睾丸精母细胞性肿瘤伴肉瘤成分
Testicular Spermatocytic Tumour With Sarcoma
概述:
精母细胞性肿瘤伴有未分化或分化的肉瘤成分。
发病部位: 睾丸
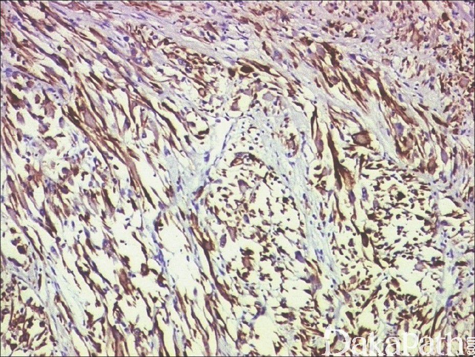
诊断要点:
- 肉瘤成分可在肿瘤内呈推进性生长,也可指状穿插于肿瘤内;
- 一些病例仅有少量精母细胞性肿瘤成分残留;
- 肉瘤成分可以为横纹肌肉瘤、未分化梭形细胞或多形性细胞、偶尔见软骨肉瘤;
- 常伴坏死,核分裂像多见。

免疫组织化学染色:
表达特定类型肉瘤相关的标志物
鉴别诊断:
畸胎瘤伴体细胞的肉瘤样成分:肉瘤样成分可以精母细胞性肿瘤伴肉瘤转化的肉瘤成分相同,不同之处在于前者背景中是成熟或不成熟的畸胎瘤,而后者是精母细胞性肿瘤。
预后:
预后差,伴肉瘤样转化的精母细胞性肿瘤常见远处转移
治疗:
睾丸切术+术后辅助治疗
病例报道:
Spermatocyticseminoma associated with undifferentiatedsarcoma: a rarecasereport.
参考文献:
Spermatocytic** seminoma with sarcoma: an indication for adjuvant chemotherapy in localized disease.
Wetherell D, Lawrentschuk N, Gyomber D.
Korean J Urol. 2013 Dec;54(12):884-7. doi: 10.4111/kju.2013.54.12.884. Epub 2013 Dec 10. PMID: 24363873 Free PMC Article