放射损伤
Radiation Effect
概述:
离子辐射(常继发于抗癌治疗)对胃肠的损伤,急性损伤(数天至数周):基于黏膜改变及具有自限性,慢性损伤(6 个月至 30 年):由于血管及肠壁的受损。
诊断要点:
有放射接触史,依据损伤的部位及急性或慢性临床表现不同,食管急性损伤可见吞咽痛(由于溃疡形成),慢性吞咽困难(由于狭窄);小肠急性损伤可见疼痛及腹泻,慢性可见腹泻、出血及梗阻导致的疼痛;结肠及直肠急性可见疼痛及腹泻,慢性可见腹泻、出血及梗阻导致的疼痛。
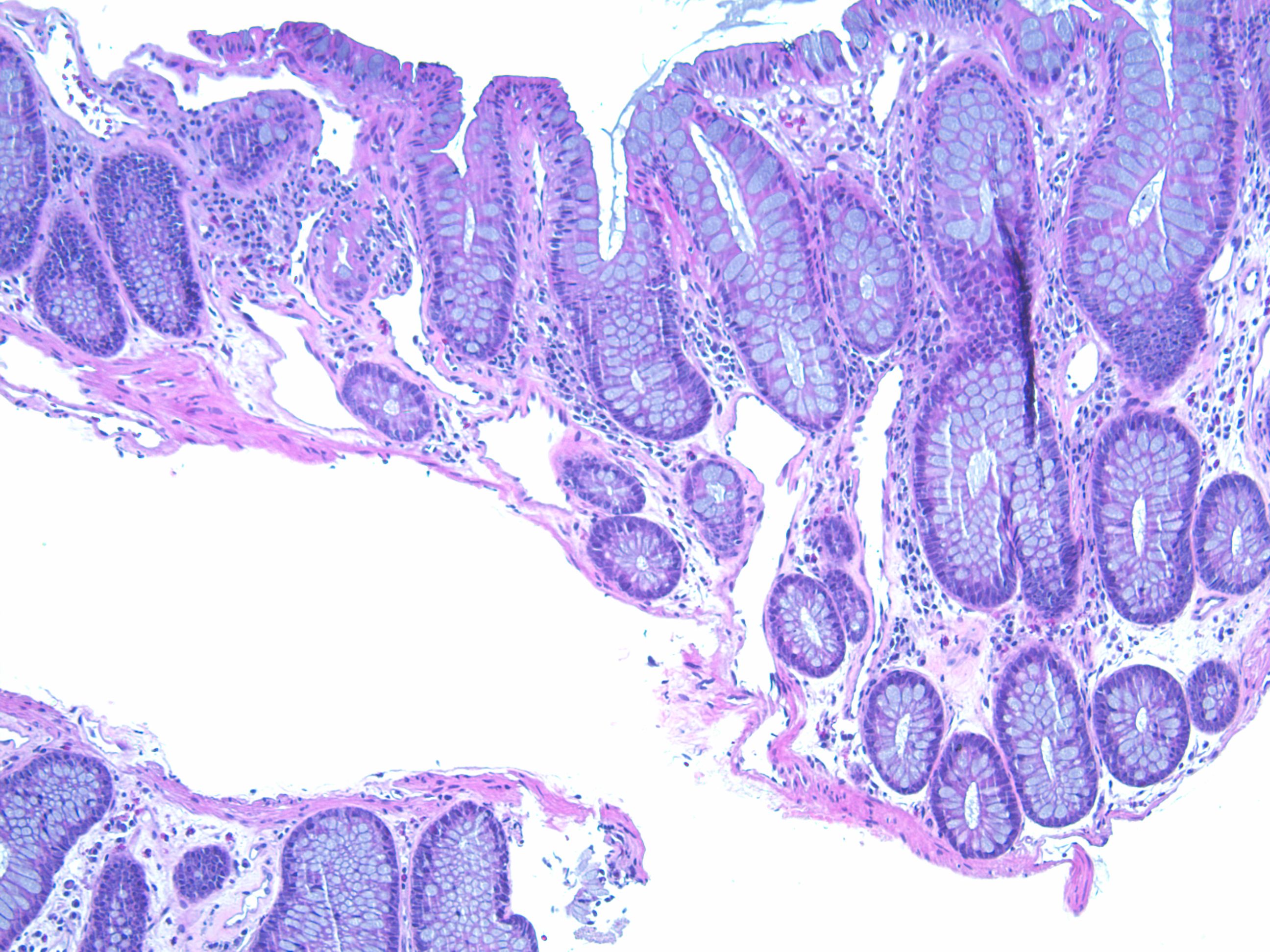
组织学上急性损伤黏膜及固有层嗜酸性粒细胞浸润,隐窝受损及萎缩类似于霉酚酸酯结肠炎或移植物抗宿主疾病,少数活检时处于自限性状态。慢性改变可见毛细血管扩张伴不典型性内皮细胞,固有层及血管玻璃样变,不典型间质细胞(放射性的纤维母细胞),损伤愈合后可见腺体结构变形类似炎症性肠病,肠壁深层动脉受损可见内膜增生、血栓形成及纤维化,动脉受损导致缺血的改变,瘢痕的形成。纤维化及瘢痕的形成引起小肠梗阻及继发性细菌繁殖。
部分病例放射之后可见深部囊性结肠炎及少数报道小肠内泡沫巨噬细胞聚集。
放射治疗后结直肠异型增生及腺癌的风险增加,放射诱导的癌预后较差。

鉴别诊断:
缺血: 放射常可导致缺血,需要寻找其他的放射相关改变,如不典型纤维母细胞及血管改变。
炎症性** **肠病(IBD): 常有大量炎症及黏膜破坏,放射的纤维化及狭窄可类似炎症性肠病,但无炎症改变。
← 化疗效应 Cowden综合征的错构瘤性息肉 →