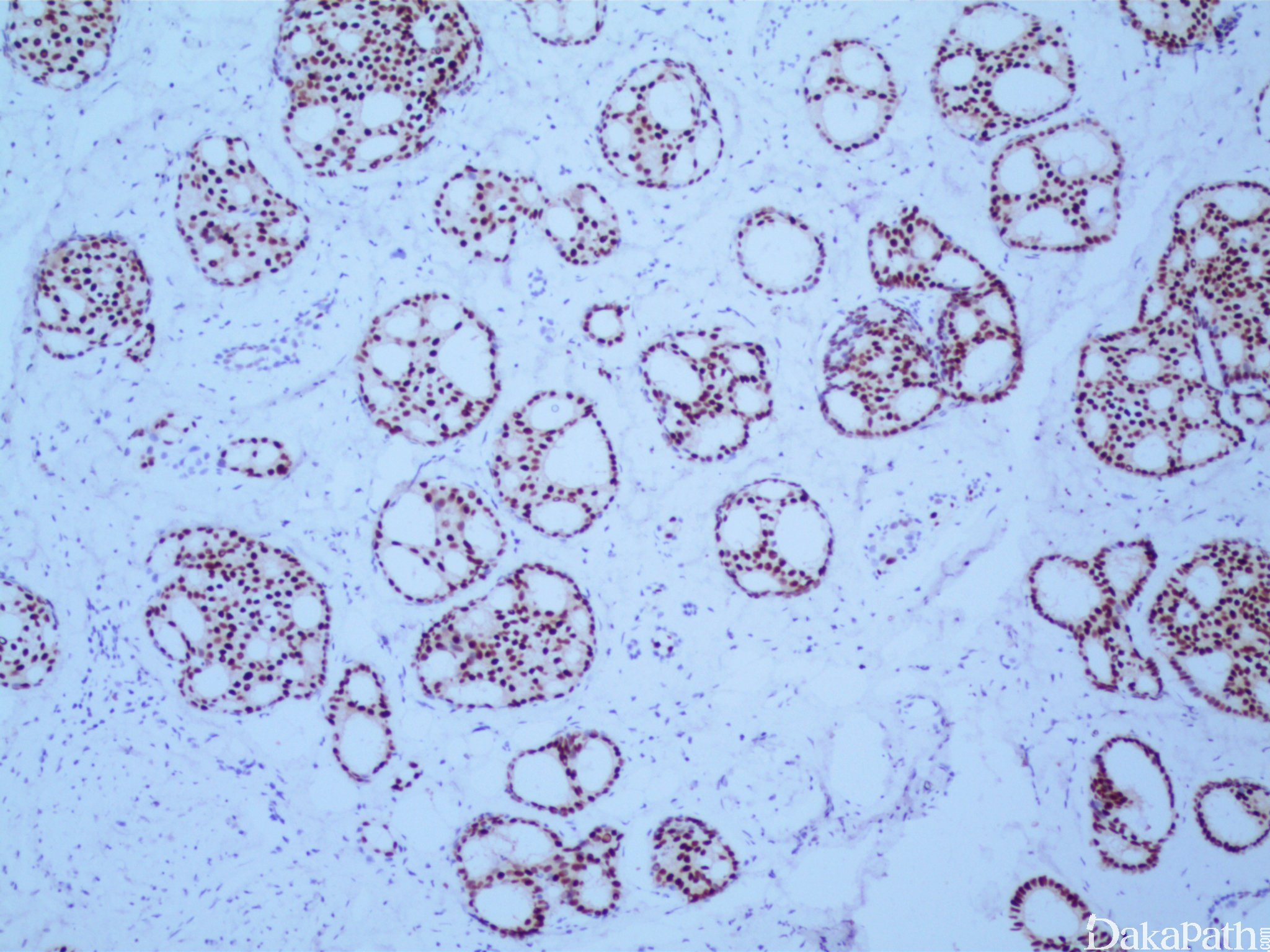
免疫组织化学染色:
与小管癌一样,在乳腺癌分子分型中同属于“管腔 A 型”,均一致表达 ER,缺乏 HER-2 表达。
鉴别诊断:
腺样囊性癌:乳腺筛状癌和腺样囊性癌都是筛状模式的浸润性癌,二者区别为:
腺样囊性癌具有两种细胞成分及腺上皮和肌上皮细胞,肌上皮细胞 P63 免疫染色阳性,筛状癌细胞成分单一,只有腺上皮一种;
腺样囊性癌囊内可见基底膜样物质或粘液样分泌物,筛状癌无基底膜样物质或粘液样分泌物;
腺样囊性癌通常 ER、PR 阴性,CD117 阳性,而筛状癌则 ER、PR 常阳性,CD117 通常阴性。
胶原小体病:
胶原小体病致密的嗜酸性分泌物,非囊性结构,筛状癌为筛孔状结构;
胶原小体病细胞巢界限清楚,无间质浸润,筛状癌细胞巢不规则,伴有间质浸润。
筛状导管原位癌:
筛状导管原位癌细胞巢规则,界限清楚,无间质浸润,而筛状癌细胞巢不规则,可见间质浸润;
筛状导管原位癌肌上皮存在,而筛状癌缺乏肌上皮细胞。
分子标记:与小管癌一样,在乳腺癌分子分型中同属于“管腔 A 型”,均一致表达 ER,缺乏 HER-2 表达。
预后:
与小管癌一样,浸润性筛状癌 患者具有非常好的临床预后,10 年生存率为 99%-100%。