非典型纤维组织细胞瘤
Atypical Fibrous Histiocytoma
同义词(或曾用名): 假肉瘤性纤维组织细胞瘤、伴有怪异细胞的真皮纤维瘤
概述:
有细胞多形性的纤维组织细胞瘤
发病部位: 下肢、躯干
诊断要点:
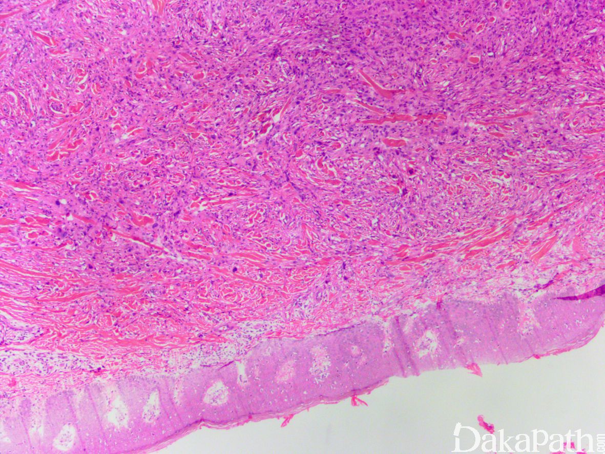
多发生于青年人,多数位于下肢和躯干的真皮内,临床表现为肉色和黑色略隆起皮肤的坚实结节;
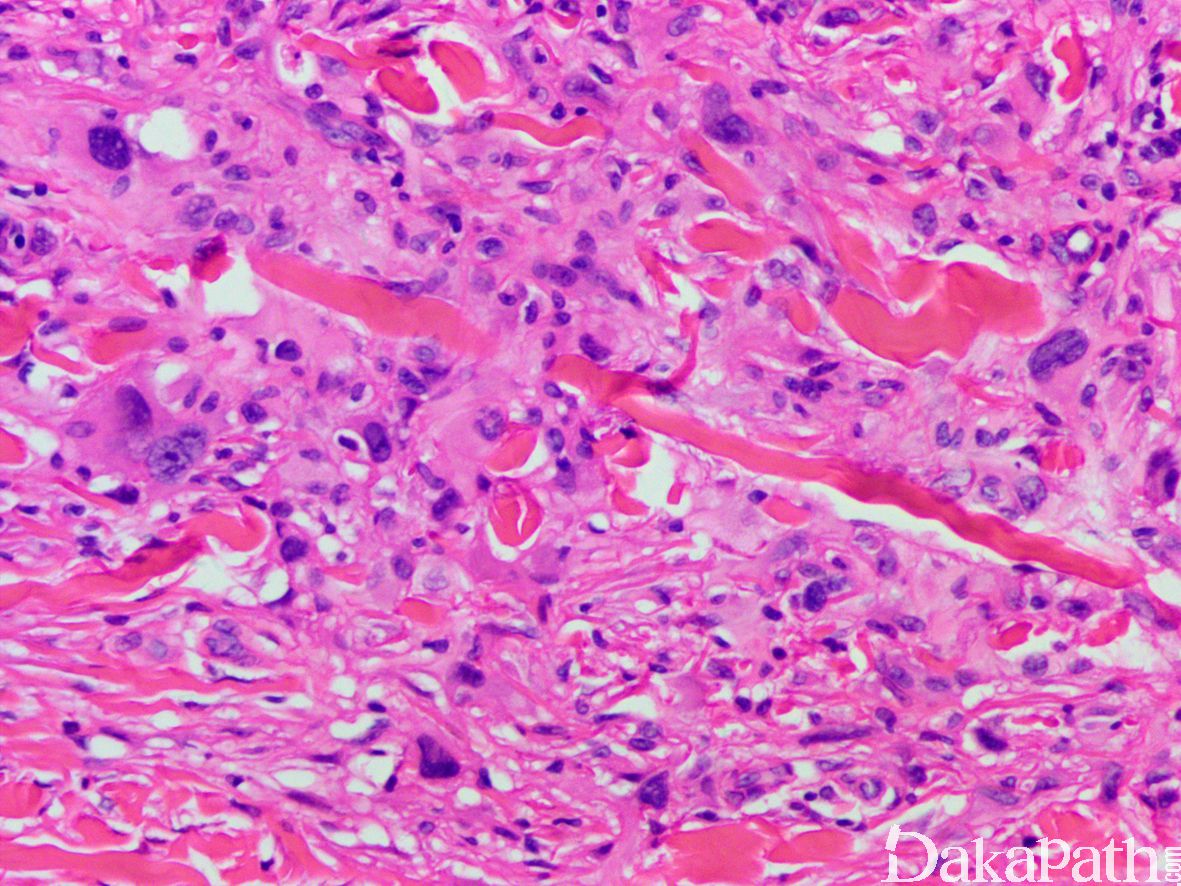
病变主要位于真皮层,偶尔累及皮下脂肪;组织学上表现为经典的纤维组织细胞瘤背景中(梭形细胞席纹状排列,周围可见内陷的厚的胶原纤维)的多形性瘤细胞;
多形性瘤细胞可见多少不等的核大深染、核形规则的多形性细胞或畸形细胞,胞质嗜伊红色或泡沫样,有时可含有含铁血黄素,核分裂多少不等(1-15 个/10HPF),多数比较少见,偶尔可见非典型核分裂象和坏死;
多数病例可见多核巨细胞,有些类似于杜顿巨细胞。

免疫组织化学染色:
肿瘤细胞局灶表达 SMA,偶尔表达 C34;不表达 CD68,S100,desmin,CK 和 EMA 等。
鉴别诊断:
非典型纤维黄色瘤:主要发生在老年人头颈部阳光曝晒的部位,病变紧邻表皮下,显著的弹力纤维变性;无经典的纤维组织细胞瘤背景(席纹状梭形细胞,内陷的厚的胶原纤维),多形性瘤细胞更显著且弥漫,无坏死,不累及皮下脂肪。
皮肤多形性纤维瘤:瘤细胞较稀疏,在胶原纤背景中散在的多形性纤维母细胞样细胞,无经典的纤维组织细胞瘤背景。
隆凸性皮肤纤维肉瘤:瘤细胞以皮下生长为主,单调一致的席纹状瘤细胞呈蜂窝状累及皮下脂肪,发生纤维肉瘤样转化时可表现为多形性瘤细胞,免疫组化染色表达 CD34
浅表性 CD34 阳性的交界性纤维母细胞肿瘤:以皮下生长为主,瘤细胞可见丰富而浅染的玻璃样胞浆,核分裂象罕见,免疫组化染色弥漫表达 CD34
真皮内平滑肌肉瘤:瘤细胞具有丰富的嗜酸性胞浆和两端顿圆的核,免疫组化染色表达 SMA,desmin 和 H-caldemon 等。
预后:
多呈良性经过,偶尔局部复发,罕见可发生转移。
治疗:
完整切除并保证阴性切缘
病例报道:
Wang YT, Smart CN.
Am J Dermatopathol. 2014 Feb;36(2):171-3. doi: 10.1097/DAD.0b013e31829bd682. Review.
参考文献:
Kaddu S, Mcmenamin M E, Fletcher C D. Atypical fibrous histiocytoma of the skin: clinicopathologic analysis of 59 cases with evidence of infrequent metastasis[J]. American Journal of Surgical Pathology, 2002, 26(1):35. [Atypical** fibrous histiocytoma : a clinicopathologic analysis of 24 cases].
Weng WW, Yang J, Wang J.
Zhonghua Bing Li Xue Za Zhi. 2013 May;42(5):316-20. doi: 10.3760/cma.j.issn.0529-5807.2013.05.006. Chinese.
Metastasizing "benign " cutaneous fibrous histiocytoma : a clinicopathologic analysis of 16 cases.
Doyle LA, Fletcher CD.
Am J Surg Pathol. 2013 Apr;37(4):484-95. doi: 10.1097/PAS.0b013e31827070d4.