乳腺黏液癌
Breast Mucinous Carcinoma
同义词(或曾用名): 乳腺胶样癌 微乳头型黏液腺癌
概述:
黏液癌是一种好发于老年人且预后较好的乳腺癌。形态学上表现为细胞外间质内有大量黏液,其中漂浮着癌细胞。2012 年版 WHO 乳腺肿瘤分类中明确指出单纯性黏液腺癌是指黏液腺癌成分>90%,部分学者将黏液成分大 50%或以上的浸润癌诊断为黏液癌。
发病部位: 乳腺
诊断要点:
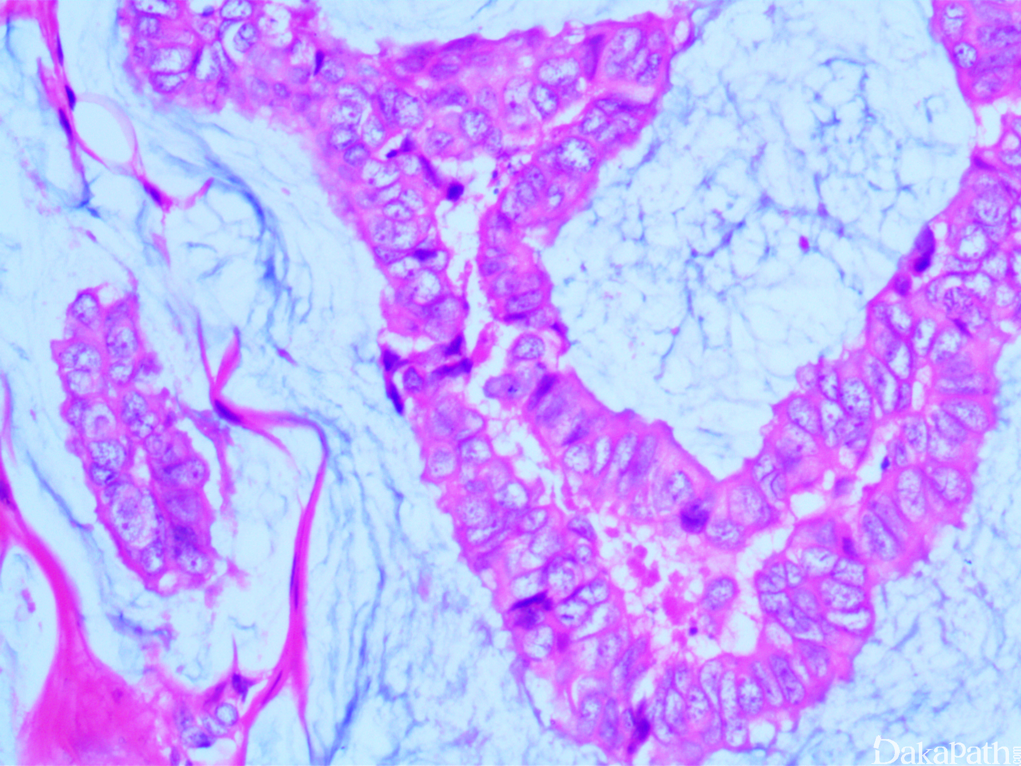
肿块界限清楚,切面苍白,胶样,富含黏液,质软;
瘤细胞常呈小梁状、缎带样或花环样、微乳头状,含有大量的细胞外黏液,为经典型的黏液腺癌(A 型);
肿瘤细胞常排列呈片状、巢状,含有多量细胞内黏液,是一种伴有神经内分泌分化的黏液腺癌,为 B 型黏液腺癌;
细胞通常为低级别,也可见高级别细胞核;
可存在管内癌成分,可为黏液性管内癌;o
可存在神经内分泌分化;
非黏液成分超过 10%时应诊断混合性癌,如黏液-导管混合性癌;
如黏液成分不足 50%,可诊断为浸润性癌伴黏液分化。
变异型 :
微乳头型黏液腺癌
黏液湖内漂浮的细胞呈微乳头状,少部分病例甚至可以全部或绝大部分为微乳头状结构。
肿瘤细胞的排列模式与浸润性微乳头状癌相同。

免疫组织化学染色:
MUC2. MUC6 高表达,EMA 阳性(肿瘤细胞簇外表面);ER、PR 多呈阳性(>95%); HER-2 常阴性(>95%);CgA、Syn、CD56 在 B 型黏液癌中常表达;WT1 核表达、B-catenin 膜表达。