睾丸多胚瘤
Testicular Polyembryoma
同义词(或曾用名): 复合性肿瘤
概述:
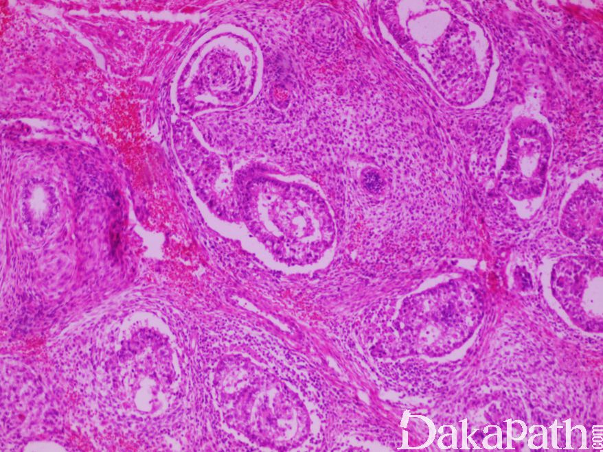
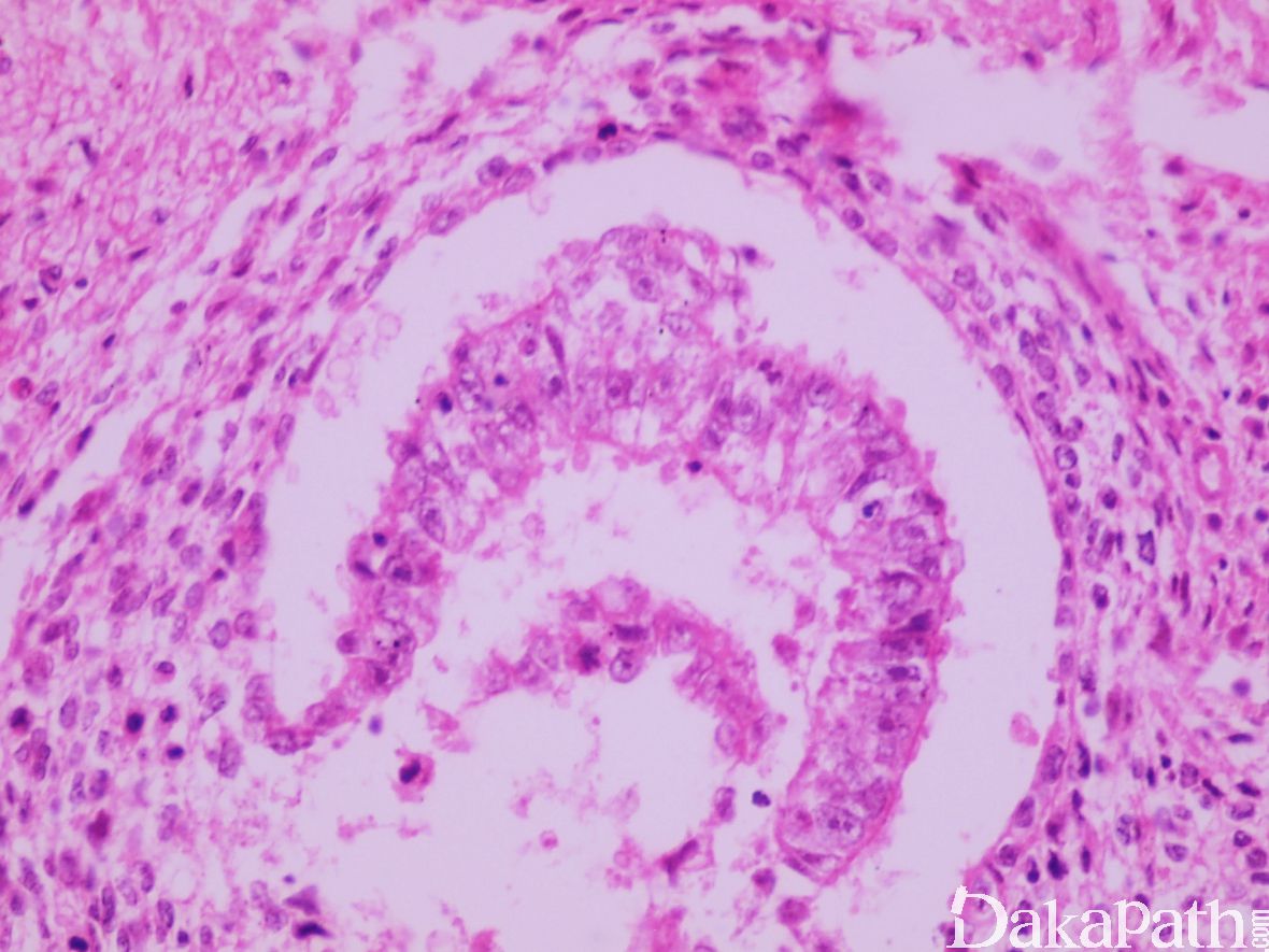
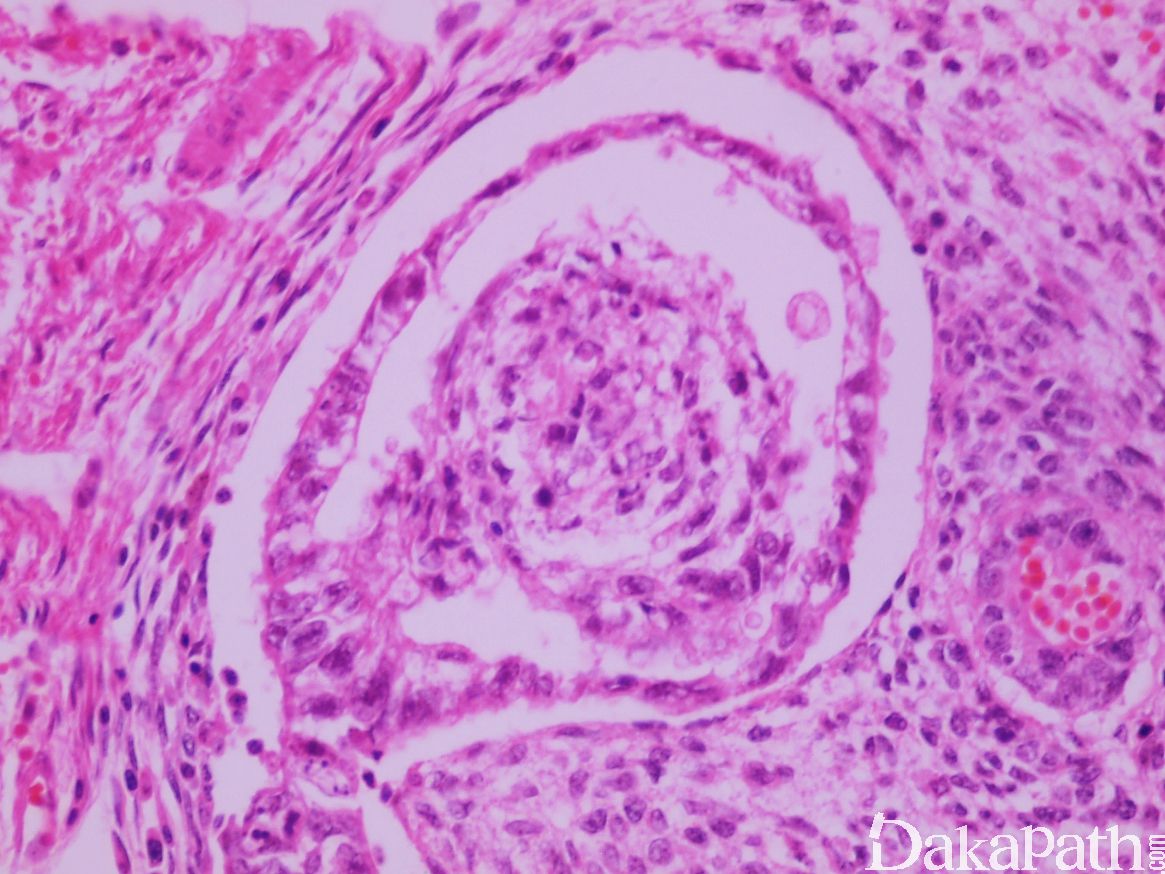
由卵黄囊瘤和胚胎性癌构成的特殊类型的混合性生殖细胞肿瘤,组织学构型类似于发育的胚泡。
发病部位: 睾丸
诊断要点:
- 为混合性生殖细胞肿瘤的一个亚型,主要由胚胎性癌和卵黄囊瘤组成;
- 显微镜下可见大量散在胚胎样小体,该小体中央为盘状胚胎癌细胞(1-4 层厚),“背侧”可见被覆扁平上皮的羊膜腔(偶尔可被覆为肠型或鳞状上皮),“腹侧”为卵黄囊样囊腔,内含网状或黏液瘤样卵黄囊瘤成分;
- 胚胎样小体约 0.2-0.7cm,均匀分布,周围包绕黏液性胚胎型间叶成分;
- 多胚瘤总是混合性生殖细胞肿瘤的一种成分,常见与畸胎瘤并存;如诊断多胚瘤,应同时注明其为混合性生殖细胞肿瘤,并列出所有成分及其比例。

免疫组织化学染色:
分别表达胚胎性癌和卵黄囊瘤成分的标志物
分子标记:
同混合性生殖细胞肿瘤
预后:
同非精原细胞瘤性的混合性生殖细胞肿瘤
治疗:
同非精原细胞瘤性的混合性生殖细胞肿瘤
病例报道:
Testicularmixed germ cell tumor withpolyembryomacomponent in brothers.
参考文献:
Stall JN, Young RH.
Mod Pathol. 2017 Jul;30(7):908-918. doi: 10.1038/modpathol.2017.25. Epub 2017 Apr 21. Review.
← 睾丸弥漫性胚胎瘤 睾丸上皮样滋养细胞肿瘤 →