血管瘤样纤维组织细胞瘤
Angiomatoid Fibrous Histiocytoma,AFH
概述:
是一种好发于儿童和青少年四肢的浅表性肿瘤,主要有 4 中组织形态成分:合体细胞样梭形细胞结节伴多少不等的组织细胞、由肿瘤细胞围绕的假血管瘤样腔隙内充满血液(无内皮细胞衬覆)、厚的假纤维性包膜伴含铁血黄素沉积、包膜外淋巴浆细胞套偶伴生发中心。
发病部位: 四肢,躯干、头颈部
诊断要点:
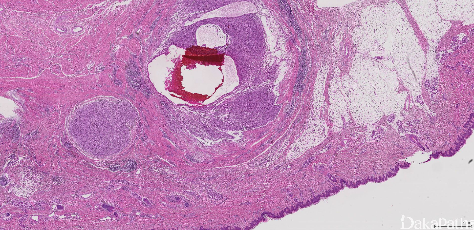
主要发生于儿童和青少年,但从新生儿到 79 岁老人都有发病的报道,好发于四肢、躯干和头颈部,病变界限清楚;
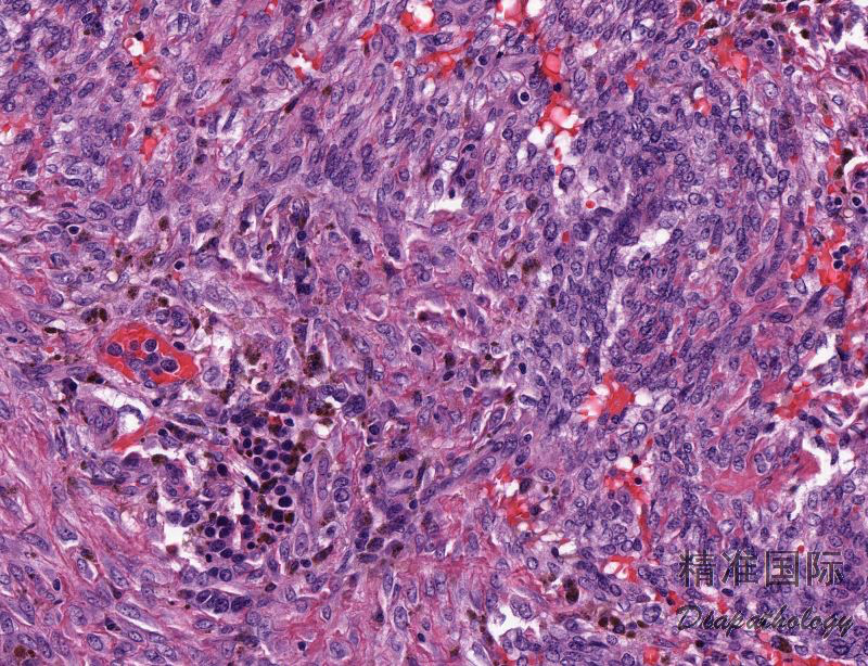
主要有 4 中组织形态:合体细胞样梭形细胞结节伴多少不等的组织细胞、由肿瘤细胞围绕的假血管瘤样腔隙内充满血液(无内皮细胞衬覆)、厚的假纤维性包膜伴含铁血黄素沉积、包膜外淋巴浆细胞套偶伴生发中心。
病变中央由不规则片状、巢状或结节状分布的多边形、梭形、卵圆形和圆形组织细胞样或肌样细胞组成;
细胞胞质呈淡嗜伊红色,常含有含铁血黄素性颗粒,核染色质细致,可见核分裂像,一般不超过 5/10HPF;
约 20%病例瘤细胞显示异型性,并可见多核巨细胞;
少数病例可发生黏液样变性;
瘤细胞巢内可见多发灶性出血性囊腔,无内皮细胞内衬,为假血管性腔隙;
肿瘤的周边可见淋巴细胞和浆细胞为主的慢性炎症细胞浸润带,偶见淋巴滤泡或生发中心形成;
炎症细胞带外可见一层较厚的纤维性假包膜,常与炎症带相融合。
少数病例呈蓝色小圆细胞形态,细胞体积小,胞质少,嗜酸性,核染色深,应与尤文肉瘤鉴别。
梭形细胞为主型由形态一致的梭形细胞构成,胞质嗜酸性或透明,核泡状,增殖指数低;
少数病例细胞具多形性,和分裂活跃,但没有预后意义。

免疫组织化学染色:
vimentin 阳性,50%病例表达 desmin、CD99. EMA、CD68。 CD34. CD31. CD21. S-100. CD35. HMB45. 细胞角蛋白通常阴性。
分子标记:
90%以上病例具 t(2;22)染色体异位,导致 EWSR1-CREB1 融合基因,少数病例显示 FUS-ATF1 或 EWSR1-ATF1
鉴别诊断:
未分化多形性肉瘤 :多见于老年人,发病部位较深,细胞异型及多形性明显,desmin 阴性。
Kaposi 肉瘤: 有免疫抑制(AIDS)病史,无纤维性包膜,CD34(+), CD31(+), D2-40(+), HHV8(+),Desmin (-).
梭形细胞血管瘤:无纤维性包膜及淋巴浆细胞鞘,CD34(+), CD31(+),SMA(+),Desmin (-).
滤泡树突细胞肉瘤:多发生于淋巴结,CD21(+), CD23(+), CD35(+), EMA(+),Desmin (-).
预后:
属于中间型肿瘤,具有低度恶性潜能,2-10%的病例可局部复发,偶尔(<1%)局部淋巴结转移,极少远处转移。没有发现形态学与预后的明确关系。
治疗:
局部广泛切除。
病例报道:
参考文献:
Shi H et al: Clinicopathological features of angiomatoid fibrous histiocytoma: a series of 21 cases with variant morphology. Int J Clin Exp Pathol. 8(1):772-8, 2015
Thway K et al: Angiomatoid fibrous histiocytoma: comparison of fluorescence in situ hybridization and reverse transcription polymerase chain reaction as adjunct diagnostic modalities. Ann Diagn Pathol. ePub, 2015
Bohman SL et al: Angiomatoid fibrous histiocytoma: an expansion of the clinical and histological spectrum. Pathology. 46(3):199-204, 2014