移植物抗宿主病
graft versus host disease,GVHD
同义词(或曾用名): GVHD
概述:
异源性移植之后受体组织受到供体淋巴细胞的攻击及破坏。为一个疾病谱,具有特征性皮肤和系统表现,发生于骨髓移植、少数为实体器官移植或血制品输入的患者,为供体或自身淋巴细胞对受体的不同靶器官进行反应引起,可分为急性和慢性。
发病部位: 皮肤、肠道及肝脏。皮疹可全身泛发,常初发于肢端、四肢远端、耳、颈侧面
诊断要点:
主要发生于骨髓移植后的患者。
急性 GVHD 常发生于骨髓移植后 60 天内,表现为面部或掌跖的多发性红斑,泛发性皮损常为麻疹样。 63%患者出现恶心、呕吐及腹泻三联征,亦可见腹痛及胃肠道出血。
慢性 GVHD 从急性 GVHD 发展而来,在移植后数周至数月发生,可表现为苔藓样(扁平苔藓样)皮损,最终发展为硬皮病样外观,与急性 GVHD 类似,典型的慢性 GVHD 初发于四肢远端。常伴有皮肤异色症或弥漫性色素沉着。
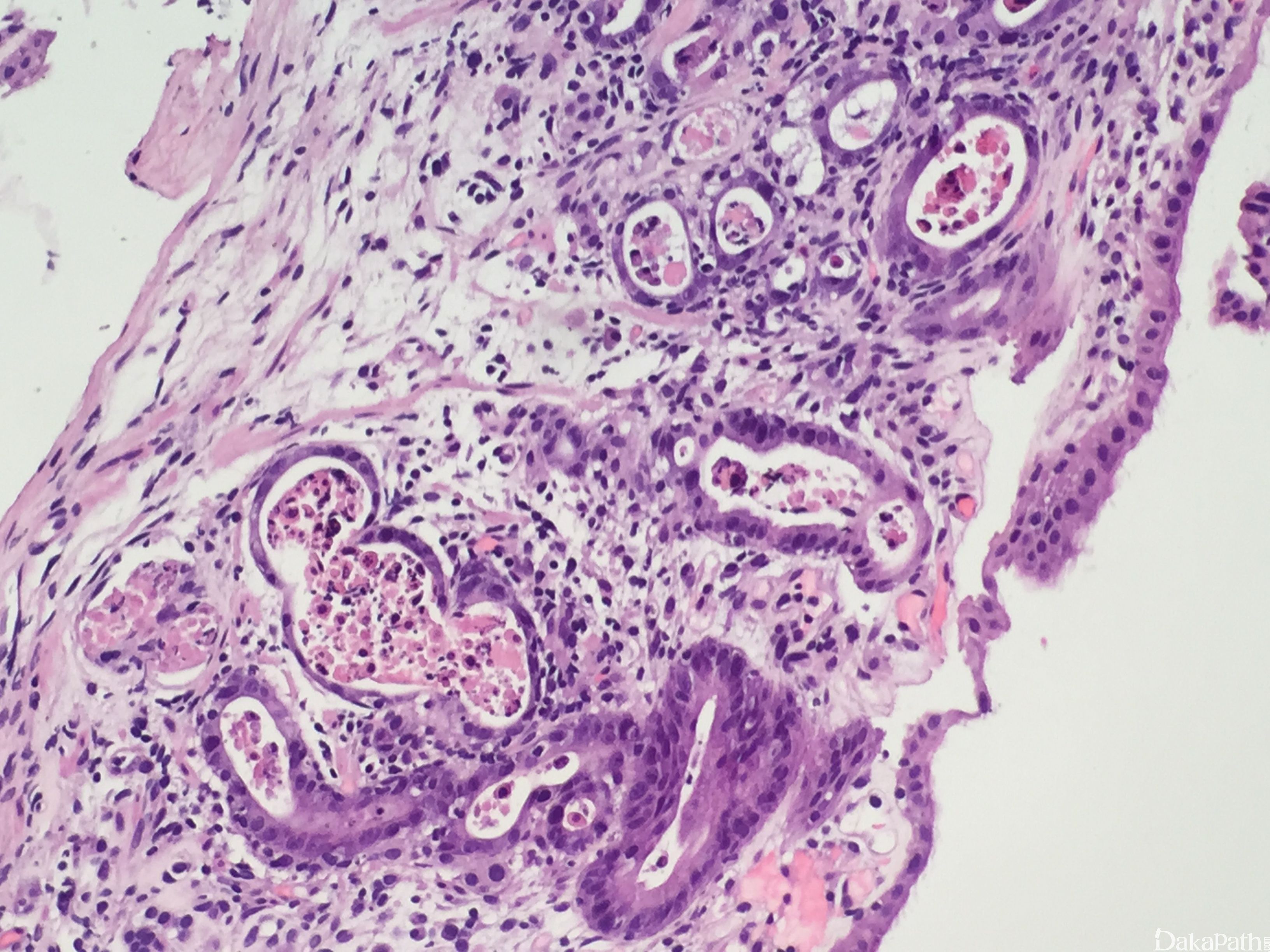
组织学改变:凋亡是 GVHD 显著的特点,但非特异。部分研究认为每 10 个连续的隐窝可见 6 个凋亡小体,受损的隐窝可见少许淋巴细胞或嗜酸性粒细胞,常有少量固有层炎症。黏膜可完全剥脱,仅残留内分泌细胞巢。最后可能会出现类似慢性炎症性肠病的显著隐窝变形的慢性特点。
急性 GVHD 表现为空泡化界面皮炎并特征性地累及表皮和毛囊上皮,可见卫星状细胞坏死(指表皮内一个凋亡细胞周围伴多个淋巴细胞)。真皮浅层常可见淋巴细胞浸润,可见嗜酸性粒细胞。有学者将界面改变进行分级:空泡化改变(1 级),角质形成细胞坏死(2 级),表皮下微水疱形成(3 级)及表皮分离(4 级)。
慢性 GVHD 表现为致密带状淋巴细胞浸润,伴有表皮增生、上皮脚呈锯齿状及基底层鳞化。有时真皮浅层可见带状分布的噬黑素细胞,仅有很少的淋巴细胞及散在的 Civatte 小体,少数情况下,GVHD 可出现硬皮病样(硬斑病样)或皮肤异色症样表现,偶表现为小叶性脂膜炎和(或)筋膜炎。
常累及胃肠道(包括口腔黏膜)和肝胆系统。胆红素和碱性磷酸酶水平可升高。

鉴别诊断:
如果仅表现为网篮状正角化过度,急性 GvHD 与多形性红斑、淋巴细胞“喷发”(实际上是一种移植相关的一过性、轻度急性 GVHD 反应)、部分药疹和一些病毒疹很难鉴别。但急性 GVHD 常可见角化不全。空泡化界面皮炎常累及附属器上皮,而在多形性红斑并不常见。
若间质内黏蛋白沉积不明显,急性 GVHD 与红斑狼疮或皮肌炎很难鉴别。
扁平苔藓:苔藓样 GVHD 的苔藓样浸润常较稀疏,常可见嗜酸性粒细胞和(或)浆细胞,且扁平苔藓不会出现硬化表现。
药疹 :典型药疹的炎症细胞浸润更为致密,嗜酸性粒细胞更明显,但若表现为伴有少量嗜酸性粒细胞的散在炎症细胞浸润,则很难与急性 GVHD 相鉴别。
霉酚酸酯损害 :固有层大量嗜酸性粒细胞,> 15 个嗜酸性粒细胞/10 高倍视野(HPF),严重病变中仅残留内分泌细胞巢支持 GVHD,常不存在整个隐窝的凋亡。
感染 :巨细胞病毒、腺病毒及隐孢子虫病均可引导凋亡,若出现中性粒细胞,提示细菌感染。
Cord 结肠炎综合征 :由于根瘤菌感染导致,持续性腹泻,对抗生素有效,伴中性粒细胞浸润的肉芽肿性炎,可见类似 IBD 的隐窝变形及潘氏细胞化生。
口服磷酸钠盐的肠道准备 :可见结肠隐窝底部的凋亡,亦可见隐窝上皮中性粒细胞的“局灶活动性结肠炎”。
预后:
与 GVHD 严重程度和易感染状态有关
治疗:
免疫抑制剂:糖衣皮激素、他克莫司、环孢素