脂质化纤维组织细胞瘤
Lipidized Variant of Fibrous Histiocytoma
概述:
具有明显脂质化胞浆的良性纤维组织细胞瘤
发病部位: 小腿,特别是踝部周围
诊断要点:
好发于男性,男女比约 3:1,发病年龄(21-82 岁,平均 50 岁),好发于下肢的小腿,特别是踝部周围,呈息肉状,瘤体较其他类型的纤维组织细胞瘤大,平均直径 2.5cm;
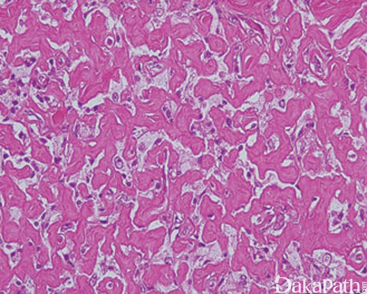
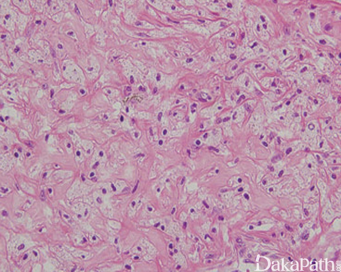
镜下见局灶典型的良性纤维组织细胞瘤的背景中多量的瘤细胞呈现丰富的泡沫样胞浆;
间质呈玻璃样变性,似疤痕疙瘩样或骨样机制样。

免疫组织化学染色:
部分表达 SMA 和 MSA,泡沫样肿瘤细胞表达 CD68, 不表达 CD34. S100 和 CK
预后:
良性
治疗:
完整切除
病例报道:
Kataoka Y, Konishi E, Nishimoto H, et al. Lipidized and aneurysmal fibrous histiocytoma with epithelial cysts on the left calf[J]. Journal of Dermatology, 2017, 45(2).
参考文献:
Iwata J, Fletcher C D. Lipidized fibrous histiocytoma: clinicopathologic analysis of 22 cases[J]. American Journal of Dermatopathology, 2000, 22(2):126.