缺血
Ischemia
概述:
系统血流减少或局部组织缺氧导致胃肠道组织坏死或破坏。
发病部位: 结肠最常见,右半结肠(8%)、横结肠(15%)、脾曲(23%)、降结肠(27%)、乙状结肠(23%)及直肠(4%)。小肠常见透壁性梗死(由于肠系膜上动脉闭塞),食管与胃少见。
诊断要点:
老年人主要由于动脉粥样硬化导致,平均约 70 岁;亦可位于年轻人,主要由于静脉血栓所致,常见口服避孕药、可卡因、其他血管收缩的药物、非甾体抗炎药、马拉松运动员及感染(E. coli O157:H7 或 CMV)。临床表现为腹痛、便血、呕吐及发热。
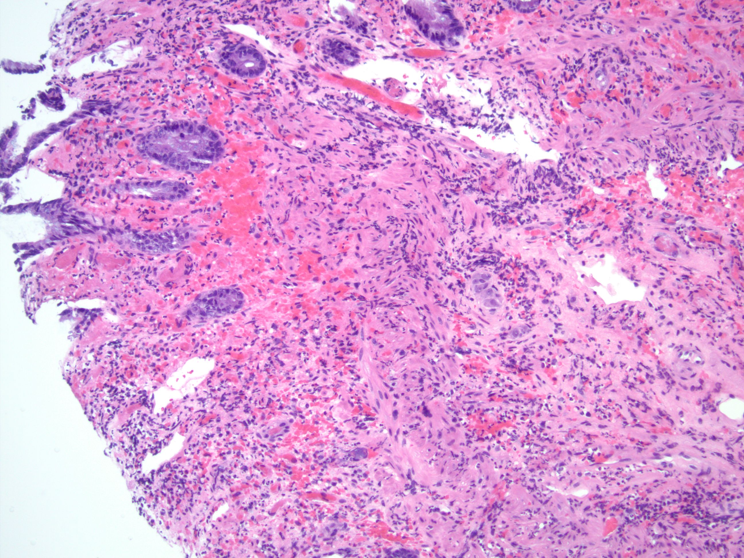
大体上可见出血性改变,地图状分布,溃疡及或假膜形成。
早期黏膜表面溶解,仅隐窝底部完整。隐窝底部表现萎缩,可显示显著再生性的不典型性,炎症较少。
固有层玻璃样变,三色染色显示蓝色。黏膜下显著水肿,黏膜肌层斜面分裂(或许由于水肿),假膜形成。
随着疾病的进展,可出现克罗恩病样改变,但吞噬含铁血黄素巨噬细胞的出现支持缺血,炎症增多伴隐窝变形,溃疡愈合的区域可见伴食物颗粒的巨细胞,不能与克罗恩肉芽肿混淆。常查找血管是否存在血栓栓塞性疾病或血管炎,常位于手术切除的标本或患者的肠系膜内,内镜活检的标本几乎不见血管炎的证据,不能过度解读溃疡床血管的血栓及炎症为血栓栓塞性疾病或血管炎。

鉴别诊断:
艰难梭菌结肠炎: 固有层玻璃样变或隐窝减少不常见。内镜下呈弥漫性改变,缺血呈地图状。
慢性 炎症性肠病: 含铁血黄素巨噬细胞的出现支持缺血改变,而瘘及肉芽肿有助于克罗恩的诊断。
NSAID 损伤: 可类似于缺血,需结合药物服用史。
黏膜脱垂: 平滑肌的增生有助于黏膜脱垂的诊断。