局限型腱鞘巨细胞瘤
Giant Cell Tumor of Tendonsheath,Localized Type
同义词(或曾用名): 腱滑膜巨细胞瘤
发病部位: 手指、腕、踝、足和膝,极少数病例位于肘和臀部
诊断要点:
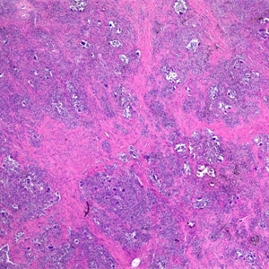
好发于中青年,女性较多见,主要见于手指、腕、踝、足和膝部;大体直径通常< 5cm, 包膜完整,分叶状,切面灰白灰褐或棕黄;
边界清楚,常有纤维性包膜,包膜纤维组织可伸入肿瘤内,将肿瘤分隔成分叶状;
镜下可见滑膜样圆形单核细胞、破骨样多核巨细胞和黄色瘤细胞等细胞类型,不同病例三种细胞比例不同;
单核样细胞有两种,一种瘤细胞上皮样,胞浆偏位嗜酸性,核圆形,染色质空泡状可见核仁,另一种单核样细胞较小,胞浆相对稀少,核呈卵圆形或肾形,可见核沟;
破骨样多核巨细胞的核数个至十数个,散在或疏松灶状分布于单核样细胞之间;
多数病例中可见不规则裂隙样、假腺腔或假腺泡样结构,其内可见散在的单核细胞和多核巨细胞;
部分病例内含有大量的泡沫样组织细胞,而单核细胞或多核巨细胞相对稀少,此型也称黄色瘤变型(xanthomatous variant);
约半数病例可见核分裂像,有时可高达 20/10HPF;
罕见病例可见坏死和静脉内瘤栓,但对生物学行为无影响;
间质可见不同程度的胶原化,可见散在的淋巴细胞和肥大细胞浸润。

免疫组织化学染色:
单核细胞 CD163. CD68. HAM56. Mac387. D2-40. FXIIIa、Clusterin 阳性,50%的病例可不同程度表达 Desmin,少数病例表达 MSA,破骨样多核巨细胞 CD68 和 CD45 常阳性。CK,S100,HBM45,CD21,CD35,CXCL13 通常阴性。
分子标记:
CSF1-COL6A3 融合
鉴别诊断:
软组织透明细胞肉瘤:常位于肌内,呈浸润性生长,瘤细胞可见明显的核仁,瘤巨细胞而非破骨样巨细胞,免疫组化染色表达 HMB45 和 S100 蛋白;
上皮样肉瘤:可见巨细胞,但常见地图样坏死,免疫组化表达 CK 和 CD34 以及 INI-1 表达缺失;
钙化性腱膜纤维瘤:通常发生于儿童,组织学特征为钙化、软骨样改变以及梭形细胞,罕见破骨样巨细胞。
预后:
良性,罕见复发
治疗:
完整切除
参考文献:
Boland JM, Folpe AL, Hornick JL, et al. Clusterin is expressed in normal synoviocytes and in tenosynovial giant cell tumors of localized and diffuse types: diagnostic and histogenetic implications. Am J Surg Pathol 2009;33(8):1225–9. Moller E, Mandahl N, Mertens F, et al. Molecular identification of COL6A3-CSF1 fusion transcripts in tenosynovial giant cell tumors. Genes Chromosomes Cancer 2008;47(1):21–5.