脉络丛乳头状瘤
Choroid Plexus Papilloma
概述:
脉络丛上皮的乳头状肿瘤。乳头状瘤为 WHO I 级
发病部位: 侧脑室或第三脑室(儿童)、第四脑室或小脑桥脑角(成人)
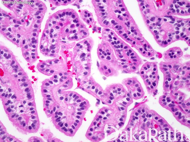
诊断要点:
80%发生于儿童,最常见于侧脑室,临床可见颅内压增高的症状。
大体上常呈乳头状,偶见术中出血。
镜下常复杂程度不同的乳头状结构,表面上皮扁平,不同程度的假复层(非正常脉络丛的单层上皮),局灶伴胶质分化(胞浆延长、双极肿瘤细胞),无鹅卵石样改变。
可见肿瘤与正常的脉络丛组织的过度。
少数可见腺泡样结构,部分病例可见显著血管玻璃样变。
肿瘤内偶见细胞不典型性及核多形性、核分裂及坏死。
部分病例可见钙化,少数出现骨化及软骨化,局灶上皮偶见脂褐色素及嗜酸性变,亦出现罕见的神经纤维岛呈 synaptophysin 阳性。
很少累及脑组织。

免疫组织化学染色:
部分病例 GFAP 阳性,尤其是伴长双相分化(胶质分化),EMA、S100 及 Kir7.1 阳性,多数病例 Synaptophysin 阳性(神经纤维岛)及 Transthyretin 阳性,CK7 常阳性,而 CK20 阴性。Ki-67 阳性指数约 1-2%。P53 在乳头状瘤罕见,但不典型乳头状瘤中约 10%阳性。
鉴别诊断:
- 正常脉络丛 :简单乳头状结构无假复层及细胞不典型,表面鹅卵石样细胞,间质深部钙化(而非乳头瘤的周围钙化),无核分裂,血管增厚。
2. 非典型脉络丛瘤: 部分呈乳头状结构,亦可见细胞拥挤、不典型性及假复层,部分可见实性、非乳头状区域及坏死,核分裂 ≥2 个/HPF。
3. 脉络丛癌 :核分裂增多,常 ≥5-10 个/ 10 HPF,不典型明显,但与不典型乳头状瘤有重叠,部分可见实性及非乳头状结构,部分可见明显间变,部分不典型乳头状瘤及少数乳头状瘤可见坏死。
4 乳头状室管膜瘤 :乳头偏少、纤维性及胶质细胞特点,部分病例微腔 EMA 阳性。