乳腺实性乳头状癌
Breast Solid Papillary Carcinoma
同义词(或曾用名): 神经内分泌型导管原位癌、实体型神经内分泌癌、原位实性乳头状癌、浸润性实性乳头状癌
概述:
是一种呈实性生长的乳头状癌。最早由 MalutandKoerne 命名并被认为是导管原位癌的一种变异型。肿瘤呈实性结节状生长,乳头状结构不明显,但有纤维血管轴心的存在。
发病部位: 乳腺
诊断要点:
低倍镜下显示界限明显的实性结节状细胞巢;
实性细胞巢中可见纤维血管轴心,纤维血管轴心可形成分支状的乳头状支架;
纤维血管轴心被覆拥挤的多层上皮细胞,细胞通常排列整齐,呈栅栏状;
细胞增生方式类似于普通型导管增生,可呈流水样排列;
上皮细胞形态较一致,卵圆形或梭形,细胞核大小不一,类圆形或梭形,外形多不规则,大部分仅轻微增大,少数细胞核增大明显,染色质呈淡染颗粒状,核仁较小,核分裂易见;
常见细胞内和细胞外黏液。细胞内黏液可为细小液滴,或聚集成空泡,或形成印戒样细胞。黏液从细胞基底部分泌而出,小黏液渗出灶最先在肿瘤细胞和间质交界处聚集,可形成位于上皮腔隙内或间质内的黏液湖。
有些病例细胞具有内分泌分化的特征,胞质呈嗜酸性和细颗粒状,核染色质细腻;
乳头内及结节周围无肌上皮细胞;
可伴有真正的间质浸润(浸润性实性乳头状癌);
肿瘤间质常有含铁血黄素沉积。

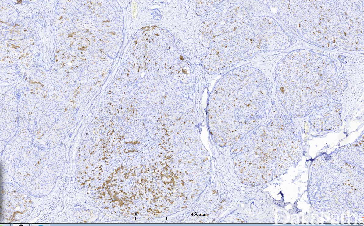
免疫组织化学染色:
50-60%病例表达突触素(Syn)和/或嗜铬素(CgA)等神经内分泌标记;上皮细胞一般不表达高分子量角蛋白(CK5/6),肌上皮细胞免疫标记物(p63. 平滑肌肌球蛋白重链、calponin 等)可以证实实性乳头状癌中间和周围都没有肌上皮细胞的存在。
鉴别诊断:
1. 伴普通型导管增生的 导管内乳头状瘤
1).普通型导管增生没有实性乳头状癌常出现的间质或纤维血管轴心,无漩涡状结构,无细胞内或细胞外黏液,无明显的栅栏状核;
2).实性乳头状癌中间以及肿瘤周围组织无肌上皮细胞;
3).CK5/6 免疫组织化学染色在普通型导管增生细胞中大多阳性,而在实性乳头状癌细胞中应为阴性;导管内乳头状瘤神经内分泌标记阴性。
2. 非典型乳头状瘤: 在导管内乳头状瘤背景上出现非典型导管增生或低级别导管原位癌,该区域小于整个病变的三分之一或小于 3mm;神经内分泌标记阴性。
3. 乳头状瘤伴导管原位癌 : 具有非典型导管增生或低级别导管原位癌局部区域大于或等于整个病变的三分之一但少于 90%或大于 3mm。肌上皮细胞不会存在于导管内乳头状结构中,但存于受累管腔的周围。神经内分泌标记阴性。
4. 原位实性乳头状癌 导管周边肌上皮细胞存在,P63. CK5/6. calponin 等肌上皮染色可显示肌上皮。
预后:
预后类似于原位癌,临床进程表现缓慢。即便伴有浸润,其预后还是好于同等大的浸润性导管癌。