胰腺腺泡细胞癌
Acinar Cell Carcinoma of the Pancreas
概述:
恶性上皮性肿瘤,类似腺泡细胞,有外分泌酶产生。伴有明显内分泌或导管成分,(超过 25%)的病例称为混合性癌(混合性腺泡-神经内分泌癌、混合性腺泡-神经内分泌-导管癌、混合性腺泡-导管癌)。罕见病例大体可见非退化性囊形成可称为腺泡细胞囊腺癌。
发病部位: 胰腺
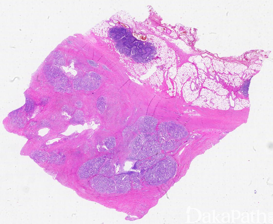
诊断要点:
- 约占所有胰腺外分泌肿瘤的 1-2%,发病年龄 10-87 岁,平均年龄 58 岁,儿童病例仅占腺泡细胞癌的 6%。常发生于胰头。常伴脂肪酶分泌过多综合症,出现皮下脂肪坏死和多发性关节痛。
- 肿块体积较大,平均直径 11cm,质地较软,边界清楚,可呈多结节状,黄色到褐色不等,可见坏死和囊性变。可形成息肉样结节突入扩张的导管内。少数病例以囊性为主。
- 细胞丰富,肿瘤细胞与间质比例高,肿瘤细胞被纤细的纤维间隔带分开呈结节状,但无促纤维增生间质,可见坏死,肿瘤细胞巢周围有许多小血管。
- 肿瘤细胞在腺泡内形成筛状结构,或实性排列,无管腔形成,细胞核位于基底,无极向,形成栅栏状围绕血管排列,有时可见小梁状、脑回状、微囊等多种结构;
- 细胞形态多样,常由多种细胞组成,腺泡型细胞胞浆顶端为嗜酸性颗粒状,核偏位,圆形或卵圆形,异型性不大,有明显的单个核仁,核分裂多少不等。部分细胞可见胞质单个或多个空泡;还可见透明细胞、非特异性腺细胞(细胞界限不清,核中位)。
- 部分病例缺血坏死,形成孤立或分叶状囊性结构伴乳头及透明细胞,可伴脂质肉芽肿反应;
- 淀粉酶消化后 PAS 阳性。
- 分子标记:APC/β-catenin 基因。

免疫组织化学染色:
胰腺外分泌酶:胰蛋白酶 (97%)、糜蛋白酶 (66-95%)及脂肪酶(70-84%);CK8、18 阳性、抗 BCL-10. CK、EMA 阳性; Synaptophysin 或 chromogranin 局灶阳性(35-54%);淀粉酶、CK7. CK20 及 AFP 可呈阳性。CD56 阴性。
分子标记:
APC/β-catenin 基因
鉴别诊断:
1**.** 胰腺实性 -假乳头状肿瘤 :多发于年轻女性,形成假乳头和小囊,无腺腔形成。
胰腺神经内分泌肿瘤
间质硬化。2)呈器官样结构并缺乏核分裂。3)免疫标记 Cga、Syn 阳性表达。4)神经内分泌分化的细胞核特点。
胰腺胰母细胞瘤: 好发于儿童,具有特征的鳞状小体结构。
← 胰腺实性假乳头状肿瘤 胰腺印戒细胞癌 →