疤痕疙瘩样真皮纤维瘤
Keloidal Dermatofibroma
概述:
具有瘢痕疙瘩样特征的皮肤纤维组织细胞瘤
发病部位: 肢体皮肤
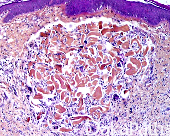
诊断要点:
多发生于亚洲人群,发病年龄 17-59 岁(中位年龄岁),临床表现与普通的真皮纤维瘤相似;
镜下显示在典型的皮肤纤维组织细胞瘤/真皮纤维瘤组织背景中、在真皮的浅层可见界限清楚的由粗大的胶原纤维聚集形成的结节;
结节周围可见灶性出血、含铁血黄素沉着及数量不等的多核巨细胞反应;
瘢痕疙瘩样结节的表皮显示萎缩性改变。

免疫组织化学染色:
疤痕疙瘩样的区域病变细胞局灶表达 SMA, 组织细胞表达 CD68;真皮纤维瘤区域瘤细胞表达 FXIIIa
鉴别诊断:
瘢痕疙瘩:有手术或外伤史,缺乏典型纤维组织细胞瘤的形态。
治疗:
切除
病例报道:
参考文献:
Kuo TT, Hu S, Chan HL. Keloidal dermatofibroma: report of 10 cases of a new variant. Am J Surg Pathol. 1998;22:564–568.
← 囊性纤维组织细胞性肿瘤 丛状纤维组织细胞瘤 →