结肠神经节瘤
Ganglioneuroma of Colon
概述:
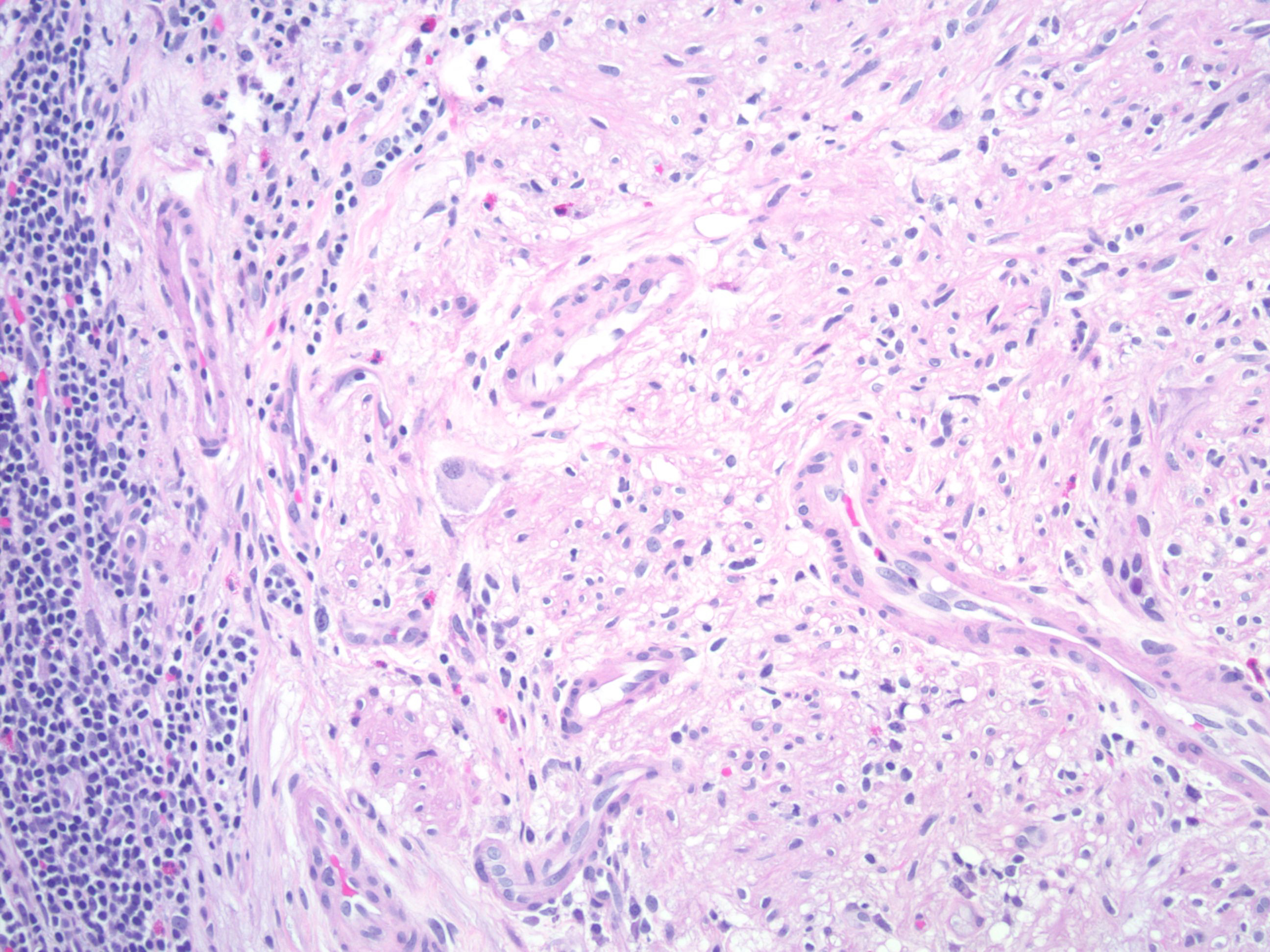
梭形施万细胞及神经节细胞不同程度混合的肿瘤,胃肠道的神经节瘤类似于软组织的相应病变,若临床出现节细胞神经瘤病,可能提示 MEN2b。
诊断要点:
罕见,临床上多数为常规内镜检查被发现,多数散发病例累及远端结肠。孤立性病变与遗传综合征无关。
神经节瘤息肉病与 PTEN 错构瘤性综合征及 FAP 相关,多数位于结肠。
弥漫性节细胞神经瘤病(ganglioneuromatosis)与 MEN2b 及 NF1 相关,大的透壁性肿瘤浸润胃肠道(常位于结肠)。伴 MEN2b 及 节细胞神经瘤病的患者呈现不同胃肠道症状,可见便秘、腹泻、喂养困难、喷射性呕吐及腹部绞痛。节细胞神经瘤病几乎所有的 MEN2b 患者均可出现,常在内分泌肿瘤形成之前。
组织上显示伴散在神经节细胞的梭形细胞肿瘤,弥漫性节细胞神经瘤病主要集中在神经丛的周围,通常可延伸至固有层,胞浆稀少的梭形细胞伴散在的胶原,梭形细胞 S100 阳性,神经节细胞 synaptophysin 阳性。

鉴别诊断:
← 结肠良性纤维母细胞性息肉 结肠腺瘤伴假浸润 →