囊性纤维组织细胞性肿瘤
Cystic fibrohistiocytic tumors
同义词(或曾用名): 纤维组织细胞瘤
概述:
发生于肺具有富于细胞性纤维组织细胞瘤组织学特征的肿瘤,常伴有囊性变,部分为皮肤细胞性纤维组织细胞瘤的晚期转移,部分为肺原发
发病部位: 肺
诊断要点:
罕见,多位于肺脏,绝大多数为男性,19-65 岁,影像学上通常表现为双肺多发的结节伴有囊腔形成,半数以上伴有皮肤的细胞性纤维组织细胞瘤病史,1.5 年-23 年之前于肺的细胞性纤维组织细胞瘤,此类肺的肿瘤可能是皮肤肿瘤的转移,少数患者无此病史;
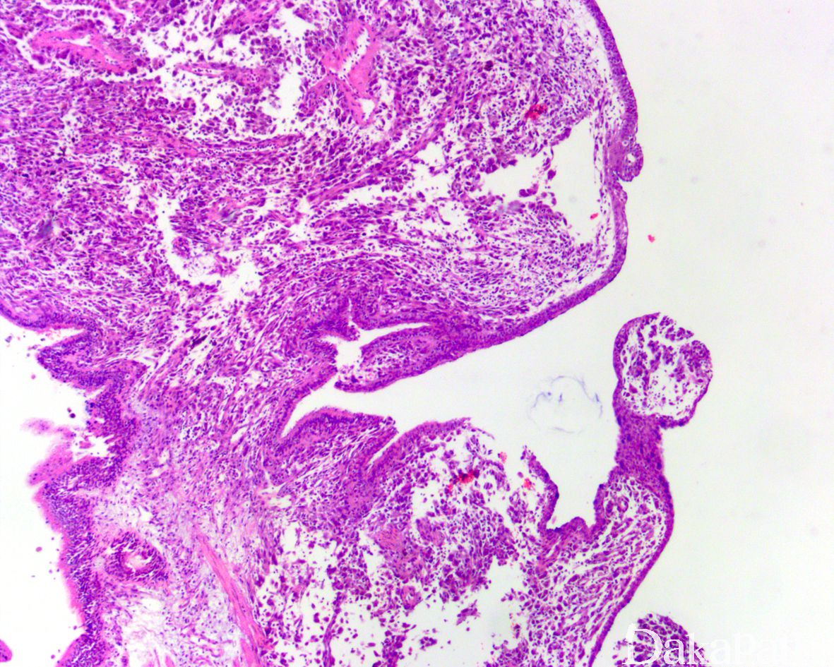
镜下表现为多发性的囊性扩张的气道,囊壁的间隔厚薄不均匀,被覆立方形呼吸性上皮或伴鳞状化生,上皮下为富于细胞的纤维母细胞样细胞增生,呈席纹状或交错束状排列,部分区域亦可见完全呈实性增生的病变,瘤细胞具有较丰富的嗜酸性胞浆,核形态较温和,核分裂象罕见,间质内可见淋巴细胞、组织细胞和嗜酸性粒细胞浸润以及含铁血黄色沉积,局灶可见黏液变性;
3。囊腔内可见泡沫细胞聚集、胆固醇裂隙形成,周围肺泡组织常见出血改变。

免疫组织化学染色:
肿瘤细胞表达 CD68,不表达 CD34,EMA,CK,S100 蛋白,CD1a,SMA, TTF1, FVIIIa 等
鉴别诊断:
Langerhans 细胞组织细胞增生症:瘤细胞卵圆形为主,可见核沟,免疫组化染色表达 S100 和 CD1a;
炎性肌纤维母细胞瘤:与肺的囊性纤维组织细胞瘤存在明显的组织学重叠,但炎症数量较多且弥漫,免疫组化染色表达 SMA 和 desmin 以及 ALK,遗传学上存在 ALK 基因重排;
血管瘤样纤维组织细胞瘤:囊性区为扩张的假血管样腔隙,免疫组化染色表达 EMA、desmin 和 CD99 等,遗传学上存在 EWSR1-ATF1 或 CREB1 基因重排;
淋巴管平滑肌瘤病:多发生于女性,肿瘤细胞具有明显的肌样特征,围绕扩张的淋巴管生长,免疫组化染色表达 SMA、desmin 以及黑色素标志物 HMB45 和 Melan-A 等。
治疗:
肺叶切除
病例报道:
De Hertogh G, Bergmans G, Molderez C, Sciot R. Cutaneous cellular fibrous histiocytoma metastasizing to the lungs. Histopathology 2002; 41; 85–86. 参考文献:
Osborn M , Mandys V , Beddow E , et al. Cystic fibrohistiocytic tumours presenting in the lung: primary or metastatic disease?[J]. Histopathology, 2003, 43(6):556-562.