结肠高分化神经内分泌肿瘤(类癌)
Well-Differentiated Neuroendocrine Tumor (Carcinoid) of Colon
同义词(或曾用名): 类癌
概述:
来自结肠及直肠的正常神经内分泌系统的高分化肿瘤。
发病部位: 结肠(近端多于远端)、直肠。
诊断要点:
比较少见,所有胃肠高分化神经内分泌肿瘤中,结肠占 5-10%,直肠占 10-20%。多数位于中年及老年人。临床多数无症状,常规内镜下呈息肉状,可出现疼痛及出血。
大体上呈小的、黄色病变,可呈息肉状,亦可较大、浸润性生长(可见溃疡)。
组织学上呈单一细胞巢状、条状及缎带状排列,可出现腺泡状或腺样结构,染色质椒盐样,直肠部位有时表面伴腺瘤形成。核分裂像<2 个/10HPF,Ki67 指数小于等于 2%。

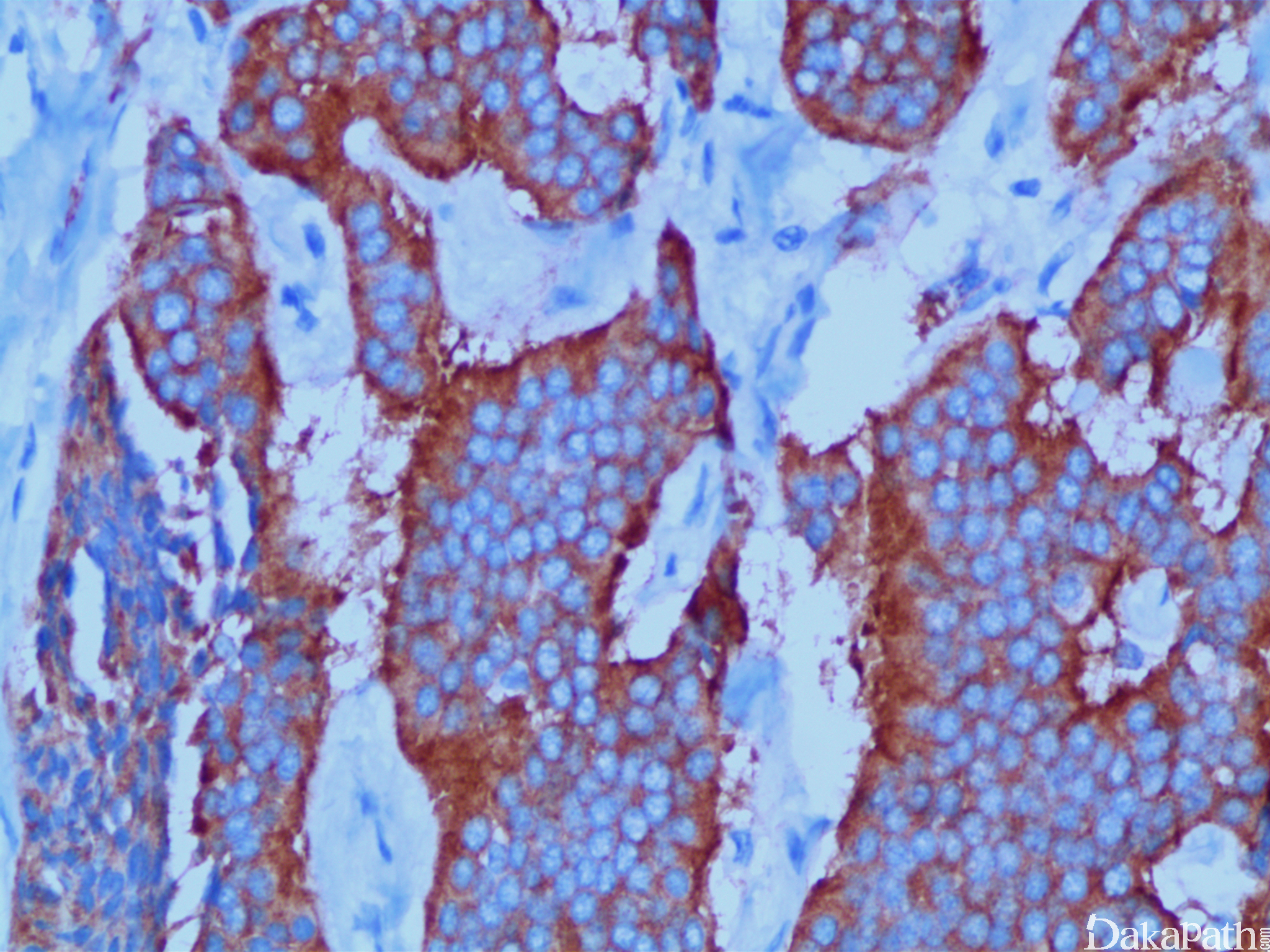
免疫组织化学染色:
synaptophysin、chromogranin 及 CD56 均阳性。AE1/AE3 常阳性。
鉴别诊断:
腺癌 :免疫标记 synaptophysin 及 chromogranin 均阴性。
淋巴瘤 :细胞黏附性较差,上皮及神经内分泌标记阴性。