胰腺神经内分泌肿瘤
Pancreatic Neuroendocrine Tumours(NET)
同义词(或曾用名): 胰岛细胞瘤、分化好的神经内分泌肿瘤、分化好的神经内分泌癌、APUD 瘤。
概述:
以神经内分泌分化为主的胰腺肿瘤,分化较好(低-中级别),直径小于 0.5cm 且无功能性称为神经内分泌微腺瘤。根据激素分泌有无出现特征性临床症状,分为功能性和无功能性两类。
诊断要点:
较少见,占所有胰腺肿瘤的 1%-2%,可发生在任何年龄,儿童罕见,高峰年龄 30-60 岁,平均年龄 50 岁,无性别差异。可发生在胰腺任何部位,无功能性 NET 约 2/3 位于胰头,
边界清楚的单个结节,黄白或红棕色,质软肉样或致密纤维化,可伴出血、坏死和囊性变,功能性 NET 通常较小,无功能性 NET 直径常大于 2cm。
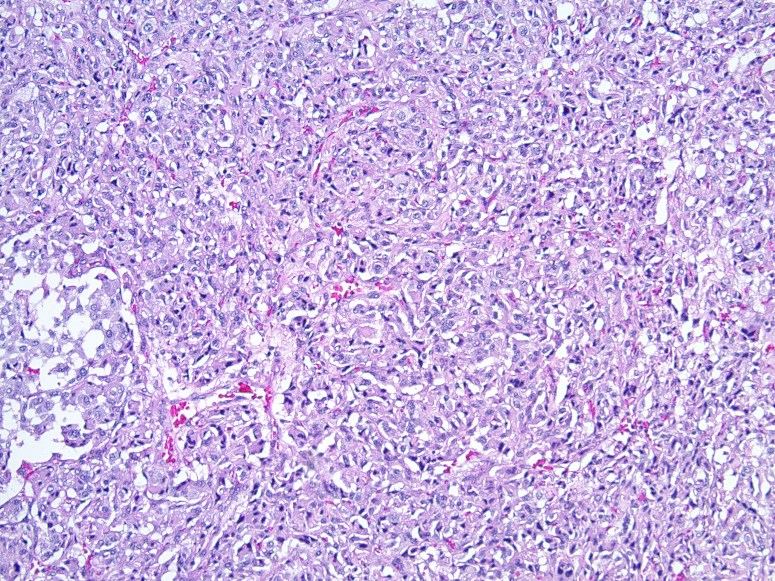
具有“器官样”特点,呈巢状、小梁、腺样、脑回状、腺泡状、假菊形团样排列,
肿瘤细胞大小较一致,胞浆细颗粒状,双染性或嗜酸性,核居中,圆形或卵圆形,核仁明显,染色质粗团块状(椒盐样),偶可见透明细胞、空泡状富含脂质的细胞、嗜酸细胞、或横纹肌样细胞,10 个高倍镜下小于 20 个核分裂。若明显的核增大,形状不规则,则为“多形性”NET。间质数量和纤维化程度不等,坏死较局限,粉刺样。胰岛素瘤中常见淀粉样物,生长抑素瘤中常见腺样结构并含有沙砾体。

免疫组织化学染色:
Syn、Cga 弥漫强阳性,CD56. PGP、CK8. CK18. CK19. CDX2. CEA、CA19-9 表达阳性,表达相应的神经内分泌表型。
鉴别诊断: