降钾树脂损伤
Kayexalate Injury
概述:
钾结合剂用于伴高钾的急性及慢性肾病的患者,口服或直肠灌肠给药,消化道可能存在相应的损伤(缺血)。
诊断要点:
临床常见黑便及腹痛。
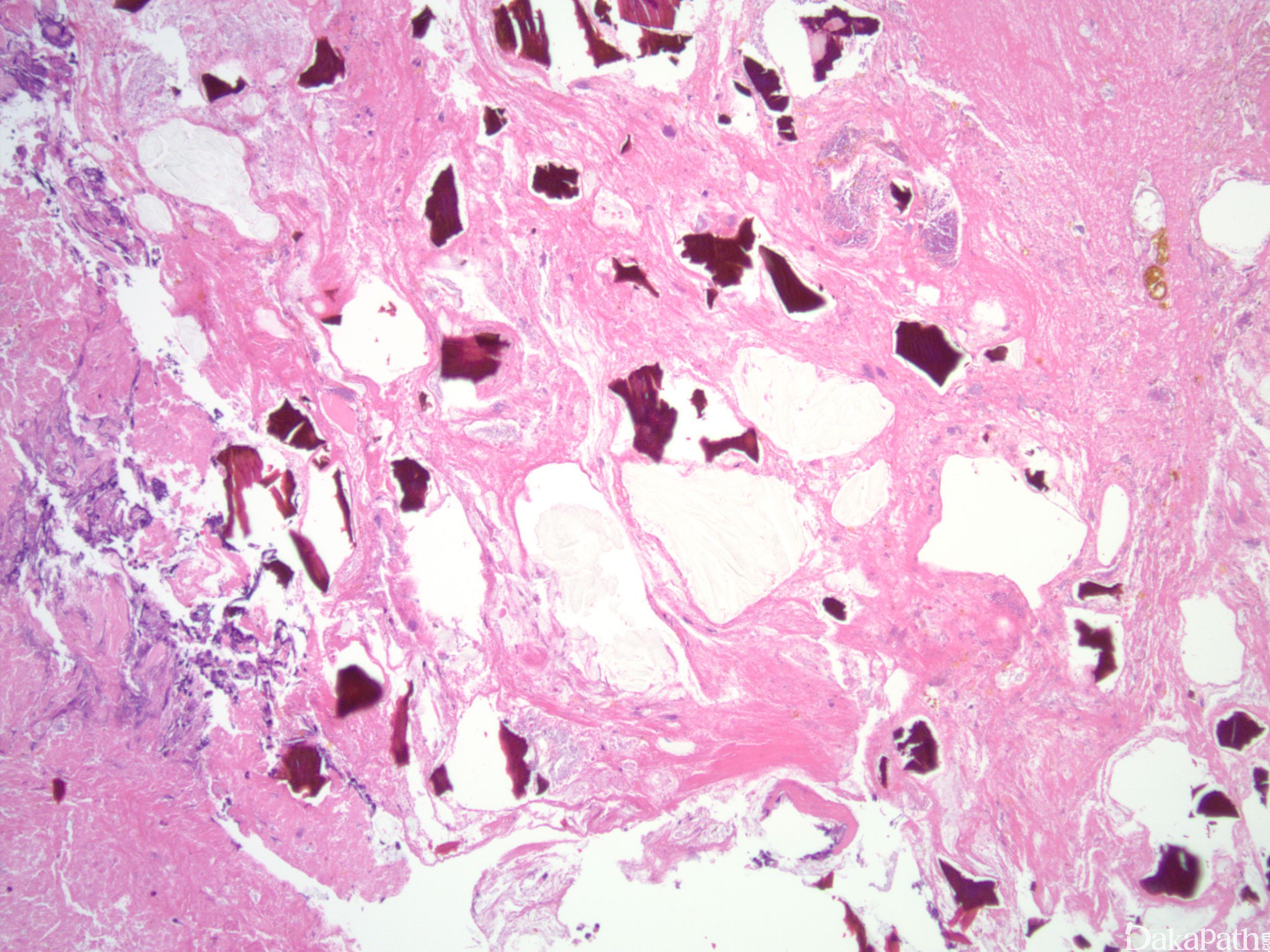
组织上常见与溃疡及其他黏膜损伤相关的晶体,HE 染色呈红色,抗酸染色呈黑色。晶体显示裂纹外观,类似鱼鳞片。

鉴别诊断:
胆汁螯合剂晶体 :HE 呈鲜红色,抗酸染色呈黄色,常缺乏裂纹的外观。
司维拉姆晶体 :抗酸染色呈洋红色,晶体显示更弯曲。
其他原因的缺血 :低血压的缺氧、血管炎、某些细菌感染、巨细胞感染及其他的药物(口服避孕药、感冒药及可卡因等)。